Материал: клинический+анализ+крови+2

Внимание! Если размещение файла нарушает Ваши авторские права, то обязательно сообщите нам

Гемостазиограммы

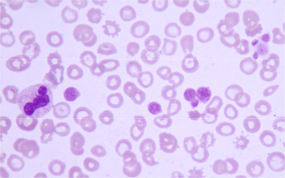
Мазок крови больной

На автоматическом анализаторе подсчитано тромбоцитов 22 000/мкл,

в фазово-контрастном микроскопе – 24 000/мкл

Подсчёт тромбоцитов по мазку. Видно, что тромбооцитов много.

На1000 эритроцитов найдено 30 тромбоцитов. Эритроцитов 4 000 010/мкл.

Количество тромбоцитов =4 000 010 : 1000 × 30 = 120 030/мкл

Мазок крови и агрегатограмма больной

Гигантские тромбоциты в агрегатах автоматический анализатор клеток крови не узнал. Гигантские тромбоциты, как правило, не имеет нормальных свойств агрегации и адгезии, пациенты страдают кровоточивостью пятнисто-петехиального типа, и им ошибочно выставляется диагноз тромбоцитопенической пурпуры.

На микрофотографии мазка крови – большие агрегаты тромбоцитов, больше чем на предыдущем слайде. Видна спонтанная агрегация.

Агрегация с агонистами: адреналином, ристомицином, АДФ и коллагеном отсутствует (агрегатограммы на нуле).

Кровоточивость обусловлена не низким количеством (120 030/мкл – не так мало), а плохим качеством тромбоцитов

Тромбоцитопеническая пурпура

Гемоглобин, г/л

96,2

 

 

Эритроциты, х1012

2,89

Цветовой показатель

1,0

 

 

Ретикулоциты, %

2,4

 

 

Лейкоциты, 109

8,64

Промиелоциты, %

 

 

 

Миелоциты, %

 

 

 

Метамиелоциты, %

 

 

 

Палочкоядерные

6

 

 

Сегментоядерные

61

 

 

Эозинофилы

 

 

 

Базофилы, %

 

 

 

Лимфобласты

 

 

 

Лимфоциты

26

 

 

Моноциты, %

7

 

 

Тромбоциты, 109

18,4

СОЭ, мм/час

25

 

 

Дополнительные сведения:

 

 

 

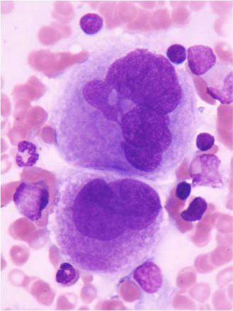
Количество мегакариоцитов в костном мозге большое (микрофото), тромбоциты единичные. Нормохромная анемия с ретикулоцитозом обусловлена кровопотерей и хорошей регенерацией эритрона.