Материал: клинический+анализ+крови+2

Внимание! Если размещение файла нарушает Ваши авторские права, то обязательно сообщите нам

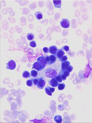
Нормальный эритропоэз

Базофильные и полихроматофильные эритрокариоциты

Для эритропоэза характерна

очаговость, что хорошо видно в срезах с трепанобиоптата.

При активном эритропоэзе в мазках костного мозга, полученного при аспирации, часто встречаются островки эритропоэза с макрофагом в

центре (рис. слева).

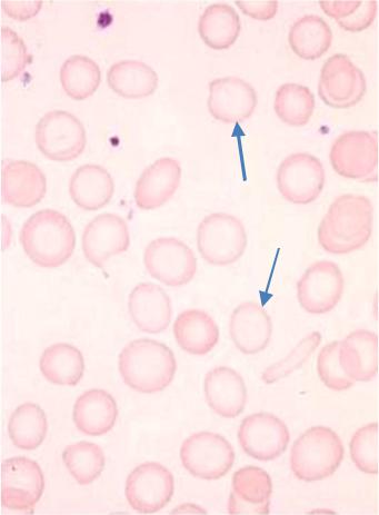
Железодефицитная анемия (ЖДА)

Гипохромная

Микроцитарная

Выраженный анизоцитоз

Уменьшение железа в сыворотке крови

Увеличение

железосвязывающей способности сыворотки крови

Снижение процента насыщения трансферрина железом

Снижение уровня сывороточногоферритина

Эритроциты бледные, очень большая площадь просветления, иногда окрашен только ободок (анулоциты)

Железодефицитная анемия (ЖДА)

WBC :

5.6

 

103/mm3

‹ 3.5

– 10.0 ›

MCV

:

57

L

μm3

80

97 ›

RBC :

4.27

L

106/mm3

‹ 3.80

– 5.80 ›

MCH

:

19.5

L

pg

‹ 26.5

– 33.5 ›

HGB :

8.3

L

g/dl

‹ 11.0

– 16.5 ›

MCHC

:

34.1

 

g/dl

‹ 31.5

– 35.0 ›

HCT :

24.5

L

%

‹ 35.0

– 50.0 ›

RDW

:

21.7

Н

%

‹ 10.0

– 15.0 ›

PLT :

275

 

103/mm3

‹ 150

– 390 ›

MPV

:

8.4

 

μm3

6.5

– 11.0 ›

PCT :

.230

 

%

‹ .100

– .500 ›

PDW

:

12.2

 

%

‹ 10.0

– 18.0 ›

WBC Flags

: M2 G1 G2

 

‹ 17.0

– 48.0 ›

# LYN :

1.7

 

103/mm3

‹ 1.2

– 3.2

DIFF

:

 

 

‹ 4.0

– 10.0 ›

# MON :

0.5

 

103/mm3

‹ 0.3

– 0.8

%

 

‹ 43.0

– 76.0 ›

# GRA :

3.4

 

103/mm3

‹ 1.2

– 6.8

%LYM :

31.0

 

 

 

 

 

 

 

 

 

 

 

 

 

%MON :

10.0

%

 

 

 

 

 

 

 

 

 

 

 

 

 

%GRAN :

59.0

%

 

 

 

 

 

 

 

 

 

 

 

 

 

Кривая Прайс-Джонса

При ЖДА совпадает микроцитоз по объёму и диаметр у (кривая Прайс-Джонса).Красной линией отмечена средняя арифметическая нормы

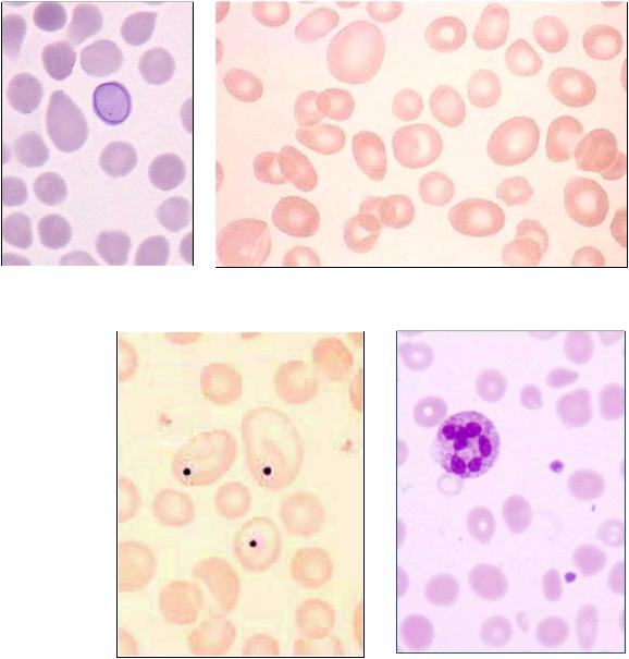
Мегалобластная анемия

макроцитарная

гиперхромная

анизоцитоз от мегалоцитов до микроцитов, есть фрагментоциты

тельца Жолли и кольца Кэбота в эритроцитах (на рисунках слева)

лейкопения (нейтропения)

гиперсегментация ядер нейтрофилов (сдвиг вправо)

– внизу справа

тромбоцитопения

неэффективный эритропоэз (ретикулоцитопения)