Материал: клинический+анализ+крови+2

Внимание! Если размещение файла нарушает Ваши авторские права, то обязательно сообщите нам

Мегакарио(тромбоцито)поэз

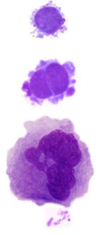
Мегакариобласт

Промегакариоцит

Мегакариоцит

Тромбоциты

Осуществляется в костном мозге.

Мегакариобласт морфологически заметно отличается от других бластов, особенно если видна отшнуровка тромбоцитов. В мазках костного мозга здоровых людей.

Промегакариоциты значительно крупнее, часто имеют двудольчатое (двулопастное) ядро.

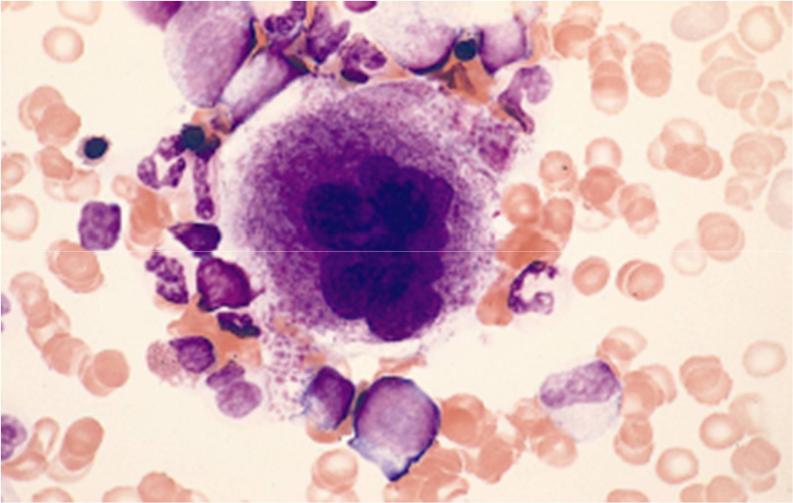
Зрелые мегакариоциты – самые крупные клетки системы крови, за исключением некоторых многоядерных макрофагов. В их цитоплазме часто хорошо различаются уже сформированные тромбоциты, которые покрываются гликокаликсом и могут свободно отделяться от цитоплазмы мегакариоцита.

Тромбоциты хорошо видны в цитоплазме мегакариоцита

Схема выхода тромбоцитов из паренхимы костного мозга в кровь

Мегакариоциты образуют псевдоподиеподобные выпячивания цитоплазмы, которые проникают в просвет синусоидов костного мозга и текущая кровь смывает тромбоциты. Сегментация ядер мегакариоцитов позволяет некоторым из них проникать целиком в кровь. В лёгких они не могут пройти из артериолы в венулу и, останавливаясь в просвете артериолы, продолжают образование тромбоцитов.

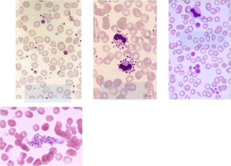
Причины ложных тромбоцитопений

Анизоцитоз

тромбоцитов

Агрегация тромбоцитов

Гигантизм

тромбоцитов

Сателлитизм

тромбоцитов

Во всех этих случаях не все тромбоциты воспринимаются анализатором: прилипшие к нейтрофилу (сателлиты) и самые мелкие («мусор») не учитываются, крупные идут в подсчёт вместе с эритроцитами, тромбоциты в составе агрегатов не узнаются и не идут в счёт. При тромбоцитопении без признаков кровоточивости вначале надо исключить её технические причины.

Пример ошибки определения количества тромбоцитов при крупнотромбоцитарной тромбоцитопатии

Пациентка Н.А.А.,22 года

Заболеваниепроявилось в раннем детстве, носовые кровотечения, тромбоцитопения

Диагноз ИТП, лечениеГКС, спленэктомияв возрасте 3 лет

Периодическое курсовое лечение ГКС не реже одногораза в 2 года

Эффекта в плане прироста тромбоцитов не было

В настоящее время месячные по 7-10 дней, редко

– по 5, других кровотечений практически нет

Много лет ЖДА, периодически, явно недостаточно,лечится препаратами железа