Материал: BASIC CLINICAL SYNDROMES IN INTERNAL DESEASES CLINIC

Внимание! Если размещение файла нарушает Ваши авторские права, то обязательно сообщите нам

3. Gastric hypersecretion syndrome

REASONS: Duodenal ulcer, chronic gastritis with hypersecretion, Zollinger-Ellison syndrome,

chronic pancreatitis.

SYMPTOMS:

59

  1. Heartburn, belching, vomiting, acidic, appetite maintained or increased, spastic constipation.

  2. The possibility of pain in the pyloroduodenal zone, often later.

  1. Radiologically in the pyloroduodenal department: functional (spasm), organic (―ulcerative niche‖, deformation, perigastritis, periduodenitis).

  1. Laboratory data - gastric secretion: hypersecretion of hydrochloric acid and (or) pepsin (in the inter-digestive period or in response to stimulation).

  1. Daily PH-metry allows you to verify the diagnosis.

4. Gastric hyposecretion syndrome

REASONS: Cancer of the stomach, chronic gastritis with decreased secretory function of the

stomach, involutional changes.

SYMPTOMS:

  1. A feeling of heaviness in the epigastric region, sometimes aching, dull pains, nausea after eating, belching rotten, appetite reduced, tendency to diarrhea (urges to "bottom" immediately after eating) without pain, flatulence.

  1. Radiologically - compacted folds of the gastric mucosa.

  2. EFGDS - signs of chronic gastritis, atrophy of the fundus glands of an early degree.

  1. Laboratory - reduced amount of hydrochloric acid and pepsin. PH-metrics even in response to maximum stimulation with histamine, up to achlorhydria (absence of hydrochloric acid) and achilia (absence of hydrochloric acid and pepsin).

  1. Blood - possible anemia of B-12 folate deficiency.

  1. Feces decorated or mushy, dark brown, a lot of undigested muscle fibers, undigested fiber, a little starch.

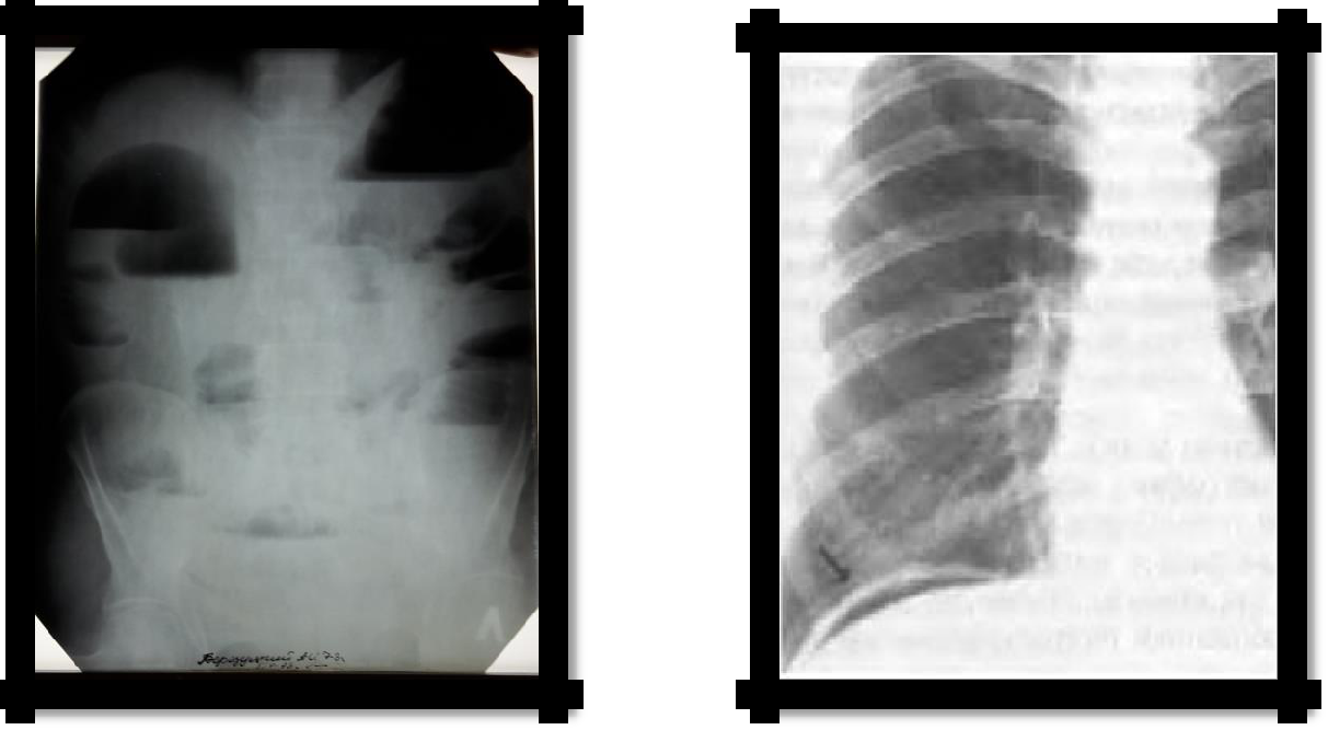
5. Syndrome of gastric evacuation

REASONS: peptic ulcer of the duodenum, complicated by pyloric stenosis, tumor of the pyloric

stomach and head of the pancreas.

SYMPTOMS:

  1. Constant or paroxysmal pains (pylorospasms) in the epigastric region, aggravated by evening and at the height of digestion, sour belching, with the smell of ―rotten eggs‖, profuse vomiting with the remnants of food eaten ―the day before‖ and not bringing relief, constipation, alternating diarrhea.

  1. With decompensated stenosis, the patient is depleted, sometimes peristalsis and antiperistalsis of the stomach are visible in the epigastrium. With severe stenosis, there is a large curvature of the stomach below the navel; late splashing noise is often determined - a positive symptom of Vasilenko.

  1. Radiological - the evacuation of the contrast mass from the stomach to the duodenum is slow, but quickly occurs after exposure to atropine, (compensated stenosis), does not change after pharmacological treatment with decompensated stenosis, gastric tetany syndrome (chlorohydropenic) develops.

  1. EFGDS - narrowing of the output section of the stomach

  2. An increase in the remainder of an empty stomach (more than 200 ml)

60

Pic 4.2 Pyloric stenosis (enlarged stomach in the pelvis)

6. Functional dyspepsia syndrome:

Functional dyspepsia is a complex of complaints, including pain and burning sensation in the epigastric region, a feeling of fullness in the epigastrium after eating and early saturation, which have been observed in the patient for the past 3 months (with their total duration of at least 6 months) and which cannot be attributed to organic diseases.

Clinical options for functional dyspepsia:

  1. epigastric pain syndrome (formerly known as the ulcer-like variant);

  2. postprandial distress syndrome (formerly known as the dyskinetic variant);

  3. dyspepsia associated with H. pylori infection;

  4. dyspepsia after suffering toxicoinfection.

The diagnosis of functional dyspepsia is a dynamic diagnosis or diagnosis of exclusion, which can only be made after a thorough laboratory and instrumental examination of the patient.

61

  1. Bleeding syndrome from the upper gastrointestinal tract (esophageal, gastro-duodenal) REASONS: ulcers of the stomach, duodenum, esophagus, tumors of various localization, erosive gastritis, duodenitis, varicose veins of the esophagus, ruptures of the mucous membrane of the gastroesophageal junction (Mallory-Weiss syndrome), diverticulum, and other diseases. Distinguish between hidden and massive bleeding

SYMPTOMS of occult bleeding:

  1. Persistent weakness, drowsiness, dizziness

  1. "Causeless" anemia that does not require emergency care SYMPTOMS of massive bleeding:

  1. Symptoms of acute vascular insufficiency - fainting, tinnitus, dizziness, weakness, pallor of the skin and mucous membranes, cold sweat, tachycardia, filamentous pulse, drop in blood pressure, shortness of breath (manifestations of posthemorrhagic anemia).

  1. Vomiting with blood (esophageal or heavy stomach bleeding), "coffee grounds" (with stomach bleeding).

  1. Melena - liquid, mushy, unformed, black tarry stool (with blood loss of more than 80-100 ml).

  2. Perhaps the development of hemorrhagic shock (with the loss of more than 1500 ml of blood).

  1. The disappearance or reduction of pain in the epigastrium during bleeding with gastric ulcer or duodenal ulcer.

  1. A positive reaction of Gregersen (feces for occult blood).

  2. General blood test: a gradual decrease in the level of Er., HB, Htc.

  3. Endoscopic confirmation of bleeding.

  1. Bleeding syndrome from the lower gastrointestinal tract

REASONS: hemorrhoids, anal fissures, diverticula, polyps, intestinal tumors, inflammatory bowel diseases, ulcerative colitis, ischemic bowel lesions, helminth infections. SYMPTOMS:

  1. Common symptoms of posthemorrhagic anemia

  2. Changes in feces:

  1. Complete blood count: a gradual decrease in the level of Er., HB, Htc.

  2. Endoscopic confirmation of bleeding.

9. The syndrome of "acute abdomen"

A collective term that clinically describes a catastrophe in the abdominal cavity with the subsequent development of peritonitis.

REASONS: appendicitis, cholecystitis, pancreatitis, perforated gastric and duodenal ulcers, bowel obstruction, ischemic necrosis of the intestine.

  1. Complaints: abdominal pain: dagger with perforated ulcer, dull constant with inflammation, cramping with obstruction; nausea and vomiting that does not relieve the condition; bloating and lack of feces, non-passage of gases with peritonitis and bowel obstruction;

  1. Examination: dry tongue, flat stomach, indifferent in the act of breathing, forced position on the back with legs raised to the stomach, flatulence with peristalsis waves in case of obstruction;

  1. Palpation: muscle tension of the abdominal wall over the lesion, a positive symptom of Shchetkin-Blumberg over the site of inflammation, swollen bowel loops with obstruction -

62

flatulence;

  1. Percussion: local pain over the affected organ during tingling, cystic symptoms with cholecystitis, disappearance of hepatic dullness after perforation of the ulcer (Jaubert symptom - tympanitis over the liver area. This is due to the accumulation of gas (exiting the stomach) under the right dome of the diaphragm during perforation of the stomach ulcer and Duodenum, which is confirmed by fluoroscopy and radiography of the abdominal cavity);

  1. Auscultation: the number of intestinal noises is reduced or there is none with peritonitis, the number of noises with obstruction is increased;

  1. Laparoscopy confirms the diagnosis;

  1. X-ray: a panoramic picture of the abdomen - air (gas) above the liver (perforated stomach ulcer or duodenum), Kloiber's cup with bowel obstruction;

  1. Ultrasound: pathology of the biliary tract, pathology of the pancreas, inflammatory changes in the appendix;

  1. Blood: leukocytosis with a shift to the left, anemia, high levels of amylase with pancreatitis.

Pic 4.3 Kloiber bowls Pic 4.4 Air below the diaphragm (perforation)