Материал: клинический+анализ+крови+2

Внимание! Если размещение файла нарушает Ваши авторские права, то обязательно сообщите нам

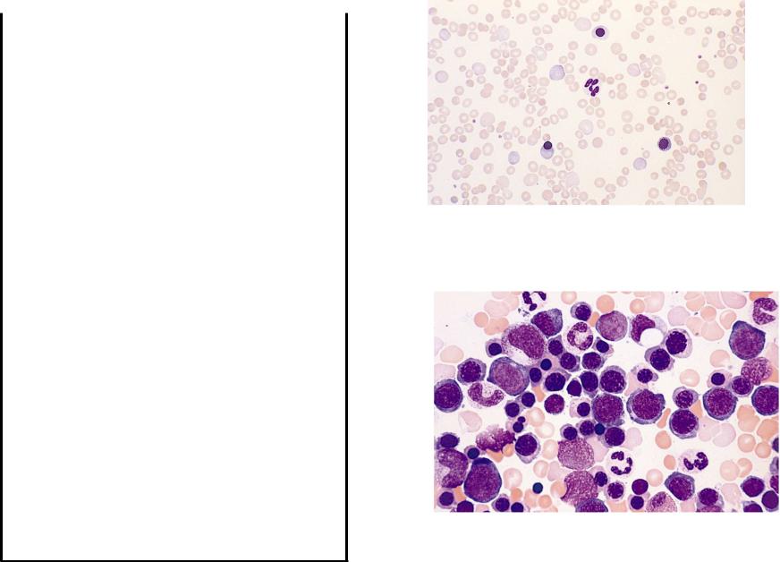
Аутоиммуннаягемолитическаяанемия

Гемоглобин, г/л

64,3

 

 

Эритроциты, х1012

1,95

Цветовой показатель

0,98

 

 

Ретикулоциты, %

23,0

 

 

Лейкоциты, 109

12,8

Миелоциты, %

1

 

 

Метамиелоциты, %

1

 

 

Палочкоядерные

3

 

 

Сегментоядерные

49

 

 

Эозинофилы

4

 

 

Базофилы, %

 

 

 

Лимфобласты

 

 

 

Лимфоциты

30

 

 

Моноциты, %

12

 

 

Тромбоциты, 109

202

СОЭ, мм/час

68

 

 

Дополнительные сведения: MCV 102, MCH 32.9. Полихроматофилия +++,

Положительна прямая проба Кумбса. Эритрокариоциты 96 на 100 лейкоцитов.

В этом участке поля зрения:

нейтрофил, три эритрокариоцита. Видны полихроматофильные эритроциты, они крупнее других эритроцитов.

Мазок костного мозга. Большое количество эритробластов и эритрокариоцитов разной степени созревания.

В пробирки наливают раствор NaCl в понижающейся концентрации от 0,70%, до 0,28% – при подозрении на талассемию до 0,20%.

В каждую пробирку добавляют по капле свежей крови. Пробирки встряхивают и оставляют при комнатной температуре на 3 -12 часов.

Начало гемолиза отмечают по первой пробирке, в которой надосадочная жидкость окрасилась гемоглобином *. Это – минимальная ОРЭ. Конец гемолиза оценивают по пробирке, в которой (первой)

* отсутствует осадок эритроцитов **. Это – максимальная ОРЭ.

**

В этом примере осмотическая резистентность снижена, особенно минимальная.

Осмотическая резистентность эритроцитов

В гипотонических растворах, вследствие разницы осмотического давления в эритроците и окружающей его жидкости, вода поступает в эритроцит, его объём увеличивается. У здоровых людей при концентрации NaCl 0,48% - 0,40% начинается разрушение эритроцитов (минимальная осмотическая резистентность) – после осаждения эритроцитов раствор становится слабо-розовым. При концентрации 0,34% – 0,30% гемолиз заканчивается (максимальная осмотическая резистентность) − раствор окрашен, осадка нет.

Вверху – минимальная осмотическая резистентность эритроцитов нормальной формы. При усилении гипотонии эритроциты постепенно увеличиваются в объёме, и гемолиз начинается поздно.

Внизу – при сфероцитозе.