Материал: клинический+анализ+крови+2

Внимание! Если размещение файла нарушает Ваши авторские права, то обязательно сообщите нам

Механизм образования телец Жолли

Схема заключительных фаз патологического митоза:

a. поздняя анафаза, три хромосомы не связаны с нитями веретена, б. телофаза, 3 хромосомы не включились в сформированные ядра

новых клеток, в. эритрокариоциты долго остаются связанными между собой

цитоплазматическим мостиком; из хромосом, не включенных в ядра, сформировались хроматиновые тельца Жолли,

г. после потери ядра эритрокариоциты превратились в эритроциты с тельцами Жолли.

Мегалобластная анемия

WBC:

3.0 G/L

 

 

LYM:

1.8

61.1

%L

*MID:

0.1

2.3

%M

GRAN:

1.1

36.6

%G

RBC: 1.59 T/L

HGB: 68. g/L

HCT: .181 L/L

MCV: 114. fL

MCH: 42.8 pg

MCHCR 376. g/L

DW: 38.8 %

PLT: 59.

G/L

URI

MPV:

fL

 

PCT:

mL/L

 

PDW:

10(GSD)

 

Флаг URI свидетельствует о невозможности дифференцировать очень мелкие эритроциты и крупные тромбоциты, поэтому средний объём тромбоцитов (MPV), тромбоцитокрит (PCT) и показатель отклонения тромбоцитов по объёму за пределы нормы (PDW) не определены.

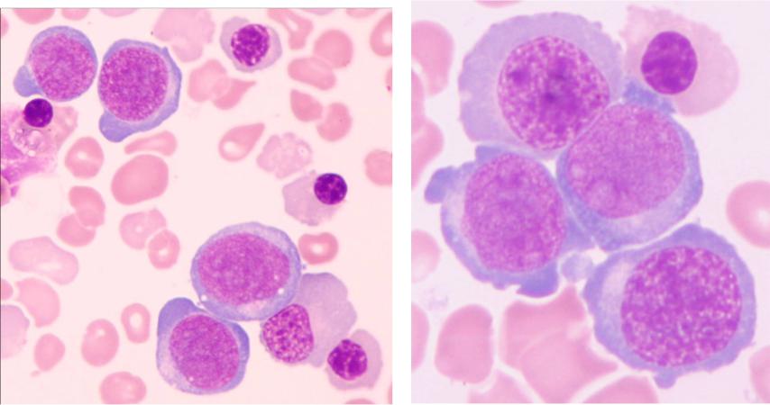
Мегалобластный эритропоэз при дефиците вит.В12

Апластическая анемия

Заболевание, чаще имеющее аутоиммунный механизм развития

Характеризуется уменьшением миелопоэза с замещением кроветворных клеток жиром

В анализе крови выявляется разной степени выраженности панцитопения

Анемия гипорегенераторная или арегенераторная (полное отсутствие ретикулоцитов)

Апластическая анемия

Гемоглобин, г/л

71,1

 

 

Эритроциты, х1012

1,96

Цветовой показатель

1,09

 

 

Ретикулоциты, %

0,1

 

 

Лейкоциты, 109

2,74

Промиелоциты, %

 

 

 

Миелоциты, %

 

 

 

Метамиелоциты, %

 

 

 

Палочкоядерные

6

 

 

Сегментоядерные

32

 

 

Эозинофилы

1

 

 

Базофилы, %

 

 

 

Лимфобласты

 

 

 

Лимфоциты

56

 

 

Моноциты, %

3

 

 

Тромбоциты, 109

12,8

СОЭ, мм/час

55

 

 

Дополнительные сведения:

 

 

 

Трепанобиоптат крыла подвздошной кости. В большинстве костномозговых полостей видно полное замещение кроветворной ткани жиром.