Материал: BASIC CLINICAL SYNDROMES IN INTERNAL DESEASES CLINIC

Внимание! Если размещение файла нарушает Ваши авторские права, то обязательно сообщите нам

He became acutely ill: after work (associated with significant physical exertion) there were pains in the epigastric region, nausea. At night, the intensity of pain in the epigastrium intensified, they radiated beyond the sternum, into the left shoulder blade, were accompanied by nausea, vomiting once, cold sweat, fear of death. After the use of narcotic analgesics by the ambulance team, the pain practically disappeared.

On examination, the state of moderate severity. The skin is pale, high humidity. Vesicular breathing over the lungs, wheezing is not heard. Heart sounds are weakened, a gallop rhythm is heard at the top. Heart rate-115 per min. HELL 105 and 70 mm Hg The abdomen is painless on palpation. There are no symptoms of peritoneum. On the ECG, a pathological Q wave in lead III, AVF, ST segment elevation in II, III, AVF leads.

  1. What is the leading syndrome in this clinical picture?

  2. What localization of myocardial damage can we talk about in this case?

Task 4

Patient M., 36 years old, was admitted with complaints of shortness of breath with small physical exertion, cough with sputum mucus, swelling of the legs, heaviness in the right hypochondrium.

In childhood, there was an episode of prolonged fever with swelling of the knee and ankle joints. It was treated on an outpatient basis, and subsequently was not observed by doctors.

During the examination: in the lungs, on both sides in the lower sections, moist, sonic, finely bubbling rales. The

53

pulse is 100 beats per minute, rhythmic. With auscultation of the heart - at the apex of I, the tone is weakened, systolic murmur of a diminishing nature, conducted in the left axillary region, emphasis of II tone on the pulmonary artery. The enlarged liver is palpated. Pastosity of the legs.

  1. Symptoms of which valvular heart disease are present in this patient? Justify.

  2. What data can be obtained by palpation and percussion of the heart?

  3. What clinical syndromes can be distinguished?

Task 5

Patient D. was admitted to the clinic with complaints of severe general weakness, fatigue, shortness of breath, fever up to 39 ° C, chilling, profuse sweating.

Sick for a month. From the age of 14 he suffers from rheumatic mitral heart disease. On examination: the skin and visible mucous membranes are pale with a yellowish-gray tint (―coffee with milk‖). On the conjunctiva and transitional folds of the eyelids of hemorrhage (Lukin-Liebmann symptom), a positive symptom of Rumpel-Leede-Konchalovsky. Fingers look like drum sticks. With auscultation of the heart: at the apex of I, the tone is weakened, systolic murmur conducted in the left axillary region; in the 2nd intercostal space to the right of the sternum, a weakening of the II tone; at the point of Botkin-Erba there is a soft blowing diastolic murmur of a decreasing character. When examining the abdomen, an increase in the spleen is determined.

  1. What valvular lesions of the heart is evidenced by an auscultatory picture?

  2. What data can be obtained during palpation and percussion of the heart region with detected defects?

  3. What clinical syndromes can be distinguished?

  4. What disease are these syndromes characteristic of?

Task 6

Patient S., 36 years old, was admitted to the hospital with complaints of shortness of breath during physical exertion, nightly attacks of suffocation, dizziness.

He does not remember the diseases transferred in childhood. Dyspnea, dizziness during physical exertion worries for a year, in the last month attacks of inspiratory suffocation joined.

On examination: the skin is pale, ―dance carotid‖, a symptom of Musset, a symptom of Quincke. In the 6th intercostal space along the anterior axillary line, a reinforced ―dome-shaped‖ apical impulse is palpated on the left. During auscultation, the I tone at the apex is weakened, above the aorta the weakening of the II tone, protodiastolic murmur in the II intercostal space and at the point of Botkin-Erba.

  1. Symptoms of what heart damage does this patient have?

  2. What does the symptoms identified during the examination mean and what are their causes?

  3. What kind of pulse and blood pressure can be expected in this patient?

Task 7

Big R., 28 years old, was admitted to the clinic for examination with complaints of rapid fatigue, shortness of breath, discomfort in the heart during physical exertion, dizziness. In childhood - private tonsillitis, tonsillectomy at 10 years old.

On examination: the skin is pale. During auscultation of the heart - weakening of the I tone at the apex, weakening of the II tone above the aorta, a rough systolic murmur, of increasing-decreasing nature, in the second intercostal space to the right of the sternum, carried out on the carotid arteries. Pulse - 64 beats. in minutes, blood pressure - 95 and 60 mm Hg

  1. What valve damage to the heart can be thought of, given the auscultation of symptoms?

  2. What data can be obtained by palpation and percussion of the heart region with this defect?

  3. Describe the features of the pulse with this defect.

54

Patient V., 21 years old, was admitted to the hospital with complaints of shortness of breath with small physical exertion, hemoptysis.

In childhood - frequent sore throats, at the age of 7 after the next sore throat large joints swelled and hurt. Shortness of breath has been bothering for the past 6 months, gradually intensifying, a month ago hemoptysis first appeared. On examination: moderate lip cyanosis, no peripheral edema. The number of respiratory movements at rest is 24 per minute, in the lower parts of the lungs are moist, inexplicable, small-bubbling rales. The apical impulse is not visible and not palpable. In the apex region, diastolic trembling is determined. The boundaries of the relative dullness of the heart: the right - 2 cm outwards from the right edge of the sternum, the left - 1.5 cm inwards from the left midclavicular line, the upper - the second intercostal space. Pulsus differens, worse left.

  1. What valve damage to the heart can you think of? Justify.

  2. What should be the auscultatory picture of the heart with this defect?

  1. What is the cause of Pulsus differens?

  2. What symptoms indicate the presence of congestion in the pulmonary circulation?

Task 9

Patient A., 32 years old, was admitted with complaints of shortness of breath at the slightest physical exertion, swelling of the legs, feet, heaviness in the right hypochondrium, an increase in the volume of the abdomen.

In childhood - frequent sore throats, at 12 years old, mitral heart disease was diagnosed. From 16 years old, shortness of breath worries, from 28 years old - swelling of the legs appeared in the evening, heaviness in the right hypochondrium. Repeatedly treated in a hospital. Over the past 4 months, there has been an increase in shortness of breath, swelling, the appearance of dull pain in the right hypochondrium, an increase in the volume of the abdomen.

On examination: serious condition. Orthopnea position. Acrocyanosis, ―facies mutrale‖, swelling and pulsation of the veins of the neck, swelling of the feet, legs. The number of breaths is 26 per minute. In the lower parts of the lungs moist finely bubbly inaccurate rales are heard. During auscultation of the heart - at the top of I the tone is loud, ―clapping‖, the tone of the opening of the mitral valve followed by diastolic murmur, the emphasis of the 2nd tone on the pulmonary artery, systolic murmur at the base of the xiphoid process, amplified by inspiration (Rivero-Corvallo symptom). The abdomen is enlarged in volume, an enlarged liver, ascites are determined.

  1. What syndromes can be distinguished? Task 10

Patient A., aged 16, was admitted to the clinic with complaints of shortness of breath, palpitations, febrile temperature, pain in large joints, and pains disappearing in some joints and appear in others. She became ill acutely after suffering a sore throat 2 weeks ago.

On examination: moderate condition. The skin is of high humidity. On the skin of the chest and abdomen - rashes in the form of pale pink rings, painless, not rising above the skin. The right knee and left shoulder joints are swollen, the skin above them is hot and touch, hyperemic, active and passive movements in them are sharply limited. With percussion of the heart - the shift of the boundaries of the relative dullness of the heart to the left by 1.5 cm outwards from lin. Mediaclavicularis sin. With auscultation of the heart, weakening of the I tone and soft systolic murmur at the apex are noted, the number of heart contractions is 110 per minute. The pulse is rhythmic, weak filling. HELL - 100 and 60 mm Hg

In blood tests: leukocytes - 15 x 109 l, ESR - 42 mm / hour, positive C-reactive protein, anti-O-streptolysin titers more than 500 units (normal - less than 250 units). ECG - sinus rhythm, PQ-0, 24 sec

  1. What organs are affected by the symptoms identified?

  2. What disease can be thought of on the basis of the identified symptoms? Justify.

  3. How can one explain the appearance of soft systolic murmur at the apex?

55

Answers to the tasks to the section

"The cardiovascular system"

Task 1

  1. The patient has signs of angina pectoris (angina pectoris) and arterial hypertension syndrome.

  1. Arterial hypertension, smoking. Given the excess body weight, the presence of xanthelasm, it is also necessary to study the lipid spectrum of the blood.

Task 2

  1. Syndrome of acute coronary insufficiency, syndrome of acute left ventricular failure (pulmonary edema).

  1. You can think about the presence of a common anterior myocardial infarction.

Task 3

  1. In this case, the leading syndrome is the syndrome of acute coronary insufficiency

  1. This patient has a myocardial infarction of the posterior wall of the left ventricle.

Task 4

  1. Mitral valve insufficiency: weakening of the I tone at the apex, systolic murmur of a decreasing nature, conducted in the left axillary region.

  1. Spilled reinforced apical impulse, displacement of the borders of the relative dullness of the heart up and to the left, mitral configuration of the heart.

  1. a) Right ventricular failure syndrome (enlarged liver, swelling of the legs).

  1. Syndrome of left ventricular failure (shortness of breath, cough with sputum mucosa, moist, sonorous rales in the lungs)

Task 5

  1. Mitral and aortic valve insufficiency.

  1. On palpation - reinforced spilled apical impulse, shifted to the left and down. With percussion, the shift of the boundaries of the relative dullness of the heart up, left and down.

  1. a) Inflammation syndrome

b) hemorrhagic

4. Infectious endocarditis.

Task 6

  1. Symptoms of aortic valve insufficiency.

  1. Pulsation of the carotid arteries, rhythmic shaking of the head, pseudocapillary pulse - due to high systolic and low diastolic blood pressure (high pulse pressure)

  1. The pulse is high, fast and large (altus, celler, magnus). High systolic blood pressure, low diastolic blood pressure, large pulse blood pressure.

56

Task 7

  1. Stenosis of the mouth of the aorta.

  1. Systolic trembling in the second intercostal space to the right of the sternum; high, reinforced, diffuse apical impulse, shifted to the left. With percussion, a shift of the left border of the relative dullness of the heart to the left; aortic configuration of the heart.

4. Gastroenterology

4.1. Syndromes for diseases of the esophagus, stomach and gut

1. Dysphagia Syndrome

Violation of the passage of food through the esophagus: from the oropharynx to the upper

esophagus (oropharyngeal dysphagia), transport of the food lump through the esophagus

(esophageal dysphagia)

SYMPTOMS:

1. Difficulty in the passage of solid or liquid food

  1. Regurgitation, often at night (symptom of a wet pillow).

  1. Vomiting without previous nausea, unchanged, undigested food, without impurities of gastric juice (the result of secondary expansion of the esophagus).

  1. Drooling.

  2. Bad breath.

  3. Pain, feeling of fullness along the esophagus, behind the sternum.

  1. functional (paroxysmal)

  1. organic (constant, progressive) dysphagia Functional Dysphagia:

REASONS for functional dysphagia:

Damage to the swallowing center, vagus and glossopharyngeal nerve, tongue paralysis, oropharyngeal anesthesia, decreased salivation, damage to the muscles of the pharynx and esophagus, cardiac achalasia in the early stages.

SYMPTOMS:

  • transient nature of violations

  • connection with psychoemotional factors

  • often provoked by excitement, hasty food

  • sensation of a ―lump in the throat" or behind the sternum

  1. the passage of solid and liquid food is equally difficult, sometimes, liquid food is more difficult than dense

  1. general condition changes little

  1. eliminated by sedatives and antispasmodics. Organic Dysphagia:

REASONS for Organic Dysphagia:

Inflammatory diseases and strictures of the esophagus, tumors, diverticulums of the esophagus, cardia achalasia in the later stages.

SYMPTOMS:

  1. the constant and progressive nature of violations.

  2. The difficulty of passing first only solid, and then gruel and liquid foods.

  3. general condition:

a) with cicatricial narrowing of the esophagus (burn, esophagitis, achalasia of the cardia) changes little or slowly.

b) with cancer of the esophagus rapidly worsens58

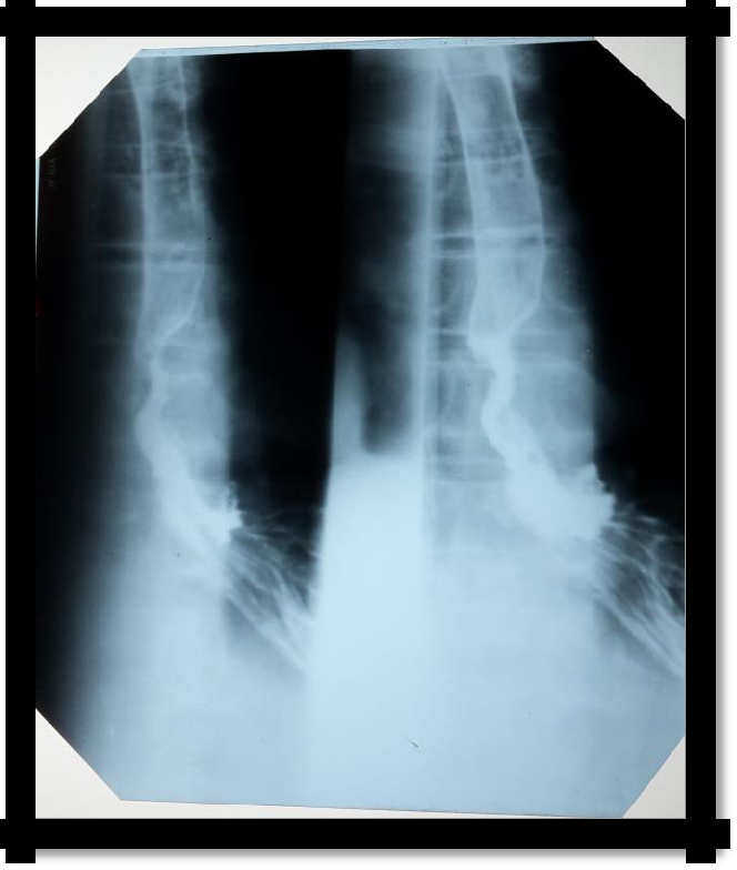
Pic 4.1 Organic esophageal stenosis

  1. Gastroduodenal pain syndrome

CAUSES:

Diseases of the stomach and duodenum. More often with peptic ulcer, chronic gastritis, duodenitis.

SYMPTOMS:

Epigastric pain. Often there is a seasonality of exacerbation: in spring and autumn.

Early pain: occur a few minutes later or within the first hour after eating. Sometimes, there is a fear of eating (cytophobia). Characterize the defeat of the cardial and fundal sections of the stomach.

Late pains: occur 1.5 to 2 hours after eating, on an empty stomach, at night, often accompanied by hypersecretion. Characterize the defeat of the pyloric stomach and duodenum. The pain is stopped by eating, antacids, antisecretory drugs.

At the height of the pain, there may be vomiting, which brings relief.

Percussion tenderness is a symptom of Mendel. This symptom is detected by abrupt percussion with a finger bent at right angles to the symmetrical sections of the epigastric region. Accordingly, the localization of ulcers with such percussion sometimes appears local, limited soreness, soreness is more pronounced on inspiration. Mendel’s symptom usually indicates that the ulcer is not limited to the mucous membrane, but is localized within the walls of the stomach or duodenum with the development of perivisceritis.

  1. The pulse is small, slow, rare (parvus, tardus, rarus)

Task 8

  1. Stenosis of the left atrioventricular orifice: diastolic tremor at the apex of the heart, shift of the borders of the relative dullness of the heart up and to the right, pulsus differens.

  1. At the top there is a loud ―popping‖ I tone, an additional tone for opening the mitral valve, ―quail rhythm‖, diastolic murmur with presystolic amplification; accent II tone over the pulmonary artery.

  1. Significant increase in left atrium leading to compression a. subsclavia sin.

  1. Shortness of breath (tachypnea), moist sonorous rales in the lungs, hemoptysis.

Task 9

  1. a) Syndrome of left ventricular failure (dyspnea, tachypnea, orthopnea, moist sonorous rales in the lungs).

  1. The syndrome of right ventricular failure (acrocyanosis, swelling and throbbing of the veins of the neck, edema, hepatomegaly, ascites).

Task 10

1. a) Joint damage (arthralgia, joint changes during examination)

b) Heart damage (weakening of the I tone, systolic murmur, atrioventricular block I degree)

2. Rheumatic polyarthritis, rheumatic heart disease:

  1. The onset of the disease 2 weeks after a streptococcal infection;

  2. Ring-shaped erythema;

  3. Typical damage to large joints and ―volatility‖ of arthralgia;

  1. Rheumatic heart disease - tachycardia, weakening of I tone, systolic murmur at the apex, atrioventricular block of I degree;

  1. Blood tests - lecocytosis, accelerated ESR, positive CRP, increased titers of anti-O-streptolysin.

3. The development of relative mitral valve insufficiency.