Материал: Итог1

Внимание! Если размещение файла нарушает Ваши авторские права, то обязательно сообщите нам

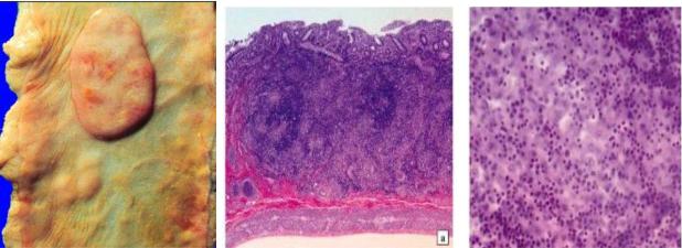
25. Мозковидне набухання пеєрових бляшок при черевному тифі

Групові фолікули збільшені, щільної

Проліферація моноцитів, гістіоцитів,

консистенції, виступають над

ретикулярних клітин, які витісняють лімфоцити.

поверхнею слизової оболонки у

Ці збільшені клітини виходять за межі групових

просвіт кишки, утворюють борозни і

фолікулів і слизової оболонки, проникають у

звивини.

м’язовий шар і можуть досягати серозної

 

оболонки

Етіологія: Salmonella typhi

Ускладнення: внутрішньокишкова - кровотеча, перфорація, перитоніт; позакишкові – бронхопневмонія, остеомієліт, аритмія, тромбоз судин ГМ, черевнотифозний сепсис, гемолітична анемія, інфекційно-токсичний шок

26. Поліпозний (поліпозно-виразковий) септичний ендокардит аортального клапану

Руйнування клапану з відриванням хорд і

Велика зона фібриноїдного

тромботичними нашаруваннями. Стінки

некрозу в товщі ендокарда

гіпертрофовані. Стулки аортального клапану з

відокремлюється від здорової

крупними виразкуваннями, які закриті фібринозними

тканини лейкоцитарним валом

плівками, що легко відшаровуються

(макрофагами і лімфоцитами)

Етіологія: золотистий стафілокок, зеленящий стрептокок, ентерокок, клебсієли, пріони Ускладнення: тромбоемболії, аортально-мітральний порок серця з деформацією клапанів, перфорацією стулок, декомпенсація серця.

27. Міліарний туберкульоз легень

Легеня малоповітряна, під плеврою і на

На фоні нормальної тканини дрібні вогнища

розрізі видно багато дифузно

казеозного некрозу, навколо яких вал

розташованих сірого кольору щільної

епітеліоїдних клітин. Далі макрофаги,

консистенці вогнищ (вузлики).

лімфоцити, невелика к-ть клітин Пирогова-

Діаметром 0,1-0,2 см

Лангханса. В тканині легень виражений склероз

 

міжальвеолярних перетинок, перибронхальної

 

тк. Альвеол емфізематозно розширена

Етіологія: гематогенна дисемінація первинного ТБ… Ускладнення: ураження інших органів і систем, туберкульозний менінгіт, плеврит, перикардит, казеозна пневмонія?

28. Фіброзно-кавернозний туберкульоз легень(хронічна легенева сухота)

На розрізі в легеневій тканині велика порожнина

1

– каверни

неправильної форми з товстими стінками сірого

2

– пневмоцироз

кольору(каверна). Зсередини її стінки представлені зоною

3

– потовщення і

сирнистого некрозу

склероз плеври

В просвіті каверни випинаються у вигляді балок і трабекул,

 

 

оточені сірою щільною тканиною великі судини.

 

 

Навколо в тканині легень різних розмірів вогнища

 

 

сирнистого некрозу, частина яких сірого кольору

 

 

Етіологія: гострий кавернозний туберкульоз

 

 

Ускладнення: циротичний туберкульоз, поширення процесу на протилежну легеню, амілоїдоз

29. Вірусна пневмонія при грипі

«Велика пістрява грипозна легеня»

В просвіті бронху лейкоцитарний ексудат,

Чергування вогнищ пневмонії (сіро-

епітелій

бронху

з

лейкоцитарною

жовтого кольору), абсцесів, ателектазів,

інфільтрацією і вираженим повнокрів*ям

крововиливів. Легені збільшені в розмірі,

судин, крововиливами

 

 

в просвіті бронхів слизово-геморагічний

 

 

 

 

вміст

 

 

 

 

Етіологія: пневмотропний РНК-вірус А,В,С Orthomyxoviridae

Ускладнення: карніфікація ексудату, облітеруючий бронхіт і бронхіоліт, бронхоектази, пневмофібрози, серцева недостатність