Материал: Пат. анатомия боевых поражений_2002

Внимание! Если размещение файла нарушает Ваши авторские права, то обязательно сообщите нам

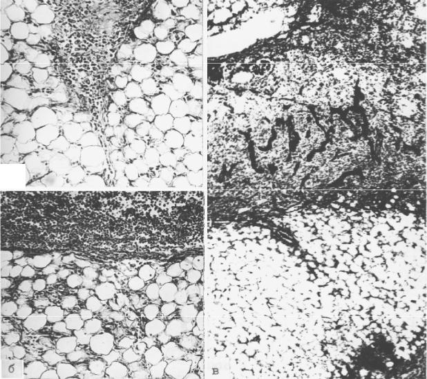
а

б

 

в

 

 

 

Рис. 18. Репаративная регенерация в ранах (окраска гематоксилином и эо- зином): а организация некроза в ране после первичной хирургической обра- ботки с ее заживлением первичным натяжением, 7-е сутки (× 100); б началь- ные признаки образования грануляционной ткани в жировой клетчатке под де- маркационным лейкоцитарным валом при развитии нагноения раны, 7-е сутки (× 100); в сформированная грануляционная ткань отграничивает зону гной- ного расплавления некротизированных тканей при заживлении раны вторич- ным натяжением, 25-е сутки (× 75)

При рассмотрении раневого процесса в его развитии принято выделять три основных периода, хотя между ними невозможно определить четкие мор- фологические и временные границы /3/.

1.2.3.1. П е р в ы й п е р и о д р а н е в о г о п р о ц е с с а

Первый период раневого процесса характеризуется развитием в ране нек- ротических и воспалительных изменений. При этом некроз тканей по своему ме- ханизму может быть как первичным (травматическим), так и вторичным, возни-

кающим в связи с местными расстройствами кровообращения и нарушениями

26

метаболизма. Одновременно включаются также механизмы воспаления как сложной тканевой реакции на повреждение. Ведущую роль в формировании ее триггерного механизма отводят разрушению и дегрануляции тучных клеток, что сопровождается активацией медиаторов воспаления (гистамина, серотонина, брадикинина и др.) и лизосомальных ферментов. В частности этим во многом объясняется развитие травматического отека тканей вокруг раны. Большое зна- чение может иметь также антигенное раздражение, связанное с микробным за- грязнением и инфицированием раны, что является при огнестрельных ранениях постоянным и закономерным. Это находит свое морфологическое выражение в нарастании периваскулярной лимфоцитарной инфильтрации (рис. 19).

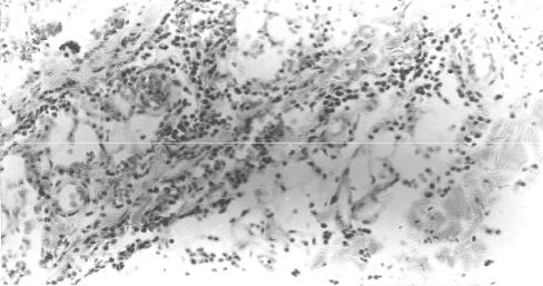
Рис. 19. Отек тканей и лимфоцитарная периваскулярная инфильтрация в

стенке раневого канала с характерным ее распространением по ходу прослоек волокнистой соединительной ткани, 3-и сутки после ранения (окраска азуром II и эозином, × 150)

При нарастании остроты воспалительной реакции усиливается инфильт- рация полиморфноядерными лейкоцитами с преобладанием нейтрофилов, что отражает состояние неустойчивого равновесия между макро- и микроорганиз- мом, нарушение которого ведет к развитию раневых инфекционных осложне- ний. Концентрация микробов при нагноении составляет около 1 млн в 1 г ткани или в 1 мл отделяемого из ран /69/. Возникновение раневых инфекционных ос-

ложнений характеризуется нарастанием признаков экссудативного воспаления в краях раны, которое обычно приобретает гнойный характер. Это является вы- ражением несостоятельности механизмов заживления раны первичным натяже- нием. Прорастающие микробами ткани и свертки крови в инфицированной ра- не начинают восприниматься иммунной системой как антигенно чуждые. За-

пускаются механизмы их отторжения посредством воспалительной демаркации и секвестрации с образованием гнойного отделяемого. В результате раневой

27

процесс задерживается в первом периоде и заканчивается только с завершением вторичного очищения раны. Периваскулярная инфильтрация в тканях вокруг очагов гнойного воспаления приобретает продуктивный характер, что проявля- ется нарастанием пролиферативной активности эндотелиальных клеток микро- сосудов и перицитов. С участием лимфоцитов и макрофагов они образуют своеобразные муфты вокруг формирующегося сплетения тонкостенных сосу- дов грануляционной ткани (рис. 20, а). В ней накапливаются иммунокомпе- тентные клетки с признаками антигенной стимуляции (рис. 20, б).

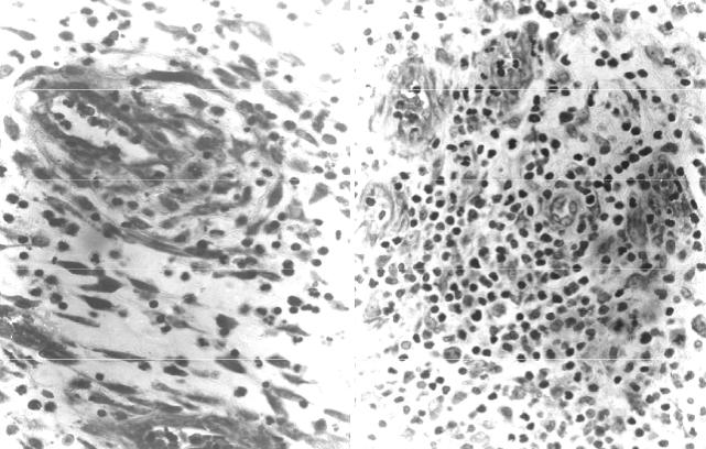
а

 

б

 

 

 

Рис. 20. Формирование грануляционной ткани в огнестрельной ране (ок- раска азуром II и эозином, × 200): а пролиферация перицитов с образовани- ем, при участии лимфоцитов и макрофагов, периваскулярной муфты, 7-е сутки после ранения; б полиморфный клеточный состав грануляционной ткани, явления бласттрансформации лимфоцитов в их скоплениях вокруг тонкостен- ных сосудов с набухшим эндотелием, 10-е сутки после ранения

При иммунолюминесцентном исследовании грануляционной ткани в ней выявляется агрегация цитолеммальных рецепторов T-лимфоцитов хелперов и супрессоров-киллеров с образованием феномена «кеппинга», а также продук- ция иммуноглобулинов B-клетками с появлением неклеточных отложений им- муноглобулина в очагах воспаления (рис. 21). Это отражает участие грануляци-

онной ткани в осуществлении местных иммунных реакций и дает основание рассматривать ее так же, как своеобразный временный эффекторно-рецептор- ный периферический орган иммунной системы.

28

Рис. 21. Клеточные и гуморальные иммунные реакции в грануляционной ткани, 14-е сутки после ранения (иммунолюминесцентные исследования с ис- пользованием антител диагностикумов, меченых флюорохромом, × 700): а

проявления активации лимфоцитов T-хелперов (Th) и б T-супрессоров / киллеров (Ts) с агрегацией их цитолеммальных рецепторов и «кеппингом», не- прямая реакция Кунса; в B-лимфоциты IgG-продуценты и внеклеточные отложения иммуноглобулина G в очаге вторичного гнойного расплавления гра- нуляционной ткани, прямая реакция Кунса

1.2.3.2. В т о р о й п е р и о д р а н е в о г о п р о ц е с с а

Второй период раневого процесса характеризуется преобладанием процес- сов регенерации тканей. В клиническом плане он представляется особенно важ- ным, поскольку выражает сущность раневого процесса, направленного на зажив- ление раны. При заживлении первичным натяжением этот период начинается от- носительно рано, вслед за стиханием первичного травматического отека. Морфо- логически он характеризуется преобладанием процессов организации с образова- нием в области раны относительно небольшого количества богатой сосудами но- вообразованной грануляционной ткани и достижением в итоге относительно пол- ного заживления раны. При нагноении переход раневого процесса во второй пе-

29

риод может отодвигаться на недели и даже месяцы. Принципиальным моментом в определении этого периода следует считать достижение вторичного очищения ра- ны, что проявляется снижением количества гнойного отделяемого и появлением в краях ран хорошо развитой «цветущей» грануляционной ткани. При гистологиче- ском исследовании в ней обнаруживают ясно выраженную стратификацию.

В соответствии с классическим описанием грануляционной ткани /8/ от поверхности в глубь стенки раневого канала выделяют шесть основных слоев:

1)лейкоцитарно-некротический слой;

2)слой сосудистых петель;

3)слой вертикальных сосудов;

4)слой беспорядочно расположенных фибробластов (созревающий слой);

5)слой горизонтально расположенных фибробластов;

6)фиброзный (рубцовый) слой.

Созревание грануляционной ткани идет по направлению в глубь от раневой поверхности и характеризуется ее трансформацией в рубец из плотной соедини- тельной ткани с преобладанием зрелых коллагеновых волокон. Большое значение в определении характера патологического процесса отводят становлению оптималь- ных морфофункциональных отношений в клеточных кооперациях конкретных гис- тионов /67/. Применительно к грануляционной ткани эти отношения изучены с ис- пользованием методов гистохимии и электронной микроскопии /95, 97/, в том чис- ле при огнестрельных ранениях /40/. По мере затихания воспаления ускоряется трансформация грануляционной ткани в грубоволокнистую соединительную ткань. При этом достигается сближение краев раны с восстановлением целости анатоми- ческих структур за счет образования соединительнотканного рубца. В костной ране идет, соответственно, образование «фиброзной мозоли» /35/.

Второй период завершается закрытием раны с ее эпителизацией проли- ферирующим и наползающим с краев эпидермисом.

1.2.3.3. Т р е т и й п е р и о д р а н е в о г о п р о ц е с с а

Третий период раневого процесса начинается после достижения первичной консолидации поврежденных анатомических структур и характеризуется даль- нейшей перестройкой тканей в области раны. Отражением текущих процессов перестройки являются сохраняющиеся в толще новообразованных соединитель-

нотканных рубцов очаги грануляционной ткани и лейкоцитарных инфильтратов с преобладанием в них лимфоидных элементов и макрофагов (рис. 22). В этом периоде продолжается формирование окончательного грубоволокнистого соеди- нительнотканного рубца с появлением и нарастанием в нем эластических воло- кон, завершается консолидация переломов костей с образованием костной мозо- ли и ее последующей перестройкой, достигается постепенное восстановление нервной проводимости после повреждения нервных стволов и пр.

30