Материал: Учебное пособие Перитонит

Внимание! Если размещение файла нарушает Ваши авторские права, то обязательно сообщите нам

Оценка тяжести перитонита

31

 

 

 

Таблица 13

Клиническая характеристика абдоминального сепсиса в зависимости от тяжести системной воспалительной реакции [Гельфанд Е. Б., 1999]

Клинический

Тяжесть состояния, баллы

 

 

синдром

 

 

 

 

APACHE II

SAPS

MODS

SOFA

 

SIRS3

9,3 ± 3,3

5,4 ± 1,5

4,3 ± 0,4

3,4 ± 0,6

 

 

 

 

 

SIRS4

13,6 ± 2,8

8,9 ± 1,7

6,3 ± 1,2

6,7 ± 1,3

 

 

 

 

 

Сепсис

18,4 ± 2,1

13,2 ± 1,4

9,1 ± 1,6

8,9 ± 1,2

 

 

 

 

 

Септический шок (ИТШ)

21,5 ± 2,5

17,6 ± 1,3

8,7 ± 1,9

8,2 ± 1,1

 

 

 

 

 

*p < 0,05

Влитературе нет однозначных выводов о том, какая система является более эффективной и точной. Согласно имеющимся литературным данным, наиболее информативными для оценки тяжести состояния пациентов с абдоминальным сепсисом можно считать шкалы APACHE II, SIRS, SAPS, SOFA и MODS, а также эффективную концентрацию альбумина (ЭКА).

Примером использования индекса тяжести APACHE II при сравнительной оценке выживаемости больных с сепсисом является, например, исследования В. А. Руднова и соавт. (2004). Определяя показания к назначению активированного протеина С (АПС) при тяжелом сепсисе и септическом шоке в зависимости от исходного значения показателя тяжести состояния по шкале APACHE II, авторы доказали, что включение в схему терапии абдоминального

ипневмогенного сепсиса АПС, сопровождается повышением выживаемости за счет быстрого купирования системного воспаления

ипрерывания прогрессирования органовоспалительной недостаточности. Максимальный эффект препарата проявляется у пациентов с общим индексом тяжести состояния APACHE II более 20 баллов и в начале терапии в сроке до 48 ч с момента развития полиорганной недостаточности (табл. 14).

Сравнить отечественные и зарубежные системы оценки состояния больных сложно в связи с тем, что первые применяются

Таблица 14

Сравнительная оценка (в %) выживаемости в различных диапазонах индекса тяжести APACHE II при сепсисе [Руднов В. А. и др., 2004]

Диапазон индекса тяжести

Выживаемость без

Выживаемость

APACHE II, балл

использования АПС

с АПС

 

 

 

11–20

62,6

80

 

 

 

21–30

13,2

78,6

32

Глава 3

 

 

в основном в тех лечебных учреждениях, где работают сами авторы. Отдельными авторами делается вывод, что все многоступенчатые системы, несмотря на количество входящих в них параметров, по таким критериям, как чувствительность, специфичность, общая корректность, находятся приблизительно на одном уровне и могут быть использованы в клинических условиях с одинаковой эффективностью.

До сих пор в литературе активно обсуждается вопрос о целесообразности применения и создания новых шкал для оценки прогноза перитонита, эндогенной интоксикации и сепсиса. По нашему мнению, новые, более точные системы и шкалы, которые несомненно появятся в будущем, не смогут заменить принятие индивидуальных решений специалиста, а лишь помогут ему находить эти решения.

Таким образом, диагностику органных расстройств и их тяжесть целесообразно выполнять по шкалам SOFA, MODS и СПС, имеющих высокую информационную ценность при минимуме составляющих клинико-лабораторных параметров.

Группа пациентов с сепсисом отличается своей гетерогенностью по возрасту, характеру сопутствующей патологии, а также тяжести гомеостатических нарушений. В этой связи совокупная оценка тяжести состояния больного может выполняться по шкале APACHE-II или SAPS.

Диагностика перитонита

ГЛАВА 4

Диагностика перитонита в большинстве случаев не представляет сложностей. Клиническая картина зависит от причины перитонита, степени его распространенности и стадии течения.

Все симптомы, наблюдаемые при перитоните, можно разделить на местные и общие. Местные симптомы возникают в ответ на раздражение брюшины экссудатом, желчью, желудочным содержимым. К ним относят боль в животе, напряжение мышц передней брюшной стенки, а также положительные симптомы раздражения брюшины, которые удается выявить врачу при осмотре. Общие симптомы развиваются на фоне интоксикации организма. Это такие неспецифические симптомы, как повышение температуры, слабость, тахикардия, тошнота, рвота, спутанность сознания.

Кроме того, у больного отмечаются не только признаки воспаления брюшины, но и симптомы основного заболевания, спровоцировавшего перитонит.

Клинические симптомы перитонита:

•• локальная (при местном перитоните) или разлитая (при распространенном) боль в животе;

•• рвота желудочным содержимым;

•• напряжение и болезненность мышц передней брюшной стенки;

•• ослабление или отсутствие перистальтики;

•• тахикардия;

•• гипотония;

•• обезвоживание (клинически проявляется сухостью кожи и слизистых оболочек, олигурией).

Наиболее ранним и постоянным симптомом перитонита являются боли в животе, характер которых зависит от источника перитонита и степени распространенности патологического процесса. При перфорации полого органа боли возникают внезапно,

34

Глава 4

 

 

при развитии деструктивного воспалительного процесса характерно постепенное усиление боли. Локализация болей также зависит от источника перитонита, но следует отметить быстрое распространение болей по всему животу. Часто боли сопровождаются тошнотой, рвотой желудочным, а в поздних стадиях — кишечным​ содержимым.

При осмотре живота обращает на себя внимание неподвижность брюшной стенки, которая не участвует в акте дыхания. При пальпации определяется главный симптом перитонита — защит​- ное напряжение мышц передней брюшной стенки — «сверхпри​- знак всех абдоминальных катастроф» по Г. Мондору. Также определяется болезненность при пальпации живота, которая может быть более выражена в проекции источника перитонита. Другие симптомы раздражения брюшины включают симптом БлюмбергаЩеткина, Раздольского и т. д. (рис. 1).

По мере прогрессирования патологического процесса, выраженность местных симптомов может уменьшаться и на первый план выходят признаки общей интоксикации, дегидратации и SIRS.

Для уточнения диагноза и дооперационной диагностики причины перитонита используют дополнительные инструментальные методы исследования.

При обзорной рентгенографии брюшной полости можно выявить свободный газ при перфорации полого органа (рис. 2), уровни жидкости и расширенные петли кишки при непроходимости (как механической, которая может явиться причиной перитонита, так

Рис. 1. Выявление симптома Блюмберга-Щеткина: 1  —  первый​ этап  —  постепенное​ надавливание пальцами на переднюю брюшную стенку; 2  —  резкий​ отрыв руки от живота

Диагностика перитонита

35

 

 

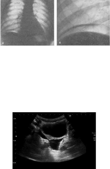
Рис. 2. Пневмоперитонеум. Газ под правым куполом диафрагмы

и паралитической — признаком​ синдрома кишечной недостаточности, развившемся вследствие перитонита).

Современное ультразвуковое исследование способно выявить как признаки самого перитонита, так и заболевания, явившегося его источником (рис. 3). Признаками перитонита является наличие свободной жидкости в брюшной полости, для уточнения характера которой выполняют пункцию ее под контролем УЗИ, наличие в пунктате гноя, фибрина, кишечного содержимого делает диагноз очевидным. Другим ультразвуковым признаком перитонита может быть визуализация расширенных, вяло или вовсе не перистальтирующих петель тонкой кишки, что свидетельствует о синдроме кишечной недостаточности.

Рис. 3. На УЗИ визуализируется жидкость в брюшной полости (более 2 л)