Материал: Пат. анатомия боевых поражений_2002

Внимание! Если размещение файла нарушает Ваши авторские права, то обязательно сообщите нам

У человека время миграции энтероцитов от основания ворсинки до апи- кальной ее части, где происходит слущивание клеток в просвет кишки, занима- ет 3 — 4 суток. Именно это время и определяет сроки развития кишечного син- дрома. Радиорезистентность различных участков желудочно-кишечного тракта неодинакова: наиболее поражаемым является илеоцекальный отдел кишечника. Оголение ворсинок нарушает переваривание и всасывание пита- тельных веществ, приводит к потере организмом жидкости и электролитов. У больных развивается истощающая диарея, которая приводит к выраженной де- гидратации организма. Одновременно продолжает нарастать панцитопения в

связи с опустошением кроветворной ткани костного мозга и лимфоидной ткани селезенки и лимфатических узлов, вилочковой железы.

Возникают проявления геморрагического синдрома и инфекционных ос- ложнений в виде фибринозно-язвенного энтероколита (рис. 92, а, б) и сепсиса.

а

 

б

 

 

 

Рис. 92. Макропрепараты кишок при кишечной форме ОЛБ: а тонкая кишка с фибринозно-геморрагическим энтеритом; б толстая кишка с фибри- нозно-геморрагическим колитом

Анализ причин смерти жертв атомных бомбардировок в Хиросиме и На- гасаки показал, что смерть при явлениях выраженной кишечной формы пре- имущественно наступала на 6 — 9 сутки. Наступление летального исхода при

151

этой форме лучевой болезни можно отсрочить путем введения сбалансирован- ных солевых растворов и лечением антибиотиками широкого спектра действия.

При преимущественном облучении головы и шеи может возникнуть оро- фарингеальный синдром. При этом в слизистых оболочках рта и глотки возни- кают диапедезные кровоизлияния, очаговые некрозы и изъязвления. К 4 — 5 суткам развивается отек мягких тканей неба, а затем десен, твердого неба и языка. К 8 — 12 суткам появляются некротические изменения и изъязвления слизистых оболочек. Орофарингеальный синдром сопровождается также выпа- дением волос на голове и лице.

В дозах до 10 Гр к концу 3-й недели может возникать реэпителизация де- фектов слизистых оболочек. Отмечается выраженное опустошение подчелюст- ных и шейных лимфатических узлов, кроме того, в них могут возникать крово- излияния. При облучении в дозах свыше 10 Гр к 4 — 8 дню возникает обшир- ный некроз слизистых оболочек, и на фоне глубокой лейкопении присоединя- ются инфекционные осложнения со стороны ротовой полости, приводящие к развитию сепсиса и летальному исходу.

2.7.1.4. Т о к с е м и ч е с к а я ф о р м а О Л Б

Эта форма является пограничной между кишечной и церебральной с диа- пазоном облучения 51 — 80 Гр. Ее патогенетической основой являются тяже- лые некротические поражения кишечника и выраженные сосудистые расстрой- ства от диапедезных до очаговых кровоизлияний.

Как следствие выраженного эндотоксикоза возникают нарушения функ- ции почек с олигоурией, повышением в крови уровня остаточного азота, моче- вины, креатинина. Эндотоксикоз приводит к развитию выраженной гипотензии.

Присоединяющиеся инфекционные осложнения усиливают тяжесть состояния пораженных, и они погибают на 2 — 4 сутки /43/.

2.7.1.5. Ц е р е б р а л ь н а я ф о р м а О Л Б

Эта форма острой лучевой болезни возникает при дозах облучения от 81 до 100 Гр. При ней возникают крайне тяжелые цереброваскулярные нарушения,

приводящие пострадавших к летальному исходу в сроки от нескольких часов до 2 суток. После облучения возникают явления атаксии и некоординированных движений, а затем наступает коматозное состояние и смерть.

На вскрытии выявляют отек головного мозга, полнокровие сосудов и кровоизлияния, наиболее выраженные в паравентрикулярных отделах головно- го мозга. Наряду с гемодинамическими нарушениями, появляются повреждения синаптических структур и внутриклеточных органелл нейронов. В нервных клетках возникают нарушения медиаторного обмена.

152

2.7.2. Х р о н и ч е с к а я л у ч е в а я б о л е з н ь

Хроническая лучевая болезнь развивается в результате длительного внеш- него облучения организма в дозах, превышающих предельно допустимые (0,001 Гр), действие которых суммируется, достигая 3 — 4 Гр и более. Она может воз-

никнуть также вследствие попадания радиоактивных веществ внутрь организма при условии, если поглощенная суммарная доза будет не менее 2,0 Гр.

Хроническая лучевая болезнь отличается от острой постепенным разви- тием патологических процессов, иным их соотношением, появлением новых морфологических изменений, отсутствием некоторых проявлений, свойствен- ных острой лучевой болезни.

По клиническому течению условно различают 3 стадии хронической лу- чевой болезни.

Для первой стадии характерны явления астеновегетативного синдрома. Больные жалуются на головные боли, дрожание рук, повышенную потливость, неприятные ощущения в области сердца (кардионевроз). В периферической крови лейкоцитоз (нейтрофилез) сменяется лейкопенией, количество эритроци- тов остается либо нормальным, либо несколько пониженным.

Вторая стадия характеризуется более стойким нарушением функции различных систем. Деятельность пищеварительных и половых желез подавлена. Больной худеет. Появляются кровоточивость десен, кровоизлияния в коже, иногда носовые кровотечения. Может присоединяться вторичная инфекция. Количество лейкоцитов, тромбоцитов и эритроцитов в периферической крови снижается до 70 — 50 % нормального уровня.

Третья стадия характеризуется признаками декомпенсации различных органов и систем, прежде всего кроветворной. В периферической крови отмечается резкая лейкопения (лейкоцитов до 0,4 × 109/л — 0,2 × 109/л), ги- перхромная анемия, тромбоцитопения. Явления геморрагического синдрома нарастают. Присоединяются вторичные инфекции (ангина, пневмония, сеп- сис и др.).

2.7.2.1. П а т о л о г и ч е с к а я а н а т о м и я Х Л Б

При внешнем осмотре умерших от хронической лучевой болезни опреде- ляется резкое истощение, наличие кровоизлияний и некрозов в коже и слизи- стых оболочках, выпадение волос, ломкость ногтей.

На высоте и в финале заболевания обнаруживают в основном те же из- менения, что и при острой лучевой болезни (опустошение миелоидного ко- стного мозга, лимфатической ткани селезенки и лимфатических узлов, ге- моррагический синдром, дистрофические изменения), однако отмечается большая степень выраженности атрофических и склеротических процессов, а

153

также наличие проявлений регенерации в костном мозге, селезенке, лимфа- тических узлах.

Костный мозг губчатых костей и эпифизов трубчатых на вскрытии вы- глядит отечным, желто-бурого цвета с очагами кровоизлияний. При ХЛБ, в от- личие от острой лучевой болезни, изменения в костном мозге часто бывают не- однородными. Среди бледно-желтого костного мозга даже невооруженным гла- зом можно отметить наличие участков кроветворения. Гистологически в кост- ном мозге (рис. 93), наряду с участками отечной жировой ткани, отмечают участки миелоидной ткани с различным клеточным составом местами скопления эритробластов и клеток типа мегалобластов. Встречаются также очаги кроветворения с нормальным клеточным составом. Мегакариоцитопоэз отсутствует. Наблюдают распад лейкоцитов и эритроцитов, явления эритрофа- гоцитоза с гемосидерозом, развитие фиброретикулярного костного мозга.

Рис. 93. Микропрепа-

рат костного мозга в 3 стадии ХЛБ:

наряду с участками отечной жировой ткани видны очажки миелоидной ткани с различным клеточ- ным составом, мега- кариоциты отсутст- вуют (окраска гема- токсилином и эози-

ном, × 100)

В селезенке обнаруживают в основном те же изменения, что и при ОЛБ. Иногда выявляют признаки экстрамедуллярного кроветворения на фоне про- грессирующей редукции лимфатических фолликулов. В очагах кроветворения преобладают малодифференцированные клетки, присутствуют плазматические клетки. Распад лимфоцитов и полиморфноядерных лейкоцитов выражен менее резко, чем при острой лучевой болезни, явления эритрофагоцитоза и гемосиде- роза более отчетливы. В финале заболевания селезенка обычно уменьшена.

Гистологически отмечена картина исчезновения лимфоцитов и лимфобластов как фолликулов, так и пульпы.

Лимфатические узлы в начальном периоде заболевания несколько ги- перплазированы. В последующем, до наступления фазы декомпенсации крове- творения, в лимфатических узлах может наблюдаться экстрамедуллярный ге-

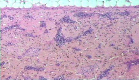
мопоэз с преобладанием малодифференцированных миелоидных клеток и большим количеством плазматических клеток. В финале заболевания лимфати- ческие узлы уменьшаются в размерах, выглядят опустошенными и постепенно склерозируются (рис. 94).

154

Рис. 94. Микропрепа-

рат лимфатического узла при ХЛБ: выра-

женная атрофия лимфоидной ткани с исчезновением лим- фатических фоллику- лов (окраска гематок- силином и эозином,

× 100)

Таким образом, при хронической лучевой болезни происходит процесс постепенного угасания и качественное извращение костномозгового кроветво-

рения и лимфопоэза с развитием в итоге картины опустошения всех органов кроветворения и фиброза кроветворных тканей.

Постоянно наблюдают геморрагический синдром. Однако степень вы- раженности кровоизлияний бывает различной от незначительной до боль- шой. Чаще обнаруживают мелкоочаговые кровоизлияния в коже и слизистых оболочках. Склеротические изменения сосудов являются одной из причин ат- рофии и склероза ряда органов.

Изменения нервной системы при хронической лучевой болезни сводятся в основном к тяжелым дистрофическим процессам в ганглиозных клетках с явле- ниями тигролиза, пикнотизации ядер, нейронофагии. В сердце, помимо дистро- фических изменений кардиомиоцитов, наблюдаются их атрофия, отек и разраста- ние стромы. В легких, наряду с очагами фибринозно-некротической пневмонии, отмечают склероз легочной ткани, метаплазию цилиндрического и кубического эпителия бронхов в многослойный плоский. Могут возникать аденоматозные раз- растания эпителия. В печени при хронической лучевой болезни выявляют дис- комплексацию печеночных балок, зернистую и жировую дистрофию гепатоцитов, полнокровие синусоидов, гемосидероз звездчатых ретикулоэндотелиоцитов и ге- патоцитов. В почках при внешнем облучении преобладают явления белковой и жировой дистрофии нефротелия, кровоизлияния. Почки уменьшаются в размерах, становятся плотными. Гистологически атрофия и частичная гибель эпителия извитых канальцев, запустевание капилляров клубочков и их склероз. В поджелудочной железе наблюдают явления атрофии паренхимы. В слизистой оболочке желудочно-кишечного тракта (особенно при попадании радиоактивных веществ через рот) отмечают эрозии, язвы, кровоизлияния, а также явления перестройки желез (особенно в желудке) с последующей прогрессирующей атрофией слизи- стой оболочки. В подслизистой основе обнаруживают огрубение стромы, атро- фию лимфоидных фолликулов, инфильтрацию плазматическими клетками.

155