Материал: Внутренние болезни., Князева Л. И, Князева Л. А, Горяйнов И.И

Внимание! Если размещение файла нарушает Ваши авторские права, то обязательно сообщите нам

Назначают препараты, усиливающие обезвреживание аммиака: орнитин-аспартат в/в в дозе 20-40 г/сут и/или перорально в дозе 18 г/сут.

Применяют лактозу перорально и/или в виде клизм.

Для уменьшения тормозных процессов в ЦНС назначают антагонист бензодиазепиновых рецепторов - флумазенил.

Инфекционные осложнения. Признаки присоединения инфекции : повышение температуры тела и боли в животе.

Для профилактики бактериальной инфекции госпитализированным больным с асцитом показано назначение антибиотиков (ципрофлоксацин, амоксициллин + клавулоновая кислота) в следующих случаях:

концентрация белка в асцитической жидкости менее 1 г%;

кровотечение из варикозно-расширенных вен пищевода и желудка (инфекционные осложнения развиваются у 20% пациентов в течение 2 сут. после возникновения кровотечения; в течение 1 нед. пребывания в стационаре частота бактериальных осложнений увеличивается до 53%);

наличие в анамнезе спантанно возникшего бактериального перитонита.

531

РАЗДЕЛ VI. ПУЛЬМОНОЛОГИЯ

ГЛАВА 1. ПНЕВМОНИИ.

Пневмонии – группа различных по этиологии, патогенезу, морфологической характеристике острых инфекционных (преимущественно бактериальных) заболеваний, характеризующихся очаговым поражением респираторных отделов легких с обязательным наличием внутриальвеолярной экссудации, выявленной при физикальном и рентгенологическом исследовании.

Классификация пневмоний.

I. Внебольничная (приобретенная вне лечебного учреждения) пневмония (синонимы: домашняя, амбулаторная).

II. Нозокомиальная (госпитальная, внутрибольничная) пневмония. III. Аспирационная пневмония

IV. Пневмония у лиц с тяжелыми дефектами иммунитета (врожденный иммунодефицит, ВИЧ-инфекция, ятрогенная иммуносупрессия).

Практически значимым является подразделение пневмоний на внебольничные и нозокоминальные. Необходимо подчеркнуть, что основным и единственным критерием разграничения является то окружение, в котором развилась пневмония.

Внебольничная пневмония (ВП) - острое заболевание, возникшее во внебольничных условиях (вне стационара, либо диагностированное в первые 48 часов от момента госпитализации), сопровождающееся симптомами инфекции нижних дыхательных путей (лихорадка, кашель , отделение мокроты, возможно гнойной, боль в грудной клетке, одышка) и рентгенологическими признаками «свежих» очагово-инфильтративных изменений в легких при отсутствии диагностической альтернативы

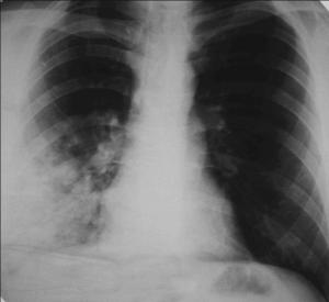
(рис.1-1).

Рис.1-1.Внебольничная пневмония с локализацией в средней и нижней долях правого легкого.

532

Этиология.

Типичными возбудителями ВП являются:

Streptococcuspneumoniae (30-50% случаев); Haemophilusinfluenzae (до 10%).

Определенное значение в этиологии ВП имеют атипичные микроорганизмы, на долю которых в сумме приходится от 8 до 30% случаев заболевания:

-Chlamydophilapneumoniae,

-Mycoplasmapneumoniae,

-Legionellapneumophila.

К редким (3-5%) возбудителям ВП относятся:

-Staphylococcusaureus,

-Klebsiellapneumoniae, реже - другие энтеробактерии.

В очень редких случаях:

-Pseudomonasaeruginosa,

-Pneumocystisjiroveci.

Иногда у взрослых выявляется смешанная или коинфекция. Для некоторых микроорганизмов не характерно развитие бронхолегочного воспаления, поэтому их выделение из мокроты говорит о конт аминации материала флорой верхних отделов дыхательных путей, а не об этиологической значимости этих микробов.

У пациентов, госпитализированных в терапевтическое отделение, преобладают пневмококки (на долю микоплазм и хламидий приходится

25%).

При тяжелом течении ВП выделяют следующих возбудителей: Legionellaspp., S. aureusи грамотрицательные энтеробактерии.

В таблице 1-1 представлены группы пациентов с ВП с учетом возраста, сопутствующей патологии и тяжести заболевания.

Таблица 1-1

Группы пациентов с ВП и вероятные возбудители

Группы

Характеристика пациентов

Вероятные возбудители

 

 

 

1.

Амбулаторные пациенты

Streptococcuspneumoniae

 

ВП нетяжелого течения

Mycoplasmapneumoniae

 

У лиц моложе 60 лет без

Haemophilusinfluenzae

 

сопутствующей патологии

 

2.

Амбулаторные пациенты

Streptococcuspneumoniae

 

У лиц старше 60 лет и/или с

Haemophilusinfluenzae

 

сопутствующей патологией

S. аureus

 

 

Еnterobacteriacae

3.

Госпитализированные пациенты

Streptococcuspneumoniae

 

(отделение общего профиля)

Haemophilusinfluenzae

 

ВП нетяжелого течения

Streptococcuspneumoniae

 

 

S. аureus

 

 

Еnterobacteriacae

533

4.

Госпитализированные пациенты

Streptococcuspneumoniae

 

(ОРИТ)

Legionellaspp.

 

ВП тяжелого течения

S. аureus

 

 

Еnterobacteriacae

Примечание. Пульмонология. Национальное руководство под ред. А.Г. Чучалина, 2009.

Патогенез.

Выделяют четыре основных патогенетических механизма, которые

сразной частотой обуславливают развитие ВП:

-аспирация секрета ротоглотки;

-вдыхание аэрозоля, содержащего микроорганизмы;

-гематогенное распространение микроорганизмов из

внеклеточного очага инфекции (эндокардит трикуспидального клапана, септический тромбофлебит вен таза);

- непосредственное распространение инфекции из соседних пораженных органов (например, абсцесс печени) или в результате инфицирования при проникающих ранениях грудной клетки.

Диагностика.

Подозрение на пневмонию должно возникать при наличии у больного лихорадки в сочетании с жалобами на кашель, одышку, отделение мокроты и/или боли в груди.

Классическими объективными признаками ВП являются:

-усиление голосового дрожания;

-укорочение (тупость) перкуторного звука над пораженным участком легкого;

-локально выслушиваемое бронхиальной дыхание;

-крепитация или мелкопузырчатые хрипы;

-усиление брохофонии.

Наличие очагово-инфильтративных изменений в легких при рентгенографии грудной клетки в сочетании с соответствующей симптоматикой инфекции нижних дыхательных путей позволяет верифицировать диагноз пневмонии.

Рентгенологический признак пневмонии – инфильтративное, обычно одностороннее затемнение легочной ткани, которое может быть очаговым, сливным, сегментарным (рис.1-2), долевым (обычно гомогенным) и тотальным. Рентгенологическое исследование следует проводить в двух проекциях – задне-передней и боковой. При выполнении исследования следует оценить распространенность инфильтрации, наличие или отсутствие плеврального выпота и полости деструкции.

Плевральный выпот осложняет течение ВП в 10-25% случаев и не имеет особого значения в предсказании этиологии заболевания (рис. 1-3).

534

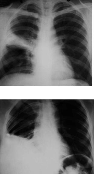
Рис. 1-2. Внебольничная сегментарная пневмония с локализацией в верхней доле правого легкого.

Рис.1-3. Внебольничная пневмония, осложненная экссудативным плевритом.

Полости деструкции в легких появляются при стафилококковой инфекции, аэробных грамотрицательных возбудителях ки шечной группы и анаэробов.

По данным рентгенологического метода исследования нельзя говорить об этиологии пневмонии.

Диагностический минимум обследования:

-рентгенография грудной клетки в двух проекциях;

-общий анализ крови: лейкоцитоз более 10-12х109/л со сдвигом лейкоцитарной формулы влево указывает на высокую вероятность

бактериальной инфекции, а лейкопения ниже 3х109/л или лейкоцитоз выше 25х109/л являются неблагоприятными прогностическими признаками;

-биохимический анализ крови – мочевина, креатинин, электролиты, печеночные ферменты;

-микробиологическая диагностика: микроскопия мазка, окрашенного по Грамму, посев мокроты для выделения возбудителя и

535