Материал: Внутренние болезни., Князева Л. И, Князева Л. А, Горяйнов И.И

Внимание! Если размещение файла нарушает Ваши авторские права, то обязательно сообщите нам

повреждением эпителиальных клеток и мезенхиамальными клетками приводит к дезрегуляции механизмов восстановления с избыточной продукцией профибротических цитокинов, экстрацелюллярного матрикса и нарушенным ангиогенезом.

Патологическая анатомия. Гистологические изменения в легочной ткани варьируют, что зависит не только от особенностей самого процесса у конкретного больного, но и от фазы (стадии) заболевания.

Различают 5 степеней патоморфологических изменений в легочной ткани у больных ИЛФ:

I степень: отек межальвеолярпых перегородок, клеточная инфильтрация, извилистость капилляров.

II степень: экссудация серозно-фиброзной жидкости (богатой белком и окрашивающейся эозином) и клеточная экссудация в альвеолы, что приводит к облитерации альвеолярного пространства (внутриальвеолярный фиброз). Другой путь организации альвеолярного экссудата - резорбция его в межальвео лярные перегородки с уплотнением

ифиброзом последних. Оба эти варианта могут сосуществовать.

III степень: вовлечение в процесс бронхиол с образованием мелких

кист и разрушением структуры альвеол.

IV степень: нормальная структура легочной ткани полностью нарушается, кистозные полости постепенно увеличи ваются.

V степень: образование так называемого «сотового (или ячеистого) легкого». Кисты достигают 1 см в диаметре.

Клиническая симптоматика: наиболее часто ИФА встречается в возрастном диапазоне от 40 до 49 лет. Соотношение мужчин и женщин 2:1 Патогномоничных, характерных только для ИФА, признаков болезни нет. Начало может быть незаметным или связывается больными с перене -

сенной острой респираторной инфекцией, гриппом и проявляет ся возникновением одышки при умеренной физической нагруз ке. Неуклонно прогрессирующая одышка - один из наиболее характерных и постоянных признаков ИФА. Иногда, как первый признак болезни, пациенты отмечают кашель (сухой или со скудной слизистой мокротой), к которому затем присоединяется прогрессирующая одышка. По мере прогрессирования заболевания кашель может усиливаться и сопровождаться болями в грудной клетке неврологического характера. Характерна жалоба на невозможность глубокого вдоха.

У некоторых больных первым проявлением болезни может быть по - вышение температуры тела до 38-39°С, лишь потом возникает одышка и кашель. Около 5% больных отмечают периоди ческое кровохарканье.

Одним из признаков болезни, свидетельствующих (наряду с другими) о прогрессировании патологического процесса в легких, является похудание.

Артралгии (в том числе утренняя скованность суставов), мышечные боли, перемежающееся повы шение температуры тела до субфебрильных или фебрильных цифр, синдром Рейно отмечаются у половины больных

611

ИФА. Такая высокая частота поражения суставов является дополнительным аргументом участия аутоиммунных нарушений в патогенезе данной патологии. У всех больных отмечается слабость и быстрая утомляемость.

При осмотре больного обращает на себя внимание цианоз различной степени выраженности (от акроцианоза до диффузного). Степень его выраженности зависит от тяжести заболевания. На ранних этапах хронического течения болезни цианоз может появляться только при физической нагрузке, но по мере прогрессирования болезни он усиливается. При острых формах заболевания цианоз является одним из ранних признаков.

У пациентов обращает на себя внимания изменение ногтевых фаланг, связанных с хронической гипоксией (симптом «барабанных палочек» и «часовых стекол»). Скорость формирования этих симптомов зависит от активности, длительности патологического процесса и выраженности дыхательной недостаточности.

При перкуссии легких над областью поражения отмечается притупление перкуторного тона (чаще это нижние отделы легких).

При аускультации выслушивается крепитация на вдохе (чаще на высоте вдоха). Этот звуковой феномен в литературе называют «треском целлофана». Часто это двусторонняя крепитация, лучше выслушивается по задней и средней подмышечным линиям, а также между лопатками. Крепитация не всегда являетя постоянным симптомом ИФА. При острой форме болезни крепитация может выслушиваться даже при нормальной рентгенологической картине, в то же время ее может не быть при хроническом течении и имеющих место изменениях на рентгенограмме; она может исчезать и при адекватной терапии.

Характерным аускультативным приз наком ИФА является ослабленное везикулярное дыхание (укорочение фазы вдоха и выдоха). Жесткое дыхание, сухие хрипы могут возникать при присоединении эндобронхита.

При наличии легочной гипертензии наблюдается акцент П тона над легочной артерией.

По мере прогрессирования заболевания появляются признаки дыхательной недостаточности и лѐгочного сердца: диффузный серо - пепельный цианоз, акцент П тона над лѐгочной артерией, тахикардия, ритм галопа, набухание шейных вен, периферические отѐки (появляются все признаки недостаточности кровообращения по правожелудочковому типу). Снижение массы тела больных вплоть до развития кахек сии является характерным признаком терминальной стадии ИЛФ.

612

Критерии диагноза идиопатического фиброзирующего альвеолита

(ATS/ERS, 2000).

Большие критерии.

1. Исключение других интерстициальных заболеваний легких, вызванных известными причинами, такими как прием лекарств, экспозиция к вредным факторам внешней среды, системные заболевания соединительной. ткани

2.Изменения функции внешнего дыхания, включающие

рестриктивные

изменения

и

нарушение

газообмена.

3.Двусторонние ретикулярные изменения в базальных отделах легких

сминимальными изменениями по типу "матового стекла", по данным

компьютерной

томографии

высокого

разрешения.

4. По данным трансбронхиальной биопсии или бронхоальвеолярного

лаважа, нет признаков,

свидетельствующих об альтернативном диагнозе.

Малые критерии.

1.Возраст старше 50 лет.

2.Незаметное, постепенное появление диспноэ при физической нагрузке.

3.Длительность заболевания более 3 месяцев.

4.Инспираторная крепитация в базальных отделах легких.

Должны присутствовать все 4 большие критерия и как минимум 3 из 4 малых критериев.

Проведение хирургической биопсии лѐгких может быть рекомендовано больным с атипичными клиническими и КТВР-признаками ИЛФ при взвешенном риске инвазивного характера данной процедуры

Каких-либо характерных изменений со стороны крови не выявлено. Лейкоцитоз со сдвигом влево, увеличение СОЭ, диспротеинемия в основном за счет увеличения фракции γ-глобулинов, умеренное увеличение сиаловых кислот могут указывать на воспалительную стадию заболевания (стадию альвеолита). Показатели гематокрита, как правило, в пределах нормы.

У больных ИЛФ может быть повышен сыво роточный уровень общей лактатдегидрогеназы (ЛДГ), возможным источником которой являются альвеолярные макрофаги и альвеолоциты II типа.

К числу сывороточных маркѐров при ИЛФ относятся протеины сурфактанта А и D и муцин-антигены KL-6, альвеоломуцин 3EG5.

Функциональные легочные тесты.

ИФА относится к рестриктивным легочным заболеваниям, поэтому его характерными функциональными особенностями являются снижение легочного комплаенса и статических легочных объемов (общей емкости легких, функциональной остаточной емкости, остаточного объема). Соотношение ОФВ1/ЖЕЛ (коэффициент Тиффно) находится в пределах нормы или даже повышено. Одним из ранних признаков заболевания

613

является снижение DLCO(диффузионная способность легких для окиси углерода). Выраженное снижение DLCO (<50%), как правило, ассоциировано с развитием легочной гипертензии и расширением альвеолоартериального градиента АаРО2 при физической нагрузке.

Реже при оценке ИФА используют анализ кривой давление–объемна начальных этапах, при заболеваниях данной группы она смещена вправо и вниз, что отражает снижение растяжимости легких и уменьшение объема легких.

На ранних этапах заболевания газовый анализ артериальной крови,

выполненный в покое, практически не изменен, хотя при физической нагрузке уже происходит десатурация, что отражается снижением парциального напряжения кислорода артериальной крови РаО2 и расширением АаРО2. По мере прогрессирования заболевания гипоксемия появляется и в покое и сопровождается гипокапнией, отражающей особенности дыхательного паттерна больных – частого поверхностного дыхания (rapid shallow breathing), гиперкапния появляется только на терминальных этапах ИЛФ. Основным механизмом гипоксемии при ИЛФ является вентиляционно-перфузионный дисбаланс.

Бронхоальвеолярныйлаваж.

Бронхоальвеолярный лаваж (БАЛ), позволяет оценить течение, прогноз и мониторирование воспаления при терапии заболевания. Характерными находками БАЛ при ИЛФ являются повышение общего числа клеток, увеличение числа нейтрофилов и эозинофилов. Однако данные признаки встречаются и при других ИЗЛ (асбестоз, лекарственно - обусловленные легочные фиброзы, силикозы), что ограничивает диагностическую ценность БАЛ. Эозинофилия БАЛ, как абсолютное число, так и процент эозинофилов, может быть связана с неблагоприятным прогнозом ИЛФ.

При рентгенологическом исследовании легких на ранних этапах

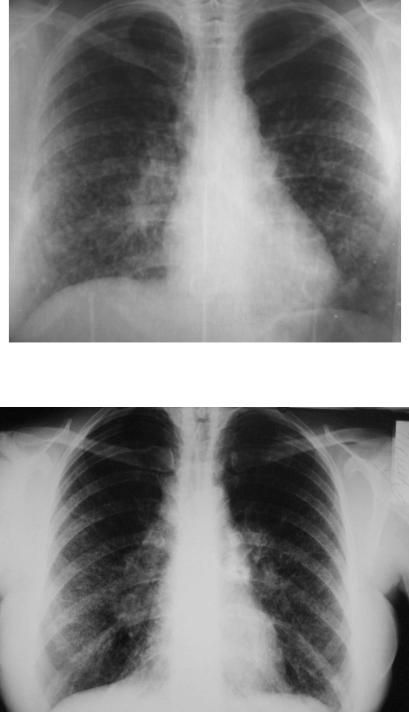
обнаруживается усиление легочного рисунка за счет интерстициального компонента. Эти изменения чаще ло кализуются на периферии базальных отделов легких. По мере прогрессирования заболе вания интерстициальные изменения становятся все более выраженными, распрост раняясь без четкой границы в апикальном и центральном направлениях. Появление на рентгенограммах небольших участков просветления свидетельствует об образовании кистозных полостей. На заключительных этапах болезни при рентгенологическом исследовании выявляются просветления (кисты) размером до 1 см в диаметре - переход в ячеистое легкое. Изменения в паренхиме легких сопровождаются значительным ограничением подвижности куполов диафрагмы и высоким их стоянием, что некоторыми авторами считается одним из характерных (но не патогномоничных) рент - генологических признаков ИЛФ (рис. 6-2, 6-3).

Локализация поражений может быть самой различной: в нижних легочных полях, в средних, иногда в верхних участках легких. У большинства больных поражение легких симметричное.

614

Рис. 6-2. Типичная рентгенографическая картина ИЛФ. Двусторонние изменения в нижних отделах легких.

Рис. 6-3. Типичная рентгенологическая картина ИФЛ: двустороннее поражение, признаки легочной гипертензии.

КТВР (компьютерная томография высокого разрешения).

Более ценную информацию можно получить при помощи КТВР (high - resolution computed tomography). Характерными находками при КТ ВР являются нерегулярные линейные тени, кистозные просветления, фокальные очаги снижения прозрачности легочных полей по типу "матового стекла" (не более 30% от общей площади легких), утолщение и иррегулярность бронхиальных стенок. Кроме того, в областях с наиболее выраженными изменениями часто выявляют признаки дезорганизации легочной паренхимы

итракционные бронхоэктазы. Наибольшие изменения выявляют в базальных

исубплевральных отделах легких. КТВР-паттерн и распределение

615