Материал: Sindromy_po_pulmonologii_dlya_pechati_Adamchika_2016_goda

Внимание! Если размещение файла нарушает Ваши авторские права, то обязательно сообщите нам

кая СОЭ, повышение гематокрита >47% у женщин и 52% у мужчин). Возможно развитие анемии (как результат общего воспалительного синдрома).

Иммунологическое исследование крови: Дополнительное исследование,

которое проводят при неуклонном прогрессировании инфекционного воспалительного процесса в целях выявления признаков иммунной недостаточности.

Цитологический анализ мокроты: Позволяет получить информацию о характере воспалительного процесса и его выраженности, обнаружить атипичные клетки (дифференциальная диагностика с онкологическими заболеваниями). Бактериологическое исследование мокроты проводят при продуктивном кашле для идентификации возбудителя и оценки его чувствительности к антибиотикам.

ЭМФИЗЕМА ЛЕГКИХ Эмфизема легких — это патологический процесс, характеризующийся

расширением альвеол, расположенных дистальнее терминальных бронхиол и сопровождающийся деструктивными изменениями альвеолярных стенок (эластических волокон легочной ткани).

Распространенность эмфиземы легких составляет более чем 4%, а по данным аутопсий она регистрируется у умерших мужчин в 60% и у женщин — в 30% Частота эмфиземы легких значительно увеличивается после 60 лет. Эмфизема легких относится к хроническим обструктивным болезням легких.

По происхождению различают первичную (генуинную или идиопатическую) эмфизему легких, при которой бронхиальная обструкция является осложнением, и вторичную (обструктивную) эмфизему, которая осложняет течение хронического бронхита.

Первичная диффузная эмфизема легких: Этиология:

1.Генетически обусловленный дефицит α1-антитрипсина.

2.Влияние табачного дыма.

3.Воздействие агрессивных факторов внешней среды (среди поллютантов наибольшее значение имеют диоксиды серы и азота, основными генераторами их являются тепловые станции и транспорт. Кроме того, большую роль в развитии эмфиземы легких играют черный дым и озон).

4.Профессиональные вредности, наличие персистирующей или рецидивирующей бронхопульмональной инфекции.

Вторичная эмфизема легких:

Вторичная эмфизема легких может быть очаговой или диффузной.

Выделяют следующие формы очаговой эмфиземы:

1.Околорубцовая эмфизема легких — возникает вокруг очагов перенесенных пневмоний, туберкулеза, саркоидоза. Основное значение в развитии очаговой эмфиземы легких играет региональный бронхит. Околорубцовая эмфизема легких обычно локализуется в области верхушек легких.

2.Младенческая долевая эмфизема — это эмфизематозное изменение одной доли легкого у детей раннего возраста, обычно вследствие ателектаза в дру-

36

гих долях. Чаще поражается верхняя доля левого легкого и средняя доля правого. Младенческая долевая эмфизема проявляется выраженной одышкой.

3.Синдром Маклеода (односторонняя эмфизема) — обычно развивается после перенесенного в детстве одностороннего бронхиолита или бронхита.

4.Парасептальная эмфизема — это очаг эмфиматозно измененной легочной ткани, прилежащей к уплотненной соединительнотканной перегородке или плевре. Обычно развивается вследствие очагового бронхита или бронхиолита. Клинически проявляется образованием булл и спонтанным пневмотораксом.

Значительно большее значение имеет вторичная диффузная эмфизема легких. Основной причиной ее развития является хронический бронхит.

Патогенез: Основными общими механизмами развития эмфиземы легких являются: а) нарушение нормального соотношения протеолиз/а1-антитрипсин и оксиданты/антиоксиданты в сторону преобладания поврежда-ющего стенку альвеол протеолитических ферментов и оксидантов; б) нарушение синтеза и функции сурфактанта; в) дисфункция фибробластов.

Основными патофизиологическими последствиями эмфиземы являются:

а) спадение (коллапс) мелких бесхрящевых бронхов на выдохе и развитие нарушений легочной вентиляции обструктивного типа;

б) прогрессирующее уменьшение функционирующей поверхности легких, что приводит к редуцированию альвеолярно-капиллярных мембран, резкому снижению диффузии кислорода и развитию дыхательной недостаточности;

в) редукция капиллярной сети легких, что приводит к развитию легочной гипертензии.

Патоморфология: Эмфизема легких характеризуется расширением альвеол, респираторных ходов, общим повышением воздушности легочной ткани, дегенерацией эластических волокон альвеолярных стенок, запустеванием капилляров.

Клиническая картина:

Основная жалоба больных — одышка. В начале заболевания она возникает только при значительной физической нагрузке, затем по мере прогрессирования эмфиземы приобретает постоянный характер. При развитии бронхиальной обструкции одышка становится экспираторной. Одышка при первичной эмфиземе легких отличается от одышки при вторичной эмфиземе. При первичной эмфиземе легких меняется характер дыхания: вдох становится глубоким, а выдох длительным, через сомкнутые губы. Больные стремятся повысить во время выдоха давление в воздушных путях, поэтому на выдохе несколько прикрывают рот и раздувают щеки, что уменьшает экспираторный коллапс мелких бронхов. Такой тип дыхания напоминает пыхтение.

Кашель является характерным симптомом прежде всего ХОБЛ. Естественно, он продолжает беспокоить больного и тогда, когда ХОБЛ осложняется эмфиземой легких. Кашель носит надсадный малопродуктивный характер. В начале развития первичной диффузной эмфиземы кашель не беспокоит больных. Но по мере прогрессирования первичной эмфиземы легких развивается хронический бронхит и появляется кашель.

Окраска кожи и видимых слизистых оболочек. У больных первичной эмфиземой легких нарушение вентиляционно-перфузионного соотношения вы-

37

ражено не так значительно, как при вторичной эмфиземе; в покое артериальная гипоксемия не отмечается. У больных развивается гипервентиляция, что способствует артериализации крови. В связи с этим у больных первичной эмфиземой легких гиперкапния продолжительное время отсутствует, кожа и видимые слизистые оболочки скорее розовые, чем цианотичные. Больных с первичной эмфиземой легких называют «розовыми пыхтелыциками». Однако по мере истощения резервных возможностей системы дыхания наступает альвеолярная гиповентиляция с артериальной гипоксемией и гиперкапнией, может появиться выраженный цианоз.

Для больных вторичной эмфиземой легких (как осложнения хронического бронхита) весьма характерен диффузный цианоз. Сначала он отмечается в дистальных отделах конечностей, затем по мере прогрессирования заболевания и развития гиперкапнии и гипоксемии распространяется на лицо и слизистые оболочки. При выраженной гиперкапнии у больных вторичной эмфиземой появляется голубоватый оттенок языка («вересковый» язык).

Потеря массы тела. У больных эмфиземой легких отмечается значительная потеря массы тела. Больные худые, субтильные, могут вообще выглядеть кахектичными и смущаются раздеваться для врачебного осмотра. Выраженное похудание, вероятно, связано с большими энергетическими затратами для осуществления напряженной работы дыхательных мышц.

Участие вспомогательной дыхательной мускулатуры в акте дыхания.

При осмотре больных можно видеть гиперфункционирование вспомогательных дыхательных мышц, мышц брюшного пресса, верхнего плечевого пояса и шеи.

Оценка работы вспомогательной дыхательной мускулатуры производится в положении лежа и сидя. По мере прогрессирования эмфиземы легких наступает утомление дыхательной мускулатуры, больные не могут лежать (горизонтальное положение вызывает напряженную работу диафрагмы) и предпочитают спать сидя.

Осмотр грудной клетки. При осмотре больных выявляется «классическая эмфизематозная грудь». Грудная клетка приобретает бочкообразную форму; ребра принимают горизонтальное положение, подвижность их ограничена; межреберные промежутки расширены; эпигастральный угол тупой; плечевой пояс приподнимается и шея кажется укороченной; надключичные области выбухают.

Перкуссия и аускулътация легких. Перкуторными признаками эмфизе-

мы легких являются опущение нижней границы легких, ограничение или полное отсутствие подвижности нижнего легочного края, расширение полей Кернига, уменьшение границ абсолютной сердечной тупости (гипервоздушные легкие прикрывают область сердца); коробочный перкуторный звук над легкими. Характерным аускультативным признаком эмфиземы легких является резкое ослабление везикулярного дыхания («ватное дыхание») и бронхофонии. Появление хрипов не является характерным для эмфиземы легких и указывает на наличие хронического бронхита.

Состояние сердечно-сосудистой системы. Характерна склонность к арте-

риальной гипотензии, вследствие этого возникают головокружения и обморочные состояния при вставании с постели. Обмороки могут возникать во время кашля в

38

связи с повышением внутригрудного давления и нарушением венозного возврата крови к сердцу. Пульс у больных нередко пониженного наполнения, ритмичный, нарушения сердечного ритма наблюдаются редко. Границы сердца определяются с трудом, кажутся уменьшенными. Тоны сердца резко приглушены, лучше выслушиваются в эпигастральной области. При развитии легочной гипертензии выслушивается акцент II тона на легочной артерии. Формирование хронического легочного сердца особенно характерно для ХОБЛ. У больных первичной эмфиземой легких хроническое легочное сердце развивается значительно позже (обычно уже в терминальной стадии).

Лабораторно-инструментальная диагностика:

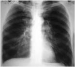
Рентгенологическое исследование легких и сердца. Характерными при-

знаками эмфиземы легких являются низкое расположение купола диафрагмы и ее уплощение, заметно сниженная экскурсия диафрагмы; повышенная воздушность легочных полей; увеличение ретростернального пространства (признак Соколова); обеднение легочных полей сосудистыми тенями (сосудистый рисунок приобретает нитеобразный характер и значительно ослабевает к периферии). Сердечная тень сужена, вытянута («капельное сердце»).

Компьютерная томография. Для эмфиземы легких характерна гипервоздушность легочной ткани, обеднение сосудистого рисунка, по сравнению с обычным рентгенологическим исследованием четко выявляются буллы.

При наличии хронического бронхита выявляется высокая плотность бронхиальной стенки, инфильтрация по ходу бронхов.

Исследование функции внешнего дыхания. Наиболее характерным при-

знаком первичной эмфиземы легких является снижение жизненной емкости легких (ЖЕЛ) и увеличение общей емкости легких (ОЕЛ), остаточного объема легких (ООЛ). По мере прогрессирования эмфиземы наступает бронхиальная обструкция, что проявляется снижением ФЖЕЛ, индекса Тиффно, МВЛ, резко снижаются показатели пикфлоуметрии. При вторичной эмфиземе легких нарушение бронхиальной проходимости выражено гораздо более значительно.

Рекомендуется проводить тесты с применением бронходилататоров для выявления обратимого и необратимого характера бронхиальной обструкции. У больных с первичной эмфиземой легких обструкция носит стойкий, необратимый характер, а при ХОБЛ отмечается частичный бронходилатирующий эффект.

39

Пунктирная линия – должая экспираторная кривая.

OAK. У больных эмфиземой легких отмечается наклонность к повышению количества эритроцитов и уровня гемоглобина, особенно при развитии дыхательной недостаточности.

ЭКГ. При эмфиземе легких отмечается отклонение электрической оси сердца вправо, поворот сердца вокруг продольной оси по часовой стрелке (глубокие зубцы S значительно выражены не только в правых, но и в левых грудных отведениях).

Изменения напряжения в крови кислорода и углекислоты. У больных первичной эмфиземой в начальных стадиях заболевания парциальное напряжение кислорода остается нормальным; с развитием дыхательной недостаточности РаО2 снижается; в далеко зашедших стадиях повышается РаСО2. У больных вторичной эмфиземой при выраженном бронхообструктивном синдроме достаточно быстро снижается РаО2 и повышается — РаСО2.

БРОНХИАЛЬНАЯ АСТМА Бронхиальная астма (БА) — хроническое воспалительное заболевание

дыхательных путей с участием клеток (тучных, эозинофилов, Т-лимфоцитов), медиаторов аллергии и воспаления, сопровождающееся у предрасположенных лиц гиперреактивностью и вариабельной обструкцией бронхов, что проявляется приступом удушья, появлением хрипов, кашля или затруднения дыхания, особенно ночью и/или ранним утром.

Этиология Предрасполагающие факторы: наследственность; атопия; гиперреактив-

ность бронхов, биологические дефекты у практически здоровых лиц. Причинные факторы: Под влиянием причинных факторов фактически

происходит реализация предрасполагающих факторов, в том числе и биологических дефектов, и развивается бронхиальная астма.

1.Аллергены: бытовые, эпидермальные, инсектные пыльцевые, грибковые пищевые, лекарственные, профессиональные.

2.Эндогенные этиологические факторы (нарушение метаболизма арахидоновой кислоты под влиянием аспирина (ацетилсалициловой кислоты), гиперреактивность бронхов по отношению к физической нагрузке, нервно-психические факторы, дисгормональные нарушения — играют ведущую роль в развитии особых вариантов БА, связанных с дисфункцией яичников и недостаточностью глюкокортикоидной функции надпочечников).

40