Материал: Пат. анатомия боевых поражений_2002

Внимание! Если размещение файла нарушает Ваши авторские права, то обязательно сообщите нам

а

 

б

 

 

 

 

 

 

Рис. 23. Перифокальный васкулит при развитии гнойной инфекции в ог- нестрельной ране (окраска азуром II и эозином, × 150): а гнойный васкулит с явлениями начинающейся парараневой флегмоны кожи, 18-е сутки после ране- ния; б гнойный тромбоваскулит грануляционной ткани в огнестрельной ране, 10-е сутки после ранения

Характер тканевой реакции в очаге гнойного воспаления несет на себе отпечаток видовых особенностей возбудителей.

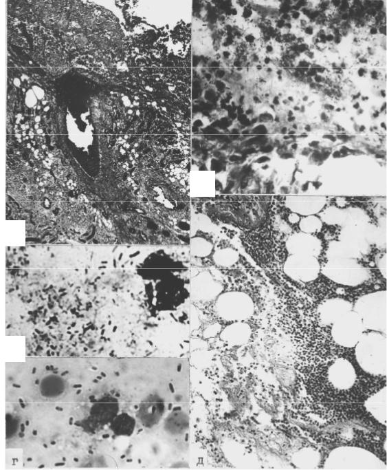
Так, золотистый стафилококк вызывает преимущественно гнойно- некротический тип тканевых изменений с образованием вокруг скоплений мик- робов зоны некроза, распространяющейся на клеточные элементы воспалитель- ного инфильтрата (рис. 24, а, б, в). Отмечается наклонность к переходу инфек- ционно-воспалительного процесса на сосуды с развитием гнойного тромбова-

скулита и к его распространению вдоль соединительнотканных фасциальных структур (рис 24, г).

Ржавая псевдомонада (синегнойная палочка) вызывает тканевую реак-

цию гнойно-геморрагического вида (рис. 25, а, б), а энтеробактер преиму- щественно отечно-гнойного (рис. 25, в, г, д).

Своеобразные отечно-гнойные тканевые реакции могут вызывать также

протей, кишечная палочка, другие грамотрицательные палочки, а также эпидермальный стафилококк /10, 13, 98/.

Весьма специфичные тканевые изменения отличают также нагноитель- ные процессы, вызываемые зеленящим стрептококком. Они характеризуются

36

наклонностью к флегмонозному воспалению и гнойному лимфангиту, а также могут вызывать раневую рожу серозный, гнойный или некротический дер- матит, распространяющийся вокруг ран /44/. Поэтому рассматривать гнойное воспаление как неспецифическое можно лишь весьма условно.

а

 

б

 

 

 

в

 

г

 

 

 

Рис. 24. Стафилококковая гнойная раневая инфекция (окраска азуром II и эозином а, б, по Граму в, по Граму-Вейгерту г): а очаг инфекции Staphylococcus aureus в ране с диапедезными кровоизлияниями и распростра- нением гнойно-деструктивного процесса в глубину тканей (× 75); б некроз

лейкоцитов воспалительного инфильтрата вблизи скоплений стафилококков (× 300); в скопления стафилококков среди лейкоцитов в мазке-отпечатке той же раны (× 1000); г распространение инфекционно-воспалительного процесса по соединительнотканным прослойкам вдоль сосудов в глубину тка- ней (× 75)

37

в

а

б

г

 

д

 

 

 

 

 

 

Рис. 25. Синегнойная и энтеробактериальная гнойные раневые инфекции (окраска гематоксилином и эозином а, д, азуром II и эозином б, в, г): а очаг синегнойной инфекции с явлениями гнойного тромбоваскулита и распро- страненным некрозом в гранулирующей ране (× 100); б скопления грамот- рицательных палочек Pseudomonas aeruginosa (синегнойной палочки) в мазке отпечатке из той же раны (×1000); в очаг энтеробактериальной инфекции в ране со скоплением лейкоцитов вокруг некроза с прорастающими его коли- формными микробами (палочками) (× 400); г грамотрицательные палочки (энтеробактерии) в мазке-отпечатке из той же раны (× 1000); д парафасци-

альное распространение воспалительного процесса при энтеробактериальной инфекции в глубину тканей (× 200)

38

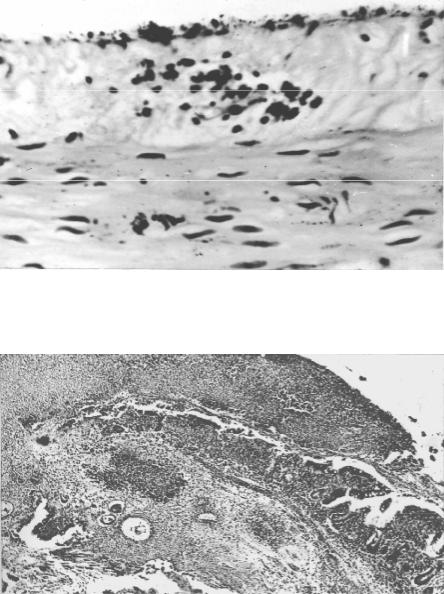
На развитие и характер проявлений гнойной инфекции существенное влияние оказывают местные анатомо-топографические и органные особенно- сти. Таковы, например, раневые гнойные менингиты, вентрикулиты и абсцессы головного мозга, раневые гнойные артриты и остеомиелиты, а также раневой перитонит и другие процессы. Раневой перитонит при повреждениях кишечни- ка приобретает характер разлитого «калового» с быстрым нарастанием сероз- ного и серозно-геморрагического экссудативного воспаления (рис. 26).

Рис. 26. Острый раневой перитонит, реактивная фаза; набухание и деск-

вамация мезотелия в месте отложения ино- родных частиц на сероз- ной оболочке; отек под- лежащей соединитель- ной ткани и периваску- лярная лимфо- макрофаго-цитарная ин- фильтрация; 0,5 ч после ранения (окраска азуром II и эозином, × 300)

Последующее перерастание воспаления в гнойное и фибринозно-гнойное со- провождается развитием паралитической кишечной непроходимости и очаго- вым переходом нагноительного процесса на стенку кишóк (рис. 27).

Рис. 27. Фибринозно-

гнойный перитонит с распространением гной-

ного воспаления на стенку подвздошной кишки; гнойный тром- боваскулит и фибриноз- но-гнойный язвенный энтерит; 16-е сутки по- сле ранения (окраска азуром II и эозином, × 100)

Острота реактивной фазы раневого перитонита объясняется механиче-

ским раздражением и интенсивным загрязнением брюшины содержимым кишóк. Поэтому первоочередной задачей в организации медицинской помощи

раненным в живот является возможно более быстрая их эвакуация с поля боя на этап оказания квалифицированной хирургической помощи. Оптимальным сро- ком проведения операции считают не более 6 — 12 ч после ранения.

39

1.3.1.2. О б щ а я г н о й н а я р а н е в а я и н ф е к ц и я (р а н е в о й с е п с и с)

Сепсис общая, генерализованная форма гематогенной инфекции, ха- рактеризуется развитием диссеминированного гнойного тромбоваскулита (сеп- тического васкулита), ведущего к образованию абсцессов (гнойных метастазов) разной локализации. Сепсис в период Великой Отечественной войны 1941-1945 гг. служил одной из наиболее частых непосредственных причин смерти ране- ных на госпитальных этапах медицинской эвакуации (20,1 %) и сохраняет свое значение в современных войнах и вооруженных конфликтах /63/. Клинически развитие сепсиса проявляется ухудшением общего состояния раненого и нарас- танием тяжести инфекционно-воспалительного эндотоксикоза с характерной лихорадкой гектического типа, которая обычно сопровождается бактериемией. Часто отмечают также признаки гемолитической желтухи и явления геморраги- ческого синдрома с кровоизлияниями в коже и слизистых оболочках, которые объясняют тяжелым эндотоксикозом и септическим васкулитом.

Сепсис клинически может протекать без видимых гнойных метастазов

в виде септицемии; с гнойными метастазами разной локализации в виде

септикопиемии.

Однако, как показывают патоморфологические исследования А. Н. Чис- товича, его учеников и последователей (А. К. Агеева, А. А. Балябина, В. М. Шипилова и др.), при септицемии постоянно обнаруживают гистологические признаки гнойного тромбоваскулита с появлением микроабсцессов. Поэтому

септицемию и септикопиемию целесообразно рассматривать не как особые клинико-анатомические формы сепсиса, а как его последовательные стадии.

Клинико-анатомически различают следующие формы раневого сепсиса: Острейший сепсис характеризуется развитием септицемии с явления-

ми септического коллапса (септического шока) и быстрым переходом в терми- нальное состояние по сердечному типу.

Острый сепсис характеризуется развитием септицемии с переходом в септикопиемию, что проявляется образованием гнойных метастазов разной ло- кализации. Сопровождается нарастающими явлениями инфекционно-воспали- тельного эндотоксикоза, которые также могут завершаться возникновением септического коллапса.

Подострый сепсис характеризуется затянувшимся течением септико- пиемии с гнойными метастазами разной локализации. Клинически может про- являться преимущественно симптомами септической пневмонии (инфаркт- пневмонии), бактериального эндокардита, абсцесса головного мозга или гной- ных метастатических поражений иной локализации. Сопровождается выражен- ными явлениями инфекционно-воспалительного эндотоксикоза с усилением признаков раневого истощения и прогрессирующими дистрофическими изме- нениями внутренних органов.

40