Материал: Внутренние болезни., Князева Л. И, Князева Л. А, Горяйнов И.И

Внимание! Если размещение файла нарушает Ваши авторские права, то обязательно сообщите нам

оценки определения его чувствительности к антибиотикам, исследование гемокультуры (оптимально проводить забор двух проб венозной крови из разных вен с интервалом 30-60 минут до назначения антибактериальной терапии);

- исследование газов артериальной крови (РаО2, РаСО2) для уточнения потребности в проведении ИВЛ;

- при наличии плеврального выпота и условий безопасного проведения плевральной пункции (визуализация на латерограмме свободносмещаемой жидкости с толщиной слоя >1,0 см) исследование плевральной жидкости.

Критерии диагноза.

Диагноз ВП является определенным при наличии у больного рентгенологически подтвержденной очаговой инфильтрации легочной ткани и, по крайней мере, двух ниже перечисленных клинических признаков:

а) острая лихорадка в начале заболевания (tо>38,0оС); б) кашель с мокротой;

в) объективные признаки (укорочения перкуторного звука, фокус крепитации и/или мелкопузырчатые хрипы, жесткое бронхиальное дыхание);

г) лейкоцитоз > 10х109/л и/или палочкоядерный сдвиг влево

(>10%).

 

 

 

Отсутствие

или

недоступность

рентгенологического

подтверждения очаговой инфильтрации в легких (рентгенография или крупнокадровая флюорография органов грудной клетки) делает диагноз ВП неточным/неопределенным. При этом диагноз заболевания основывается на учете данных эпидемиологического анамнеза, жалоб и соответствующих локальных симптомов.

Если при обследовании больного с лихорадкой, жалобами на кашель, одышку, отделение мокроты и/или боли в груди рентгенологическое исследование органов грудной клетки оказывается недоступным и отсутствует синдром консолидации легочной ткани

(укорочение/тупость перкуторного звука над пораженным участком легкого, локально выслушиваемое бронхиальное дыхание, звучные мелкопузырчатые хрипы или крепитация, усиление бронхофонии и голосового дрожания), то предположение о ВП становится

маловероятным.

Диагностика ВП, основывающаяся на результатах объективного и рентгенологического обследования, может быть приравнена лишь к синдромному диагнозу; нозологическим же он становится после определения возбудителя заболевания.

Критерии тяжелого течения ВП.

Тяжелая форма ВП – это особая форма заболевания различной этиологии, проявляющаяся выраженной дыхательной недостаточностью и/или признаками тяжелого сепсиса или септического шока,

536

характеризующаяся плохим прогнозом и требующая проведения интенсивной терапии (табл. 1-2).

 

 

 

Таблица 1-2

 

Критерии тяжелого течения ВП.

 

 

 

 

 

Клинические

 

Лабораторные

 

 

 

 

1.

Острая дыхательная

1.

Лейкопения (< 4х109/л)

 

недостаточность:

2.

Гипоксемия

 

- частота дыхания > 30 в мин,

 

- SaO2 < 90%

2.

Гипотензия

 

- PaO2<60 мм рт.ст.

 

- систолическое АД <90 мм.

3.

Гемоглобин < 100г/л

 

рт.ст.

4.

Гематокрит < 30%

 

- диастолическое АД <60 мм.

5.

Острая почечная недостаточность

 

рт.ст.

 

(анурия, креатинин крови > 176

3.

Двухили многодолевое

 

мкмоль/л, азот мочевины ≥ 7,0

 

поражение

 

мг/дл)

4.

Нарушение сознания

 

 

5.

Внелегочный очаг инфекции

 

 

 

(менингит, перикардит и др.)

 

 

Осложнения ВП.

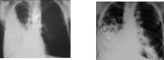
К числу осложнений ВП относятся: а) плевральный выпот (рис.1-4); б) эмпиема плевры;

в) деструкция/абсцедирование легочной ткани (рис.1-5); г) острый респираторный дистресс-синдром; д) острая дыхательная недостаточность; е) септический шок;

ж) вторичная бактериемия, сепсис, гематогенный очаг отсева; з) перикардит, миокардит; и) нефрит и др.

Рис. 1-4. Правосторонний Рис. 1-5. Полисегментарная деструкэкссудативный плеврит тивная пневмония с локализацией в средней и нижней долях правого лег -

кого и нижней левого.

537

Показания к консультации других специалистов:

-консультация фтизиатра для исключения туберкулеза легких,

-консультация онколога при подозрении на новообразование,

-консультация кардиолога для исключения сердечно-сосудистой

патологии.

Лечение.

Антибактериальная терапия ВП у амбулаторных больных представлена в таблице 1-3, у госпитализированных в таблице 1-4.

Таблица 1-3

Антибактериальная терапия внебольничной пневмонии у амбулаторных больных.

Группа

 

Наиболее

Препарат выбора

Альтернативные

Комментарии

 

 

 

частые

 

препараты

 

 

 

 

возбудители

 

 

 

Нетяжелая ВП у

 

S. pneumoniae

Амоксициллин

Респираторные

 

пациентов в

 

М. pneumoniae

внутрь или

фторхинолоны**

 

возрасте до 60 лет

С. pneumoniae

макролиды*

(левофлоксацин,

 

без

 

 

Н. Influenwe

внутрь

моксифлоксацин,

 

сопутствующих

 

 

 

гемифлоксацин)

 

заболевании

 

 

 

внутрь

 

 

 

 

 

 

 

 

Нетяжелая

ВП

у

S. pneumoniae

Амоксициллин

Респираторные

Сопутствующие

пациентов

старше

Н. influenzae

клавуланат внутрь

фторхинолоны

заболевания,

60 лет и/или

с

S. aureus

или

(левофлоксацин,

влияющие на

сопутствующими

 

Enterobacle-

Амоксициллин

моксифлоксацин,

этиологию и

заболеваниями

 

nacea

+сульбактам

гемифлоксацин)

прогноз ВП

 

 

 

 

внутрь

внутрь

(ХОБЛ,

 

 

 

 

 

 

сахарный

 

 

 

 

 

 

диабет, застой-

 

 

 

 

 

 

ная сердечная

 

 

 

 

 

 

недостаточ-

 

 

 

 

 

 

ность, цирроз

 

 

 

 

 

 

печени,

 

 

 

 

 

 

злоупотребле-

 

 

 

 

 

 

ние алкоголем,

 

 

 

 

 

 

истощение)

Примечание. *Следует отдавать предпочтение макролидным антибиотикам с улучшенными фармакокинетическими свойствами (кларитромицину, рокситромицину, азитромицину, спирамицину). Макролидные антибиотики являются препаратами выбора при подозрении на атипичную этиологию пневмонии (M. pneumoniae, С. pneumoniae).

** Доксициклин может назначаться при подозрении на атипичную этиологию ВП (M. pneumoniae, С. pneumoniae), однако следует учитывать высокий (>25%) уровень резистентности к нему пневмококков в России.

Пульмонология. Национальное руководство /Под ред. А. Г. Чучалина, 2009.

538

Таблица 1-4

Антибактериальная терапия внебольничной пневмонии у госпитализированных пациентов

 

Наиболее частые

Рекомендуемые режимы терапии

Группа

возбудители

Препараты выбора

Альтернативные

 

 

 

 

 

препараты

Пневмонии

S.pneumoniae

Бензилпенициллин в/в, в/м ±

Респираторные

нетяжелого

H.influenzae

макролид внутрь;

 

фторхинолоны

течения

C.pneumoniae

Ампициллин в/в, в/м

±

(левофлоксацин,

 

S.aureus

макролид внутрь

 

моксифлоксацин)

 

Enterobacteriaceae

Амоксициллин+клавулановая

в/в

 

 

кислота ±

макролид внутрь

Азитромицин в/в

 

 

Цефотаксим в/в, в/м

±

 

 

 

макролид внутрь

 

 

 

 

Цефтриаксон в/в, в/м

±

 

 

 

макролид внутрь

 

 

Пневмонии

S.pneumoniae

Амоксициллин+клавулановая

Респираторные

тяжелого

Legionella spp.

кислота ±

макролид

в/в

фторхинолоны

течения

S.aureus

Цефотаксим в/в, в/м ±

(левофлоксацин,

 

Enterobacteriaceae

макролид

в/в

 

моксифлоксацин)

 

 

Цефтриаксон в/в, в/м ±

в/в

 

 

макролид

в/в

 

+ цефалоспорины

 

 

 

 

 

III поколения в/в

Примечание. Следует отдавать предпочтение макролидным антибиотикам с улучшенными фармакокинетическими свойствами (кларитромицин, азитромицин, спирамицин).

Пульмонология. Национальное руководство /Под ред. А. Г. Чучалина, 2009.

Режим дозирования антибактериальных препаратов для эмпирической терапии ВП у взрослых представлен в таблице 1-5.

Таблица 1-5

Режим дозирования антибактериальных препаратов для эмпирической терапии ВП у взрослых (по А.Г.Чучалину, 2008).

ЛС

Внутрь

Парентерально

1

2

3

Амоксициллин

0,5-1 г 3 раза/сутки

-

Ампициллин

Не рекомендуется

1г 4 раза в сутки

Амоксициллин+

0,625 г 3 раза в сутки

1,2 г 3 раза в сутки

клавулановая кислота

 

 

Тикарциллин

-

3,2 г3 раза в сутки

+клавулановая кислота

 

 

 

 

 

Пиперациллин+

-

4,5 г3 раза в сутки

тазобактам

 

 

Цефуроксим

-

0,75г 3 раза в сутки

Цефотаксим

-

1-2 г 3-4 раза в сутки

Цефтриаксон

-

1-2 г 1 раз/сутки

Цефепим

-

2 г 2 раза в сутки

Цефоперазон+

-

2-4 г 2 раза/сутки

539

Сульбактам

 

 

 

Имипенем

-

0,5 г 3 раза в сутки

Меропенем

-

0,5 г 3

раза в сутки

Эртапенем

-

1 г 1 раз в сутки

Кларитромицин

0,5 г 2 раза в сутки

0,5 г 2

раза в сутки

Мидекамицин

0,4 г 3 раза в сутки

 

-

Рокситромицин

0,15 г 2 раза в сутки

 

-

Спирамицин

3 млн МЕ 2 раза/сутки

1,5 млн МЕ 3

 

 

раза/сутки

Эритромицин

0,5 г 4 раза в сутки

0,6 г 3

раза в сутки

Клиндамицин

0,3 - 0,45г 4 раза/ сутки

0,6 г 4

раза в сутки

Линкомицин

0,5 г 3 раза в сутки

0,3 -0,6 г 3 раза / сутки

Доксициклин

0,1 г 2 раза в сутки

0,1 г 2

раза в сутки

Ципрофлоксацин

Не рекомендуется

0,2-0,4 г 2 раза в сутки

Офлоксацин

Не рекомендуется

0,4 г 2

раза в сутки

Левофлоксацин

0,5 г 1 раз в сутки

0,5 г 1 раз в сутки

Моксифлоксацин

0,4 г 1 раз в сутки

0,4 г 1 раз в сутки

Гентамицин

-

3-5 мг/кг 1 раз в сутки

Амикацин

-

15 мг/кг 1 раз в сутки

Рифампицин

-

0,3-0,45

г 2 раза/сутки

Метронидазол

0,5 г 3 раза в сутки

0,5 г 3

раза в сутки

Первоначальная оценка эффективности антибактериальной терапии в стационаре должна проводится через 48 часов после начала лечения (в тяжелых случаях через 24 часа).

Основными критериями эффективности являются:

-уменьшение температуры тела;

-уменьшение симптомов интоксикации;

-уменьшение дыхательной недостаточности.

Если выше перечисленные симптомы сохраняются, следует пересмотреть тактику лечения.

Продолжительность антибактериальной терапии.

При нетяжелой ВП антибактериальная терапия может быть завершена по достижении стойкой нормализации температуры тела (в течение 3-4 дней). При таком подходе длительность лечения обычно составляет 7-10 дней. В случае наличия клинических и/или эпидемиологических данных о микоплазменной или хламидийной этиологии ВП, продолжительность терапии должна составлять 14 дней. При тяжелой ВП неуточненной этиологии рекомендован 10 дневный курс антибактериальной терапии. В эти же сроки обычно наблюдается исчезновение лейкоцитоза.

В случае наличия клинических и/или эпидемиологических данных микоплазменной или хламидийной этиологии ВП, продолжительность терапии должна составлять 14 дней.

540