Материал: Внутренние болезни., Князева Л. И, Князева Л. А, Горяйнов И.И

Внимание! Если размещение файла нарушает Ваши авторские права, то обязательно сообщите нам

Диастолический шум имеет эквивалент в виде пальпаторно определяемого «кошачьего мурлыканья» (диастолическое дрожание) на верхушке сердца.

«Левопредсердные» признаки проявляют себя в виде смещения верхней границы относительной тупости сердца вверх (за счет расширения ушка левого предсердия).

Косвенные признаки.

Цианоз. Акцент IIтона над легочной артерией.

Диастолический шум по левому краю грудины, обусловленный относительной недостаточностью клапана легочной артерии (шум Стилла), пульсация в эпигастрии за счет правого желудочка, при перкуссии правая граница относительной тупости смещается латерально (за счет правого предсердия, смещаемого расширенным правым желудочком).

При развитии правожелудочковой недостаточности можно выявить соответствующие симптомы в виде увеличения печени, набухания шейных вен, отеков нижних конечностей.

Диагностика.

Эхокардиография - главный метод диагностики митрального стеноза.

ЭКГ.

Признаки гипертрофии левого предсердия. По мере прогрессирования легочной гипертензии появляются признаки гипертрофии правого желудочка:

1)отклонение электрической оси сердца вправо в сочетании с депрессией сегмента STи изменением зубца Т в отведениях II, III, aVF в виде двухфазности (±) или негативности;

2)в правых грудных отведениях возрастает зубец R(R/S> 1,0), а в

левых грудных отведениях возрастет зубец S(R/S< 1,0).

Рентгенологическое исследование.

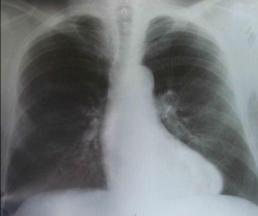
Выявляет увеличение правого желудочка и левого предсердия, выраженность изменений сосудов малого круга, обусловленных развитием легочной гипертензии (рис. 8-2).

Рис. 8-2. Митральный стеноз При «пассивной» (венозной) гипертензии отмечается рас ширение

корней легких в виде гомогенной тени с нерезкими контурами.

121

При «активной» (артериальной) легочной гипертензии отмечается выбухание дуги легочной артерии в сочетании с расширением ее ветвей.

Течение митрального стеноза.

Соответствует эволюции гемодинамических расстройств.

Первый период: компенсация клапанного дефекта осуществляется за счет усиленной работы левого предсердия. В этих случаях порок часто выявляется случайно. Косвенных симптомов («легочных» и «правожелудочковых») не наблюдается.

Второй период: легочная гипертензия и гиперфункция правого желудочка. Больные предъявляют жалобы на одышку, сердцебиение. Появляются приступы выраженной одышки, кровохарканье и даже отек легких. В этой стадии клиническая картина митрального стеноза наиболее ярко выражена.

Третий период: правожелудочковая недостаточность с застойными явлениями в большом круге кровообращения. Снижение давления в легочной артерии вследствие правожелудочковой недостаточности приводит к некоторому изменению субъективных ощущений: одышка уменьшается, но появляются жалобы, связанные с застоем в большом круге (тяжесть в правом подреберье, отеки, олигурия).

Осложнения при митральном стенозе.

К первой группе осложнений относятся кровохарканье и сердечная астма.

Вторую группу осложнений составляют фибрилляция или трепетание предсердий, тромбоэмболические осложнения, медиастинальный синдром.

Сочетание митральной недостаточности и митрального стеноза .

Существует три различных варианта сочетания митральной недостаточности и митрального стеноза:

Площадь митрального отверстия > 2 см2 - преобладает митральная регургитация.

Площадь митрального отверстия 1,5 - 2 см2 - оба порока выражены в равной степени. Эта ситуация не является частой.

Площадь митрального клапана < менее 1,5 см2 и даже 1 см2 - преобладает митральный стеноз.

Стеноз устья аорты.

Стеноз устья аорты - патологическое состояние, при котором имеется препятствие на пути тока крови из левого желудочка в аорту.

Этиология.

Стеноз устья аорты может быть обусловлен:

1)хроническойревматической болезнью сердца (80% случаев);

2)врожденным поражением (всего 5% случаев);

3)атеросклерозом (чаще встречается у лиц старше 60 лет). Аортальный клапан при выраженном ревматическом аортальном

стенозе (АС).

122

Патогенез.

Стеноз устья аортысоздает значительные препятствия для кровотока из левого желудочка в аорту. В связи с этим значительно повышается давление в полости левого желудочка, что приводит к гипертрофии этого отдела сердца. Ни при каком ином приобретенном пороке сердца не развивается такой гипертрофии миокарда, как при стенозе устья аорты.

В компенсации стеноза принимает участие мощный левый желудочек. При ослаблении сократительной функции левого желудочка развивается его дилатация, что приводит к гемодинамической перегрузке левого предсердия.

Повышенное давление из левого предсердия ретроградно передается на легочные вены и другие сосуды малого круга кровообращения (развивается пассивная легочная гипертензия).

В дальнейшем появляются застойные явления в большом круге кровообращения.

Клиническая картина.

Прямые («клапанные») признаки, обусловленные нарушением функционирования клапана аорты и нарушением кровотока через устье аорты.

Косвенные признаки : а) «левожелудочковые», обусловленные компенсаторной гипертрофией;

б) «сосудистые», обусловленные снижением сердечного выброса и нарушением кровотока в различных сосудистых областях.

Признаки застойных явлений в малом и большом кругах кровообращения.

Прямые признаки.

Систолический шум во втором межреберье справа от грудины, а также в точке Боткина в сочетании с ослаблением (или исчезновением, обусловленным малой подвижностью ригидных, сращенных между собой створок клапана) II тона.

Систолический шум интенсивный, имеет грубый (скребущий или «рокочущий») тембр, хорошо проводится на сосуды шеи. Шум лучше слышен при положении больного на правом боку и задержке дыхания в фазе выдоха.

Интенсивный шум имеет свой эквивалент в виде систолического дрожания, определяемого пальпаторно в месте выслушивания шума.

Косвенные признаки.

Усиление верхушечного толчка.

«Сосудистые» симптомы обусловлены снижением сердечного выброса, что выражается в бледности кожных покровов, снижении систолического артериального давления, малом пульсе.

Чем выраженнее порок, тем значительнее изменены артериальное давление и пульс.

123

При развитии правожелудочковой недостаточности можно выявить: увеличение печени,набухание шейных вен, цианоз, отеки нижних конечностей.

Диагностика.

ЭКГ.Увеличение амплитуды комплекса QRSв отведении V5,6.

При выраженном пороке появляются изменения конечной части желудочкового комплекса в виде депрессии сегмента ST и негативного зубца Т в отведениях V5,6,I, aVL. Возможна полная блокада левой ножки пучка Гиса.

Рентгенологическое исследование.

В периоде компенсации порока незначительно увеличен левый желудочек. С развитием сердечной недостаточности происходит увеличение левого желудочка с выбуханием аорты, затем левого предсердия и, наконец, правого желудочка (рис. 8-3).

Рис. 8-3. Стеноз аортального клапана.

Эхокардиография.

Утолщение миокарда (задней стенки и межжелудочковой перегородки), деформация створок клапана аорты и нарушение их подвижности.

Течение стеноза устья аорты соответствует эволюции гемодинамических расстройств.

Первый период — компенсация порока усиленной работой левого желудочка. В этих случаях порок иногда выявляют случайно, так как такие больные не предъявляют жалоб. У всех больных определяются «клапанные» признаки порока, наличие и выраженность «левожелудочковых» и «сосудистых» признаков обусловливаются степенью стенозирования устья аорты

Второй период — нарушение сократительной функции левого желудочка. Проявляется приступами одышки (часто по ночам в виде сердечной астмы) или приступами стенокардии, также часто возникающей по ночам.

Третий период — правожелудочковой недостаточности с развитием застойных явлений в большом круге кровообращения. В этот период одышка может несколько уменьшаться за счет «перемещения» застойных явлений в большой круг. Обычно период сердечной недостаточности

124

длится относительно короткое время (1-2 года). Устойчивость нарушений кровообращений является весьма характерным признаком данного порока.

Осложнения.

Левожелудочковая недостаточность. Коронарная недостаточность.

Прогноз без операции зависит от симптомов: при появлении стенокардии средняя продолжительность жизни - 3-5 лет;при обмороках - 2-3 года; при сердечной недостаточности – до 1 года;в 10-20% смерть наступает внезапно.

Недостаточность клапана аорты. Недостаточность клапана аорты - патологическое состояние, при

котором в период диастолы створки клапана не закрывают полностью просвет аорты и вследствие этого происходит обратный ток крови из аорты в левый желудочек (так называемая аортальная регургитация).

Этиология1) хроническая ревматическая болезнь сердца; 2) инфекционный эндокардитом; 3) сифилитический аортит; 4) атеросклероз; 5) анкилозирующий спондилоартрит; 6) врожденные поражения.

Патогенез.

Основные гемодинамические сдвиги вызваны значительным обратным током крови из аорты в левый желудочек («аортальная регургитация») в период его диастолы в результате неполного смыкания створок клапана аорты. Вследствие такой гемодинамической перегрузки левый желудочек дилатируется и гипертрофируется. Компенсация длится долгое время за счет мощного левого желудочка.

Если давление в полости левого предсердия превысит 25 мм рт. ст., то возникает легочная гипертензия («пассивная») с реакцией правых отделов сердца. В дальнейшем возможно развитие правожелудочковой недостаточности.

Клиническая картина.

Прямые («клапанные») признаки, обусловленные нарушением функционирования клапана аорты.

Косвенные признаки:

а) левожелудочковые, обусловленные компенсаторной гиперфункцией и гипертрофией левого желудочка;

б) сосудистые, обусловленные нарушением кровотока в различных сосудистых областяхвследствие увеличения сердечного выброса и резкого колебания давления в артериальном русле.

Признаки застойных явлений в малом и большом кругах кровообращения.

Прямые признаки.

Диастолический шум, обусловленный обратным током крови из аорты в левый желудочек. Этот шум имеет ряд характерных особенностей: он возникает сразу после II тона, постепенно уменьшаясь в своей интенсивности к концу диастолы. Шум отличается мягким, дующим тембром.

125