Материал: Внутренние болезни., Князева Л. И, Князева Л. А, Горяйнов И.И

Внимание! Если размещение файла нарушает Ваши авторские права, то обязательно сообщите нам

РАЗДЕЛ I. РЕВМАТОЛОГИЯ.

ГЛАВА 1. РЕВМАТОИДНЫЙ АРТРИТ.

Ревматоидный артрит (РА) – хроническое системное заболевание соединительной ткани с прогрессирующим поражением преимущественно периферических (синовиальных) суставов по типу эрозивнодеструктивного полиартрита, возможным развитием полиорганного поражения и тяжелых осложнений, таких как вторичный амилоидоз.

РА представляет собой наиболее распространенное аутоиммунное заболевание человека, которое регистрируют во всех климатогеографических зонах, во всех возратсных , расовых и этнических группах, поражая 0,5-2% взрослого населения Земли в наиболее работоспособном возрасте (35-55 лет). РА имеет общемедицинское и социальное значение, приводя к колоссальным экономичес ким потерям.

Факторы риска возникновения РА: женский пол, возраст 45 лет и старше, наследственная предрасположенность, наличие антигенов

HLADR4, DR1

Этиология РА неизвестна.

Существуют 2 теории возникновения и развития РА.

Вирусная теория: инфекционные агенты – вирус Эпштейна-Барра,

парвовирус В19, ретровирусы.

 

Генетическая теория. Генетическая

предрасположенность –

носительство HLA-DR4, HLA-DR1 генов.

 

Патогенез РА складывается из нескольких взаимодополняющих компонентов:

-участие Т-лимфоцитов;Bлимфоцитов.

-участие моноцитомакрофагальных клеток, которые продуцируют провоспалительные цитокины: (интерлейкин (ИЛ)-1, ИЛ-6, фактор некроза опухоли α)

-участие автономных неиммунных механизмов, определяющих опухолеподобный рост синовиальной ткани, приводящий к деструкции суставного хряща.

На ранней стадии РА:доминируют неспецифическое воспаление и синтез органоспецифичных аутоантител (ревматоидный фактор (РФ) и антитела к циклическому цитруллинированному пептиду (анти-ЦЦП)).

Развернутая стадия сопровождается нарушением ангиогенеза, активацией эндотелия, активной миграцией клеток в зону воспаления, активацией СД 4+ Т-клеток, гиперпродукцией провоспалительных цитокинов, простагландинов, коллагеназ, металлопротеаз.

Поздняя стадия сопровождается нарушением апоптоза синовиальных клеток и прогрессирующей деструкцией суставов.

Главные патогенетические процессы, ведущие к деструкции сустава: деградация хряща, персистирующее аутоиммунное воспаление в полости сустава, пролиферация синовиальной ткани с разрастанием паннуса, и прогрессирующим развитием остеопороза.

6

Патоморфология.

Преобладают экссудативные и альтеративные процессы в синовиальной мембране, а именно отек, полнокровие и очаги фибриноидных изменений (рис. 1-1).

Рис. 1-1. Патоморфология ревматоидного артрита (по Насоновой В.А.,1997)

Рабочая классификация РА (принята на заседании пленума

Ассоциации ревматологов России 30.09.2007).

 

1. Основной диагноз:

 

 

 

Ревматоидный

артрит

серопозитивный

(положительный

ревматоидный фактор в сыворотке крови).

 

Ревматоидный

артрит

серонегативный

(отрицательный

ревматоидный фактор в сыворотке крови.

 

Особые клинические

формы

ревматоидного артрита:

Синдром Фелти.

 

 

 

 

Болезнь Стилла, развившаяся у взрослых.

 

Ревматоидный

артрит

вероятный.

 

2. Клиническая стадия.

 

 

1. Очень ранняя стадия: длительность болезни < 6 месяцев. 2.Ранняя стадия: длительность болезни 6 мес. - 1 год.

3.Развернутая стадия: длительность болезни > 1 года при наличии типичной симптоматики РА.

4.Поздняя стадия: длительность болезни 2 года и более +

выраженная деструкция мелких (III-IV рентгенологическая стадия) и крупных суставов, наличие осложнений.

3. Активность болезни:

0 = ремиссия (DAS 28 < 2,6).

1 = низкая (DAS 28 = 2,6 - 3,2).

2 = средняя (DAS 28 3,3 - 5,1).

7

3 = высокая (DAS 28 > 5,1).

4. Внесуставные (системные) проявления:

1. Ревматоидные узелки.

2. Кожный васкулит (язвенно-некротический васкулит, инфаркты ногтевого ложа, дигитальный артериит, ливедо -ангиит).

3.Васкулит других органов.

4.Нейропатия (мононеврит, полинейропатия).

5.Плеврит (сухой, выпотной), перикардит (сухой, выпотной).

6.Синдром Шегрена.

7.Поражение глаз (склерит, эписклерит, васкулит сетчатки).

5.Инструментальная характеристика.

Наличие или отсутствие эрозий (с использованием рентгенографии, возможно МРТ, УЗИ):

-неэрозивный; -эрозивный.

Рентгенологическая стадия (по Штейнброккеру, модификация): I- околосуставной остеопороз;

II-остеопороз + сужение суставной щели, могут быть единичные эрозии;

IIIпризнаки предыдущей стадии + множественные эрозии + подвывихи в суставах;

IV — признаки предыдущей стадии + костный анкилоз.

6.Дополнительная иммунологическая характеристикаантитела

кциклическому цитрулинированному пептиду (АЦЦП)

АЦЦП — присутствуют (+); АЦЦП — отсутствуют (-).

Функциональный класс (ФК):

I — полностью сохранены самообслуживание, непрофессиональная и профессиональная деятельность;

II— сохранены: самообслуживание, профессиональная деятельность, ограничена непрофессиональная деятельность;

III — сохранено самообслуживание, ограничены непрофессиональная и профессиональная деятельность;

IV — ограничены самообслуживание, непрофессиональная и профессиональная деятельность;

8. Осложнения:

-вторичный системный амилоидоз;

-вторичный остеоартроз;

-остеопороз (системный);

-остеонекроз;

-туннельные синдромы (синдром карпального канала, синдромы

сдавления локтевого, большеберцового нервов) ;

-подвывих в атланто-аксиальном суставе, в том числе с миелопатией, нестабильность шейного отдела позвоночника;

-атеросклеротическое поражение сосудов.

8

Ранний ревматоидный артрит.

Ранняя фаза ревматоидного артрита характеризуется появлением утренней скованности (всегда! свыше 30 мин.) в мелких суставах кистей (проксимальных межфаланговых и пястно -фаланговых) и стоп (проксимальных межфаланговых и плюснефаланговых) с развитием воспалительного отека периартикулярных тканей, возникновение болезненности вышеуказанных суставов при пальпации (положительный симптом поперечного сжатия кисти).

Процесс обычно симметричен и охватывает суставы обеих кистей (рис.1-2) и обеих стоп практически одновременно.

Рис.1-2. Ранний РА. Обращает на себя внимание симметричные артриты проксимальных межфаланговых (палец формы «веретена») и пястно-фаланговых суставов.

Если длительность подобной клинической симптоматики составляет не более 1 года, то речь идет о потенциально обратимой, клинико - патогенетической стадии болезни – раннем РА (РРА).

Признаки, позволяющие заподозрить РРА (по Р. Еmеry):

-> 3 припухших суставов;

-симметричное поражение пястно -фаланговых и плюсне-

фаланговых суставов;

-положительный «тест поперечного сжатия» пястно-фаланговых

иплюсне-фаланговых суставов;

-утренняя скованность > 30 мин;

-СОЭ > 25 мм/час.

РРА сопровождается, чаще всего, такими системными проявлениями, как лихорадка, потеря массы тела, появлением ревматоидных узелков.

Уже на ранней стадии ревматоидного артрита будут характерны следующие изменения лабораторно-инструментальных показателей:

-СОЭ более 25 мм/ч;

-СРБ более 6 мг/мл;

9

-фибриноген более 5 г/л;

-наличие ревматоидного фактора, антител к циклическому

цитруллиновому пептиду (АЦЦП), антител к виментину в сыворотке крови.

Примечание: при наличии таких признаков пациент должен быть направлен на консультацию к ревматологу

Клиническая картина РА.

Поражение суставов.

Утренняя скованность — один из основных симптомов РА ее развитие связано с гиперпродукцией синовиальной жидкости содержащей высокие концентрации провоспалительных цитокинов (ИЛ -1, ИЛ-6, ФНО- α), способствующих поддержанию воспалительного процесса в суставах и дальнейшей деструкции хряща и кости. Утренняя скованность является диагностически значимой, если ее продолжительность составляет более одного часа.

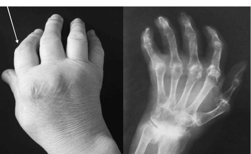
С течением времени у пациентов формируется ревматоидная кисть: ульнарная девиация пястно -фаланговых суставов, обычно развивающаяся через 1—5 лет от начала болезни (рис.1-3); поражение пальцев кистей по типу «бутоньерки» (сгибание в проксимальных межфаланговых суставах) или «шеи лебедя» (переразгибание в проксимальных межфаланговых суставах) (рис.1-4); деформация кисти по типу «пуговичная петля» (рис.1-4, 1-5).

Рис. 1-3. Ульнарная девиация («плавник моржа»)

10