Материал: Внутренние болезни., Князева Л. И, Князева Л. А, Горяйнов И.И

Внимание! Если размещение файла нарушает Ваши авторские права, то обязательно сообщите нам

имеющихся или предполагаемых побочных явлений (уровень доказательности D).

Хирургические вмешательства:

артроскопическая синовэктомия,

артропластика тазобедренных суставов,

протезирование тазобедренных суставов (тяжелые стойкие боли или выраженные нарушения функции).

Прогностически неблагоприятные факторы АС:

поражение тазобедренного сустава и ранний шейный кифоз;

«сосискообразное» поражение пальцев;

низкая эффективность НПВП;

СОЭ 30 мм/ч;

раннее ограничение подвижности в позвоночнике;

стойкий полиартрит;

начало заболевания в возрасте моложе 16 лет.

101

ГЛАВА 7. ОСТРАЯ РЕВМАТИЧЕСКАЯ ЛИХОРАДКА. ХРОНИЧЕСКАЯ РЕВМАТИЧЕСКАЯ БОЛЕЗНЬ СЕРДЦА

Острая ревматическая лихорадка – постинфекционное осложнение стрептококкового тонзиллита (ангины) илифарингита, вызванного β- гемолитическим стрептококком группы А (БГСА), в виде системного воспалительного заболевания соединительной ткани с преимущественной локализацией в сердечно -сосудистой системе (ревмокардит), суставах (мигрирующий полиартрит), мозге (хорея) и коже (кольцевидная эритема, ревматические узелки), развивающееся у предрасположенных лиц (главным образом, молодого возраста, от 7-15 лет) в связи с аутоиммунным ответом организма на антигены стрептококка и перекрѐстной реактивностью со схожими аутоантигенами поражаемых тканей человека (феномен молекулярной мимикрии).

Хроническая ревматическая болезнь сердца - заболевание,

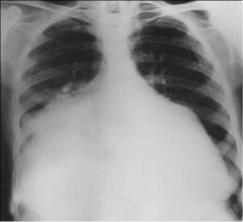
характеризующееся поражением сердечных клапанов в виде поствоспалительного краевого фиброза клап анных створок или порока сердца (недостаточность и/или стеноз), сформировавшихся после перенесѐнной острой ревматической лихорадки (рис.7-1).

Рис. 7-1. Митрально-аортальный порок сердца (кардиомегалия).

Эпидемиология.

Частота впервые выявленной хронической ревматической болезни сердца - 0,01/1000 (в том числе, ревматических пороков сердца (РПС) - 0,08/1000); распространѐнность - 0,34-0,58/1000 у детей и подростков, и 2,08/1000 – среди взрослого населения. Преимущественный возраст ОРЛ – 7-15 лет (реже – у молодых людей до 23 лет).

Первичная профилактика.

Основа первичной профилактики — антимикробная терапия острой и хронической рецидивирующей БГСА-инфекции верхних дыхательных путей (тонзиллит и фарингит).

Антимикробная терапия острого бгса-тонзиллита/фарингита.

Лекарственные средства первого ряда – β-лактамные антибиотики:

Бензатина бензилпенициллин в/м однократно:

102

-взрослым – 2,4 млн ЕД;

-детям с массой тела <25 кг – 600 000 ЕД

-детям с массой тела >25 кг – 1,2 млн ЕД.

Бензатина бензилпенициллин в/м целесообразно назначать при:

-сомнительной комплаентности (исполнительности) пациента в отношении перорального приѐма антибиотиков;

-наличии ОРЛ в анамнезе у больного или ближайших

родственников;

-неблагоприятных социально-бытовых условиях;

-вспышках БГСА-инфекции в детских дошкольных учреждениях,

школах, интернатах, училищах, воинских частях и т.п.

• Амоксициллин внутрь в течение 10 дней:

-взрослым по 0,5 г 3 раза в сутки

-детям по 0,25 г 3 раза в сутки.

• Феноксиметилпенициллин внутрь за 1 ч до еды в течение 10 дней:

-взрослым по 0,5 г 3 раза в сутки

-детям с массой тела до 25 кг – по 0,125 г 3 раза в сутки

-детям с массой тела >25 кг – по 0,25 г 3 раза в сутки.

Феноксиметилпенициллин, учитывая наличие лекарственной формы в виде суспензии, рекомендуется преимущественно детям раннего возраста.

Альтернативные ЛС(при непереносимости β-лактамных антибиотиков):

• Азитромицин внутрь за 1 ч до еды в течение 5 дней - взрослым 0,5 г однократно в 1-е сутки, затем по 0,25 г в сутки в

течение последующих 4 дней - детям 12 мг/кг/сут в 1 приѐм.

• Кларитромицин внутрь в течение 10 дней - взрослым по 0,25 г 2 раза в сутки - детям 15 мг/кг/сут в 2 приѐма.

• Мидекамицин внутрь за 1 ч до еды в течение 10 дней - взрослым по 0,4 г 3 раза в сутки - детям 50 мг/кг/сут в 3 приѐма.

• Рокситромицин внутрь за 1 ч до еды в течение 10 дней - взрослым 0,15 г 2 раза в сутки - детям 5 мг/кг/сут в 2 приѐма.

• Спирамицин внутрь в течение 10 дней - взрослым 3 млн ME 2 раза в сутки

- детям 1,5 млн ME 2 раза в сутки.

• Эритромицин внутрь за 1 ч до еды в течение 10 дней - взрослым по 0,5 г 3 раза в сутки - детям 40 мг/кг/сут в 3 приѐма.

Для эритромицина характерно наиболее частое, по сравнению с другими макролидами, развитие побочных реакций, особенно со стороны ЖКТ.

Препараты резерва (при непереносимости β-лактамов и макролидов).

103

• Линкомицин внутрь за 1 -2 ч до еды в течение 10 дней

-взрослым по 0,5 г 3 раза в день

-детям 30 мг/кг/сут в 3 приѐма.

• Клиндамицин внутрь (запивать стаканом воды) в течение 10 дней

-взрослым по 0,15 г 4 раза в день

-детям 20 мг/кг/сут в 3 приѐма.

Антимикробная терапия хронического рецидивирующего бгсатонзиллита/фарингита.

Лекарственные средства первого ряда.

Амоксициллин/клавулановая кислота внутрь в течение 10 дней

- взрослым 0,625 г 3 раза в сутки - детям 40 мг/кг/сут в 3 приѐма.

Цефуроксим внутрь (сразу после еды) в течение 10 дней

-взрослым по 0,25 г 2 раза в сутки

-детям 20 мг/кг/сут в 2 приѐма.

Препараты резерва

(при

непереносимости

β-лактамных

антибиотиков).

Линкомицин внутрь за 1-2 ч до еды в течение 10 дней - взрослым по 0,5 г 3 раза в день - детям 30 мг/кг/сут в 3 приѐма.

Клиндамицин внутрь (запивать стаканом воды) в течение 10 дней

-взрослым по 0,15 г 4 раза в день

-детям 20 мг/кг/сут в 3 приѐма.

Вторичная профилактика.

Пациенты, перенесшие острую ревматическую лихорадку.

Цель — предупреждение повторных атак и прогрессирования

заболевания у лиц, перенесших ОРЛ. Вторичную профилактику начинают ещѐ в стационаре сразу после окончания этиотропной антистрептококковой терапии.

• Бензатина бензилпенициллин — основное ЛС, применяемое для вторичной профилактики ОРЛ - в/м 1 раз в 3 нед

-взрослым и подросткам – 2,4 млн ЕД

-детям при массе тела <25 кг – 600 000 ЕД

-детям при массе тела >25 кг – 1,2 млн ЕД.

Длительность вторичной профилактики для каждого пациента устанавливается индивидуально. Как правило, она должна составлять:

- для больных, перенесших ОРЛ без кардита (артрит, хорея), - не менее 5 лет после атаки или до 18-летнего возраста (по принципу «что дольше»);

- для больных с излеченным кардитом без порока сердца – не менее 10 лет после атаки или до 25-летнего возраста (по принципу «что дольше»);

- для больных со сформированным пороком сердца (в т.ч. оперированным) – пожизненно.

104

Наиболее эффективной лекарственной формой бензатина бензилпенициллина является экстенциллин.

Пациенты с ревматическими пороками сердца.

В соответствии с данными экспертов Американской кардиологической ассоциации все больные с РПС входят в категорию умеренного риска развития инфекционного эндокардита. Необходимо профилактическое назначение антибиотиков.

При манипуляциях на полости рта, пищеводе, дыхательных путях:

Стандартная схема:

-взрослым внутрь за 1 ч до процедуры амоксициллин 2 г

-детям до 12 лет внутрь за 1 ч до процедуры амоксициллин 50 мг/кг.

При невозможности приѐма внутрь:

-взрослым в/в или в/м за 30 мин до процедуры ампициллин 2 г

-детям до 12 лет в/в или в/м за 30 мин до процедуры ампициллин 50

мг/кг.

При аллергии к пенициллину:

-взрослым внутрь за 1 ч до процедуры клиндамицин 600 мг, или цефалексин 2 г, или цефадроксил 2 г, или азитромицин 500 мг, или

кларитромицин 500 мг - детям до 12 лет внутрь за 1 ч до процедуры клиндамицин 20 мг/кг,

или цефалексин 50 мг/кг, или цефадроксил 50 мг/кг, или азитромицин 15 мг/кг, или кларитромицин 15 мг/кг.

При аллергии к пенициллину и невозможности приѐма внутрь :

-взрослым за 30 мин до процедуры клиндамицин в/в 600 мг или цефазолин в/м или в/в 1 г

-детям до 12 лет за 30 мин до процедуры клиндамицин в/в 20 мг/кг или цефазолин в/м или в/в 25 мг/кг.

При манипуляциях на желудочно-кишечном или урогенитальном трактах:

Стандартная схема :

-взрослым амоксициллин 2 г внутрь за 1 ч до процедуры или ампициллин 2 г в/м или в/в за 30 мин до процедуры

-детям до 12 лет: амоксициллин 50 мг/кг внутрь за 1 ч до процедуры или ампициллин 50 мг/кг в/м или в/в за 30 мин до процедуры.

При аллергии к пенициллину:

-взрослым ванкомицин 1 г в/в в течение 1-2 ч, введение закончить за 30 мин до процедуры

-детям до 12 лет ванкомицин 20 мг/кг в/в в течение 1-2 ч, введение

закончить за 30 мин до процедуры.

Классификация.

I. Клинические формы: острая ревматическая лихорадка, повторная ревматическая лихорадка.

II. Клинические проявления.

А. Основные: кардит, артрит, хорея, кольцевидная эритема, ревматические узелки.

105