Материал: клинический+анализ+крови+2

Внимание! Если размещение файла нарушает Ваши авторские права, то обязательно сообщите нам

Оценка клинического анализа крови

Раздел 2

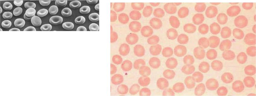
Нормальные эритроциты

имеют форму двояковогнутых (biconcav) дисков (Ø 7,5 мкм,

в световом микроскопе они имеют просветление в центре

благодаряэластичности и возможностименять форму, свободно проходят через капилляры, имеющие даже меньший диаметр,чем диаметр эритроцита

Так выглядят эритроциты в электронном сканирующем микроскопе (рисунок вверху) и световом микроскопе при окраске по РомановскомуГимзе (рисунок справа)

Классификация анемий

Средний объем эритроцита (MCV)

Микроцитарная

 

 

 

 

 

Макроцитарная

 

 

 

Нормоцитарная

 

 

 

(MVC < 80 fL/cell)

 

 

 

 

(MVC > 100 fL/cell)

 

 

 

(MVC 80-100 fL/cell)

 

 

 

 

 

 

 

 

 

 

 

 

 

 

 

 

 

 

 

 

 

 

-Железодефицитная

 

 

-Мегалобластная

 

Количество

 

-Талассемия

 

 

-B12-дефицитная

 

ретикулоцитов

 

-Анемия хронич. болезней

 

 

-фолиево-дефицитная

 

 

 

-Сидеробластная

 

 

 

-алкогольная болезнь печени

 

 

 

 

 

 

 

 

Низкое

-Гипопластическая -Апластическая

-Миелофиброз -Лейкоз

-Почечная недостаточность

-Анемия хронич. болезней

Высокое

-Серповидно-клеточная -Наследств.сфероцитоз -аутоиммуннаягемолитическая

-Пароксизмальная ночная гемоглобинурия - Дефицит глюкозо 6 фосфат дегидгогеназы

Изменения размера (анизоцитоз) и формы (пойкилоцитоз) эритроцитов

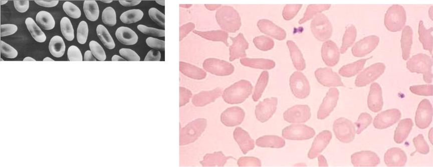
Эллиптоцитозовалоцитоз является вариантом пойкилоцитоза.

Наследуется аутосомно-доминантно. Клинико-лабораторная картина гемолитической анемии развивается обычно при количестве овальных (эллипсоидных) клеток более 25%.

Овалоциты в небольшом проценте могут встречаться у здоровых людей

Так выглядят эритроциты в электронном сканирующем микроскопе (рисунок вверху) и световом микроскопе при окраске по РомановскомуГимзе (рисунок справа)

Некоторые эритроциты не имеют центрального просветления

Изменения размера (анизоцитоз) и формы (пойкилоцитоз) эритроцитов

Наследственный сфероцитоз

Гемолитическая анемия с аутосомно-доминантным наследованием

Гемолиз происходит в селезёнке, которая увеличивается

Течение нередко кризовое с массивным гемолизом и последующим высоким ретикулоцитозом

Имеется склонность к образованию билирубиновых камней

Зрелые эритроциты имеют небольшой размер (микроциты по диаметру), но нормальный объём (нормоциты по объёму), центральное просветление отсутствует