Материал: Итог1

Внимание! Если размещение файла нарушает Ваши авторские права, то обязательно сообщите нам

Перелік препаратів до ПМК№2 2019

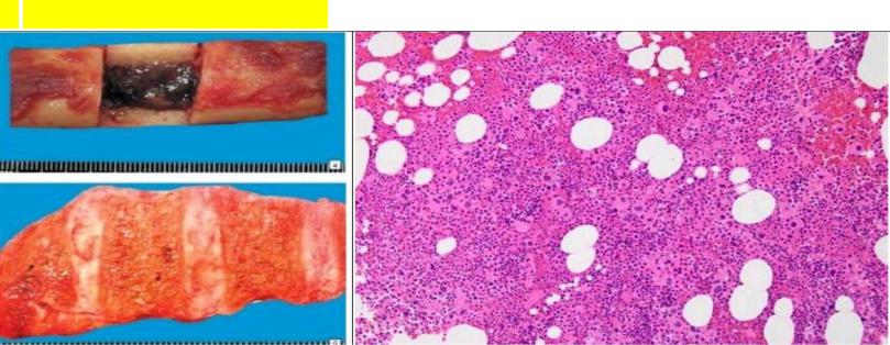
1. Хронічний мієлоїдний лейкоз

Червоний кістковий мозок соковитий, сіро-червоний гноєвидний

При гістологічному дослідженні знаходть промієлоцити і мієлоцити, а

(піоїдний кістковий мозок). В кістковій тканині реактивний

також бластні клітини

остеосклероз.

 

А – діафіз стегнової кістки

 

Б – тіла хребців

 

Етіологія: ?філадельфійська хромосома(транслокація довгих плечей 9 і 22 пари) Ускладнення: бластний криз, смерть

2. Лімфома Ходжкіна (лімфогранулематоз)

ЛВ збільшений, м*який, щільний, соковитий, сіро-рожевого

Малюнок будови ЛВ стертий, визначається проліферація лімфоцитів,

кольору. Капсула порушується у кінцевих стадіях

гістіоцитів та ретикулярних клітин, а також хар-ні малі кліт

 

Ходжкіна(аналог. Лімфобластам), одноядерні гігантські клітини (великі

 

кл.Ходжкіна) та багатоядерні клітини Рід-Березовського-Штернберга

Етіологія: вірус Епштейна-Барра(EBV), пригнічення клітинного імунітету

Ускладнення: перехід гістіоцитарного перебігу в змішано-клітинний і з пригніченням лімфоїдної тканини, прогресування процесу

3. Атеросклероз коронарної артерії

На інтимі видно декілька поодиноких ліпідних

Стінка потовщена через атеросклеротичну бляшку в стадії

бляшок. Стінки артерії потовщені, просвіт

зворотнього розвитку. Хар-но розростання молодих

звужений

сполучнотканинних елементів інтими в ділянках відкладання і

 

розпаду ліпідів і білків, руйнуванням еластичних і агрофільних

 

мембран, що призв до формування фіброзної бляшки.

Етіологія:

 

 

1)

Обмінні (поруш обміну ліпопротеїдів)

4)

Нервові (психоемоційна напруга)

2)

Гормональні(ЦД, гіпотиреоз)

5)

Судинні (стан суд стінки)

3)

Гемодинамічні(АГ, підвищ суд прон)

6)

спадкові та етнічні фактори

Ускладнення: хронічна ішемія органів, дистрофія в них паренхіматозних елементів та склероз в інтерстиції, інсульти, інфаркти

4. Первинний нефросклероз при гіпертонічній хворобі (Первинно зморщена нирка, артеріолосклеротичний нефросклероз)

Нирки зменшені, щільні, з дрібногранулярною поверхнею;

Капілярні петлі клубочків підлягають фібриноїдному

паренхіма атрофічна, особливо кіркова речовина органу.

некрозу, відбув гіаліноз артеріол і склероз клубочків

На поверхні нирок з*являються дрібні множинні осередки

 

западіння.

 

Етіологія: артеріальна гіпертензія, порушене кровопостачання і гіпоксія нирок Ускладнення: хронічна ниркова недостатність, артеріолонекроз, азотемія, гіперазотемічна кома?