Материал: Соляник Т.В., Костюкевич С.А. Микробиология мяса. Лекция

Внимание! Если размещение файла нарушает Ваши авторские права, то обязательно сообщите нам

Ботулизм – тяжелая токсикоинфекция, которая возникает при употреблении в пищу продуктов(колбаса, консервы, овощи, грибы, рыба, вода и др.), зараженных анаэробными бактериями Сl. botulinum или содержащих их токсин (рис. 5–6).

Рис. 5. Clostridium botulinum

Рис. 6. Clostridium botulinum

26

Мясо животных, больных ботулизмом, нельзя использовать в пищу. Продолжительность инкубационного периода болезни(от нескольких часов до 2–5 дней) зависит от количества попавшего в организм возбудителя. Наиболее характерные признаки болезни– сухость во рту и глотке, неподвижность языка, опускание век, расстройство дыхания, а затем его паралич. Смертность достигает 70–80 %. С целью предупреждения заболевания необходимо соблюдать санитарногигиенические правила на предприятиях пищевой промышленности. При подозрении на заражение ботулизмом продукты следует браковать с последующим уничтожением или подвергать термической обработке.

Токсикозы вызывают только токсины без участия микроорганизмов, которые их выделяют.

Токсикозы стафилококкового и стрептококкового происхож-

дения. Белый и золотистый стафилококк и некоторые стрептококки, поселяясь в мясных и других продуктах, продуцируют энтеротоксин (при температуре 15–22 °С).

Токсинообразующие стафилококки гемолизируют эритроциты, разжижают желатин, сбраживают лактозу и мальтозу с образованием кислоты. Стафилококки довольно устойчивы к нагреванию– при температуре 70 °С они сохраняют жизнеспособность в течение30 минут. Причиной отравления является только выделяемый ими энтеротоксин. Энтеротоксин устойчив к хлору, к низким и высоким температурам, он выдерживает кипячение до 30 минут и частично разрушается при автоклавироваиии в течение 10–20 минут.

Внешний вид продуктов, которые содержат энтеротоксин, не изменяется. При их употреблении признаки отравления(головокружение, слабость, рвота, понос) наблюдаются через 2–5 часов и сохраняются до 3 дней.

5. МЯСО КАК ВОЗМОЖНЫЙ ИСТОЧНИК ИНФЕКЦИОННЫХ БОЛЕЗНЕЙ ЛЮДЕЙ И ЖИВОТНЫХ

Известно, что ко многим заразным заболеваниям, общим для многих видов как домашних, так и диких животных, восприимчив и человек. В настоящее время зоонозных заболеваний изучено много, на разных континентах их насчитывается около сотни. Эти заболевания передаются человеку через продукты питания животного происхожде-

27

ния – мясо, молоко, яйца, а также через животное сырье. Заражение возможно и при других контактах с животными.

Общебиологическую основу существования зоонозов довольно четко изложил профессор В. Беверидж (1968), который писал, что мы иногда не отдаем себе отчета в том, что сами являемся одним из многочисленных биологических видов, населяющих планету, и что обширный мир живых существ объединен узами родства . Чем больше мы узнаем о физиологических и биохимических процессах, происходящих в организме животных, тем наше родство с ними кажется теснее, а различия незначительнее.

Охотникам и работникам охотничьих хозяйств следует детально знать возможные пути заражения и меры профилактики, ограждающие человека от инфекций и инвазий, распространенных среди домашних и диких животных. Оздоровительные и профилактические мероприятия среди животных, а также систематический ветеринарно-сани-

тарный контроль за качеством продуктов животного происхождения гарантируют высокое качество их и исключают всякие случаи заражения людей.

Дело усугубляется еще и тем, что охотники нередко нарушают са- нитарно-гигиенические требования и без предварительного осмотра ветеринарными специалистами употребляют в пищу мясо диких животных, которое может быть в некоторых случаях источником заражения людей.

Наибольшую опасность для людей представляет мясо, зараженное трихинами, особенно в тех случаях, когда охотники спешно, порой у костра готовят «свежину», шашлыки и другие блюда без тщательного проваривания мяса. Еще большую опасность таят копчености домашнего приготовления, медвежьи и кабаньи сырокопченые окорока и грудинка, если мясо не подвергалось лабораторному исследованию на трихинеллез. Люди, употреблявшие в пищу мясо, зараженное трихинами, обычно заболевают трихинеллезом.

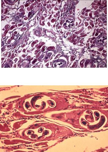
Трихинеллез у человека отмечается с различной частотой возникновения почти во всех странах мира, носит обычно групповой характер, нередко со смертельным исходом. Проявляется он у людей в виде лихорадки, а также резкой слабостью, жаждой, сонливостью, ощущением страха, одышкой, скованностью и мучительными мышечными болями (рис. 7–8).

28

Рис. 7. Трихинеллез мышц (дистрофическое обызвествление)

Рис. 8. Трихинеллез в мышечной ткани

29

Полного выздоровления при мышечной форме трихинеллеза не наступает. По всей видимости, трихинеллез является природной очаговой инвазией, в большинстве случаев не имеющей связи с инвазией домашних животных (свиней, крыс, кошек, собак).

Болезни животных, опасные для человека.

Как уже говорилось выше, существуют инфекционные и инвазионные болезни, общие для человека и животных. Человек заражается ими при контакте с больными животными и в результате употребления в пищу мяса больных животных, зараженной воды и через кровососущих насекомых и клещей.

Из зоонозных заболеваний, опасных для людей, среди диких животных наиболее часто встречаются сибирская язва, бешенство, туляремия, сальмонеллезы, бруцеллез, листериоз, лептоспироз, ящур, орнитоз и упомянутый выше трихинеллез.

Передача возбудителей зоонозных заболеваний человеку происходит путем прямого контакта с больными животными , через укусы хищников и грызунов, при разделке туш крупных животных, при снятии шкурок с пушных зверей; возможно также заражение путем непрямого контакта – через почву, воду, зараженные продукты животного происхождения.

Зоонозы – это пищевые инфекционные заболевания, которые передаются человеку от больных животных через мясо и молоко. К этим заболеваниям относят бруцеллез, туберкулез, сибирскую язву, ящур и др.

Сибирская язва – острая лихорадочная болезнь домашних и диких животных и людей. Вызывается аэробной бациллой, которая в организме животного образует капсулы, а вне его – споры.

Возбудитель сибирской язвы относится к родуBacillus, вид

B. Anthracis (рис. 9–10).

Возбудитель болезни может распространяться с водой, загрязненной зараженными сточными водами кожевенных заводов, шерстемоек и других предприятий, перерабатывающих животное сырье, а также с кормами животного происхождения.

Заражение людей происходит при снятии и обработке кожи, через кровососущих насекомых и т. п. Человек чаще всего заболевает кожной формой.

30