Материал: Внутренние болезни., Князева Л. И, Князева Л. А, Горяйнов И.И

Внимание! Если размещение файла нарушает Ваши авторские права, то обязательно сообщите нам

ГЛАВА 8. РЕВМАТИЧЕСКИЕ ПОРОКИ СЕРДЦА Митральная недостаточность.

Недостаточность левого предсердно-желудочкового (митрального) клапана, или митральная недостаточность, — патологическое состояние, при котором створки двустворчатого клапана не закрывают полностью митральное отверстие и во время систолы желудочков происходит обратный ток крови из левого желудочка в левое предсердие (так называемая митральная регургитация).

Этиология.

Митральная недостаточность может быть вызвана: 1) хронической ревматической болезнью сердца; 2) инфекционным эндокардитом; 3) атеросклерозом; 4) системными заболеваниями соединительной ткани (ревматоидный артрит, системная красная волчанка, склеродермия); 5) травматическим отрывом створки клапана.

Наиболее частой причиной является хроническая ревматическая болезнь сердца (до 75 % всех случаев порока и все без исключения случаи его сочетания с митральным стенозом).

Патогенез.

Неполное смыкание створок митрального клапана приводит к возврату части крови из левого желудочка в левое предсердие во время систолы желудочков. В левом предсердии накапливается большее количество крови, в результате чего развивается его дилатация.

В левый желудочек также поступает увеличенное количество крови, что обусловливает его дилатацию и компенсаторную гипертрофию. Дополнительное растяжение кровью предсердия ведет к повышению давления в его полости и гипертрофии миокарда.

Порок длительное время компенсируется за счет работы мощного левого желудочка. В дальнейшем при ослаблении сократительной функции левого желудочка в полости левого предсердия повышается давление, ретроградно передающееся на легочные вены, капилляры, артериолы. Возникает так называемая венозная («пассивная») легочная гипертензия, приводящая к умеренной гиперфункции и гипертрофии правого желудочка.

С ростом давления в малом круге и развитием дистрофических изменений в миокарде правого желудочка снижается его сократительная функция и возникают застойные явления в большом круге

кровообращения.

 

 

 

 

 

 

Клиническая картина.

 

 

 

 

Клиническую картину

порокаопределяют:

 

прямые

или

«клапанные»

признаки,

 

обусловленные

нарушениемфункции

митрального клапана.

 

 

 

 

 

Косвенные,

или

«левосердечные»признаки,

обусловленные

компенсаторной гиперфункцией левого желудочка и левого предсердия с последующим развитием дилатации и гипертрофии.

116

Признаки «пассивной» легочной гипертензии.Признаки застойных явлений в большом круге кровообращения.

Прямые признаки: систолический шум на верхушке сердца в сочетании с ослаблением I тона. Эти симптомы непосредственно связаны с нарушением функционирования митрального клапана: ослабление (иногда полное отсутствие) I тона объясняется нарушением механизма захлопывания митрального клапана (отсутствием «периода замкнутых клапанов»).

Систолический шум возникает вследствие прохождения обратной волны крови (волна регургитации) из левого желудочка в левое отверстие через относительно узкое отверстие между неплотно сомкнутыми створками митрального клапана. Интенсивность систолического шума обусловлена обычно выраженностью дефекта клапана. Тембр шума различный: мягкий, дующий или грубый, что может сочетаться с пальпаторно ощутимым систолическим дрожанием на верхушке.

Лучше всего выслушивается шум в области верхушки сердца и более отчетливо при положении больного на левом боку при задержке дыхания в фазе выдоха, а также после физической нагрузки. Систолический шум может занимать часть систолы или всю систолу (пансистолический шум).

В случаях резко выраженной митральной недостаточности на верхушке сердца можно прослушать III тон, который появляется вследствие колебаний стенок левого желудочка при поступлении увеличенных количеств крови из левого предсердия.

III тон всегда сочетается со значительным ослаблением I тона и выраженным систолическим шумом.

Косвенные признакиобусловлены выраженностью порока сердца и нарушением кровообращения в различных сосудах.

К ним относятся: гипертрофия и дилатация левого желудочка и левого предсердия, а также симптомы легочной гипертензии и застойные явления в большом круге кровообращения.

При осмотре и пальпации области сердца может быть выявлено увеличение левых отделов сердца : «сердечный горб», смещение верхушечного толчка влево (при значительной дилатации левого желудочка) и вниз, а также при перкуссии (смещение левой границы латерально за счет расширения левого желудочка, а верхней границы вверх за счет дилатации левого предсердия).

При развитии легочной гипертензии выявляются соответствующие симптомы: акцент II тона над легочной артерией в сочетании с его расщеплением (это объясняется небольшим запаздыванием легочного компонента тона, а также более ранним закрытием аортального клапана вследствие того, что левый желудочек опорожняется через два отверстия).

Гиперфункция и гипертрофия правого желудочка может обусловить появление пульсации в эпигастральной области (усиливается на высоте вдоха). При выраженны х нарушениях кровообращения в малом круге может отмечаться акроцианоз вплоть до развития типичного faciesmitralis.

117

При снижении сократительной функции правого желудочка появляются признаки застоя в большом круге кровообращения: увеличение печени, набухание шейных вен, отеки на стопах и голенях. Пульс и артериальное давление обычно не изменены.

Диагностика.

ЭКГ.

Признаки гипертрофии левого желудочка:

1) увеличение амплитуды зубца R в отведениях V5,6 и зубца S в

отведении V1,2;

2) в отведении V5,6, реже в I и aVL сегмент ST снижается, а зубец Т изменяет свою форму (его амплитуда снижается).

При развитии выраженной легочной гипертензии на ЭКГ появляются признаки гипертрофии правого желудочка в виде увеличения амплитуды зубца R в отведении V1,2 и ЭКГ становится характерной для гипертрофии обоих желудочков.

Эхокардиография.

Увеличение полости левого предсердия и левого желудочка, а также (в выраженных случаях порока) турбулентные потоки крови в полости левого предсердия, что является косвенным признаком митр альной недостаточности.

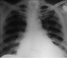
Рентгенологическое исследование.

Увеличение левого предсердия, выбухание третьей дуги на левом контуре сердца, а также левого желудочка (закругление четвертой дуги на левом контуре сердца, уменьшение ретрокардиального пространства) (рис.

8-1).

Рис. 8-1. Недостаточность митрального клапана.

В случае развития легочной гипертензии отмечаются расширение корней легких с нечеткими контурами, сосудами, прослеживаемыми до периферии легочных полей. Увеличение правого желудочка как реакция на повышение давления в легочной артерии выражено обычно нерезко, так как легочная гипертензия при данном пороке не достигает больших степеней.

Течение недостаточности митрального клапана отличается большим разнообразием.

118

Первый период: компенсация «клапанного» дефекта усиленной работой левого предсердия и левого желудочка. Это длительный период хорошего самочувствия больных и отсутствия симптомов недостаточности кровообращения.

Второй период: развитие «пассивной» (венозной) легочной гипертензии вследствие снижения сократительной функции левых отделов сердца. В этот период появляются характерные симптомы нарушения кровообращения в малом круге в виде одышки (при нагрузке и в покое), кашля, иногда кровохарканья и приступов сердечной астмы. Этот период длится относительно недолго, так как застойные явления в малом круге быстро прогрессируют и правый желудочек не успевает приспособиться к новым условиям функционирования.

Третий период: правожелудочковая недостаточность со всеми характерными симптомами в виде увеличения печени, отеков, повышения венозного давления.

Осложнения:

1)кровохарканье и отек легких;

2)нарушения сердечного ритма в виде фибрилляции предсердий и

суправентрикулярной экстрасистолии; 3) тромбоэмболические осложнения (тромбоз левого предсер дия с

эмболией почек, мезентериальных сосудов и сосудов головного мозга). Митральный стеноз (МС) - патологическое состояние,

характеризующееся уменьшением площади отверстия митрального клапана в 2-14 раз, что создает препятствие движению крови из левого предсердия в левый желудочек. Митральный стеноз может наблюдаться изолированно или в сочетании с митральной недостаточностью, а также пороками других клапанов (аортального, трехстворчатого).

Этиология.

Практически все случаи митрального стеноза являются следствием хронической ревматической болезни сердца. Достаточно часто в анамнезе больных (до 30 - 50% случаев) не наблюдается явных ревматических «атак», тем не менее сомнений в ревматическом происхождении порока не должно быть.

Патогенез.

Площадь отверстия митрального клапана в норме составляет около 4-6 см2. Когда развивается митральный стеноз, кровоток через митральный клапан из левого предсердия в левый желудочек уменьшается и сердечный выброс падает.

При уменьшении площади митрального отверстия давление в левом предсердии увеличивается, чтобы облегчить изгнание крови. Когда площадь митрального отверстия достигает 1 см2, давление в левом предсердии становится равным 20-25 мм рт. ст. (в норме не более 5 мм рт.

ст.).

Подъем давления в левом предсердии ведет к подъему давления в легочных венах и капиллярах. Развивается «пассивная» (венозная)

119

легочная гипертензия, при которой давление в легочной артерии (ЛА) обычно не превышает 50 - 60 мм рт. ст., поэтому гипертрофия правого желудочка выражена нерезко.

Мелкие сосуды лѐгких (венулы, артериолы) суживаются, их мышечная стенка гипертрофируется, дилатационный резерв снижается. Вследствие этого легочное сосудистое сопротивление значительно повышается, что приводит к дальнейшему подъему давления в ЛА. Формируется «второй барьер» - сосудистый (МС - первый барьер).

Вответ на значительный подъем давления в легочной артерии развивается выраженная гипертрофия правого желудочка.

Вдальнейшем при снижении его сократительной функции наблюдаются застойные явления в большом круге кровообращения.

Клиническая картина.

Прямые («клапанные») признаки, обусловленные нарушением функции митрального клапана.

К прямым относятся также «левопредсердные» признаки, отражающие реакцию левого предсердия на затруднение кровотока в митральном отверстии.

Косвенные признаки : а) легочные, обусловленные наличием легочной гипертензии; б) правожелудочковые, обусловленные реакцией

правого сердца на наличие легочной гипертензии.

 

 

Признаки

застойных

явлений

в

большом

круге

кровообращения.

 

 

 

 

 

Прямые признаки.

Усиление I тона, диастолический шум, тон открытия митрального клапана. Шум прямо связан с затруднением кровотока через суженный митральный клапан.

Усиленный I тон обусловлен быстрым сокращением недостаточно наполненного левого желудочка. Хлопающий I тон будет выслушиваться лишь при отсутствии грубых деформаций створок (отсутствии фиброза и кальциноза клапана).

Тон открытия митрального клапана объясняют резким движением уплотненных створок митрального клапана в начале диастолы.При выраженном стенозировании выслушивается шум, занимающий всю диастолу и усиливающийся в пресистоле.

Вначале диастолы (протодиастола) шум обусловлен усиленным кровотоком через митральное отверстие вследствие увеличенного градиента давления левое предсердие - левый желудочек.

Вконце диастолы усиление кровотока объясняется активной систолой левого предсердия.

При развитии фибрилляции предсердий и выпадении активной

систолы предсердий пресистолический шум исчезает.Для умеренного стеноза характерно наличие шума только в начале:«мелодия» на верхушке сердца; звуковые симптомы значительно усиливаются при положении больного на левом боку с задержкой дыхания в фазе выдоха.

120