Материал: Пат. анатомия боевых поражений_2002

Внимание! Если размещение файла нарушает Ваши авторские права, то обязательно сообщите нам

Вгипофизе атрофия и перестройка железистой ткани, склероз стромы.

Вщитовидной железе вначале обнаруживают пролиферацию клеток эпителия фолликулов, разрастание интерфолликулярной ткани, затем явления атрофии.

Внадпочечниках постепенно снижается содержание липидов в корковом веще- стве и хромаффинных включений в клетках мозгового вещества. В половых железах обнаруживают угнетение сперматогенеза, атрофию фолликулов яичников.

Поражения кожи характеризуются развитием хронического лучевого дерматита с чередованием атрофированных участков эпидермиса с гипертро- фированными, имеющими выраженную наклонность к ороговению. Придатки кожи почти полностью атрофированы. Дерма выглядит гиалинизированной.

Таким образом, хроническая лучевая болезнь представляет собой тяжелое общее заболевание организма с поражением практически всех органов и сис- тем. Больные умирают от проявлений геморрагического синдрома и инфекци- онно-некротических осложнений некротической ангины (рис. 95), очаговых пневмоний, энтероколитов и сепсиса.

Рис. 95. Микропрепа-

рат небной миндалины в 3 стадии ХЛБ: мно-

гослойный плоский эпителий слизистой оболочки на значи-

тельном протяжении десквамирован, в глу- бине миндалины некроз, отсутствие де-

маркационного вала из нейтрофильной лейко- цитарной инфильтра- ции (окраска гематок- силином и эозином,

× 100)

Весьма эффективный метод лечения лучевой болезни трансплантация костного мозга. Под ее влиянием восстановление кроветворения происходит как вследствие приживления пересаженных клеток костного мозга, так и под влия- нием стимуляции кроветворения продуктами распада клеток трансплантата.

2.7.2.2. О т д а л е н н ы е п о с л е д с т в и я д е й с т в и я

н а о р г а н и з м и о н и з и р у ю щ е г о и з л у ч е н и я

В литературе накопилось большое количество наблюдений, свидетельст- вующих о способности лучистой энергии вызывать или стимулировать разви-

тие ряда заболеваний и патологических состояний спустя месяцы и годы после облучения. Описаны следующие отдаленные последствия облучения: склон-

156

ность к развитию гипорегенераторных и апластических анемий с латентным периодом от 4 до 7 лет; нейрососудистый астенический синдром (послеатом- ный невроз); аллергические заболевания (крапивница, экзема, системная крас- ная волчанка, бронхиальная астма); эндокринные заболевания (ожирение, узло- ватый токсический зоб); половые расстройства (дисменоррея, аспермия); отста- вание в развитии организма (в том числе аномалии развития); склонность к ин- фекционным заболеваниям, связанная с ослаблением иммунных реакций; ката- ракта; лучевое поражение костей (остеопороз, остеонекроз, остеолиз); келоид- ные рубцы; лучевые язвы; опухоли; лейкозы /14, 96/.

Наиболее часто развиваются злокачественные опухоли раки щитовид- ной железы, молочных желез.

Лучевая саркома (рис. 96, 97) развивается главным образом в результате попадания в организм различных радиоактивных веществ.

Рис. 96. Макропрепа- рат лучевой остео- саркомы гребня под- вздошной кости, ко-

торая развилась через 4 года после инкор-

порации радия через желудочно-

кишечный тракт

Рис. 97. Гистоаутора-

диограмма лучевой саркомы подвздош- ной кости: опухоле-

вые клетки содержат включения радия, ко-

торые испускают альфа-лучи (видны радиоактивные треки, исходящие из опухо- левых клеток) (фото-

обработка с окраской гематоксилином и эо- зином, × 400)

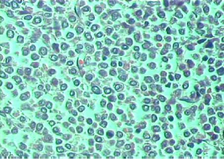
Частота лейкозов (рис. 98) у лиц, перенесших взрыв атомной бомбы, а также у радиологов и лиц, подвергавшихся рентгенотерапии, значительно вы- ше, чем у населения в целом.

157

Рис. 98. Микропрепа-

рат костного мозга бедренной кости при остром лучевом мие- лолейкозе: в костном мозге незрелые

клетки миелоидного ряда (окраска гема- токсилином и эози-

ном, × 400)

Латентный период лучевых лейкозов довольно продолжителен и колеб- лется от 1 года до 5 — 9 и более лет

2.7.3. К о м б и н и р о в а н н ы е р а д и а ц и о н н ы е п о р а ж е н и я

Комбинированные поражения возникают при ядерных взрывах в резуль- тате воздействия двух или трех поражающих факторов: светового излучения, воздушной ударной волны и проникающей радиации.

Различают следующие виды комбинированного радиационного пораже-

ния:

механические или термические повреждения в сочетании с острой формой лучевой болезни, вызванной общим внешним облучением;

механические и термические повреждения в комбинации с лучевой бо- лезнью, развившейся в результате попадания в организм радиоактивных ве- ществ;

раны и ожоги с местным попаданием в них радиоактивных веществ с развитием или без развития лучевой болезни.

Комбинированные радиационные поражения часто осложняются разви- тием раневых инфекций, сепсиса, пневмоний.

158

2.8. П о р а ж е н и

я б о е в ы м и

о т р а в л я ю щ и м и

в е щ е с т в а м и

Боевыми отравляющими веществами (БОВ) называют ядовитые со-

единения, применяющиеся для снаряжения химических боеприпасов и являю- щиеся главными компонентами химического оружия.

Первое применение химического оружия относится к 1913 году, когда в ходе Балканской войны турецкими войсками против болгар применен хлор, из- готовленный на предприятиях Германии.

Входе первой мировой войны германская армия применяла хлор против англо-французских войск. В результате число отравленных составило 15 тыс. человек, из которых 5 тыс. погибли непосредственно на поле боя, а 50 % ос- тавшихся в живых стали инвалидами.

Впоследующем синтезирован иприт (синоним «горчичный газ»), обла- давший общеядовитым и кожно-нарывным действием.

Перед второй мировой войной созданы БОВ нервно-паралитического действия (табун, зарин, зоман, DFP, PF-3), превышающие на несколько поряд- ков по токсичности БОВ первого поколения.

Впослевоенные годы появились такие БОВ, как VX-газы, CS, BZ, CR, применявшиеся американской армией в боевых действиях в Индокитае, Корее, во Вьетнаме.

Несмотря на международные соглашения о запрещении применения и даже уничтожении химического оружия, в ряде государств продолжаются ра- боты по его совершенствованию и накоплению. Кроме того, актуальность этого вида боевой патологии связана также с тем, что в мирное время в результате

природных и антропогенных катастроф нередко возникают внезапные выбросы сильнодействующих и ядовитых веществ (СДЯВ), обладающих свойствами БОВ и вызывающих массовые отравления с гибелью людей.

Горение современных полимерных материалов видоизменяет газовый со- став среды пожара, что приводит к выделению ряда высокотоксичных веществ, таких, как окись углерода (СО), цианистый водород (HCN), хлористый водород, оксиды азота, формальдегид и др.

Смерть пострадавших в очагах горения наступает вследствие сочетанного отравления указанными выше веществами, из которых ведущими токсикантами являются цианистые соединения.

Попадание внутрь организма компонентов зажигательных смесей также может приводить к тяжелым отравлениям. При техногенных катастрофах воз- можно возникновение непрогнозируемых вторичных химических реакций с об- разованием новых СДЯВ. Это имеет место и при пожарах в замкнутых поме- щениях (подводных лодках, ангарах, бомбоубежищах).

159

2.8.1. К л а с с и ф и к а ц и я б о е в ы х о т р а в л я ю щ и х в е щ е с т в

Выделяют следующие пути проникновения БОВ внутрь организма:

1)ингаляционный через органы дыхания;

2)резорбтивный через кожу, слизистые оболочки глаз и верх- них дыхательных путей;

3)пероральный через желудочно-кишечный тракт /7/.

В основе классификации БОВ лежит физиологический принцип с делением по более выраженному действию на организм или по первым клиническим при- знакам поражения. В соответствии с этим существующие БОВ делят на вещества:

нервно-паралитического действия;

кожно-нарывного действия;

общеядовитого действия;

удушающего действия;

психотропного действия;

раздражающего действия;

слезоточивого действия /7/.

Существует также тактическая классификация, подразделяющая БОВ на быстродействующие и замедленного действия, а также на БОВ смертельного действия и временно выводящие из строя.

Имеется еще один вид химического оружия, не входящий в классифика- ции и относящийся к группе биологических токсинов. Он занимает промежу- точное положение между биологическим и химическим оружием. Выделяют 4 вида токсинов: фитотоксины (растительного происхождения); зоотоксины (жи- вотного происхождения); микробные токсины; синтетические токсины /105/.

Основными представителями биологических токсинов являются:

вещество XR (аморфный ботулотоксин типа А);

вещество SEA (стафилококковый энтеротоксин типа А);

вещество PG (стафилококковый энтеротоксин типа В или SEB);

домен А рицина (эндотоксин из бобов клещевины);

токсоформный домен дифтерийного гистотоксина.

При попадании в организм токсины имитируют острые пищевые отрав- ления с периодом скрытого действия от 30 минут до 6 часов. Принципиальное отличие токсинов от ядов небелковой природы их способность при попада- нии в организм человека проявлять антигенные свойства.

Идентификация поражений БОВ только по патологоанатомическим дан- ным не всегда представляется возможной, так как они, как правило, не имеют абсолютных морфологических признаков. Поэтому диагностика БОВ на трупе

проводится с обязательным учетом сведений химической разведки и данных оперативно-тактической обстановки.

160