Материал: клинический+анализ+крови+2

Внимание! Если размещение файла нарушает Ваши авторские права, то обязательно сообщите нам

Изменения размера и формы эритроцитов

Семейный акантоцитоз при а- -липопротеидемии

Акантоциты – шиповатыеэритроциты. Они имеют несколько выпячиваний цитоплазмы разных размеров

Изменения размера и формы эритроцитов

Стрелкой показанполихроматофил

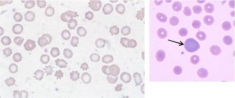
Эхиноциты имеют множество мелких выпячиваний мембраны.

Единичные эхиноциты встречаются у здоровых людей

В большом количестве они могут быть при почечной и печёночной недостаточности

Часто встречается ложный эхиноцитоз, обусловленный длительным нахождением эритроцитов в жидкости с ЭДТА пред приготовление мазка или нарушением фиксации мазка крови

Изменения размера и формы эритроцитов

Фрагменты эритроцитов – фрагментоциты, (шистоциты, шизоциты) в мазках крови здорового человека встречаются очень редко (0,05-0,08%; максимально 0,27%). Если они легко обнаруживаются при просмотре мазка крови, надо думать о гиперагрегации тромбоцитов, что встречается при остром синдроме ДВС и тромботической тромбоцитопенической пурпуре (болезнь Мошковица). Эритроциты разрезаются на фрагменты, проходя через рыхлые тромбоцитарные агрегаты.

Схема образования фрагментоцитов

Фрагмент агрегата тромбоцитов.

Псевдоподиеподобные отростки тромбоцитов соединены молекулами фибриногена через конформированные рецепторы IIb/IIIa.

Образование фрагментов эритроцитов.

Направление кровотока

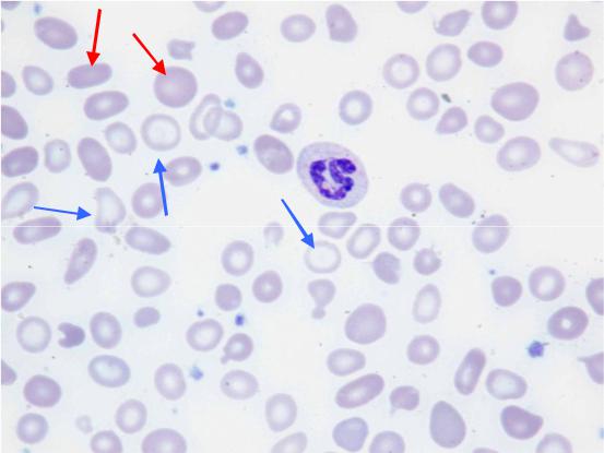
Анизохромия, анизоцитоз и пойкилоцитоз эритроцитов

Видны крупные (круглые и овальные) гиперхромные эритроциты (красные стрелки), гипохромные эритроциты разных размеров и формы (синие стрелки); нейтрофил, отдельные тромбоциты.