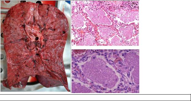
30. Пневмоцистна пневмонія при ВІЛ-інфекції/СНІДі

Утв. Пінстих еозинофільних мас Етіологія: пневмоцисти, цитомегаловірус?
Ускладнення: смерть йопс, внаслідок легеневої/серцево-легеневої недостатності
31. Геморагічний менінгіт при сибірці
Мозкові оболонки м*які, набряклі, |
Серозно-геморагічне запалення |
просякнуті кров*ю, мають темно- |
оболонок мозку з пошкодженням |
червоний колір |
стінок дрібних судин, їх розривом. |
|
Накопичення в просвіті судин |
|
сибіркових мікробів |
Етіологія: Bac. anthracis |
|
Ускладнення: cепсис |
|