Материал: Итог1

Внимание! Если размещение файла нарушает Ваши авторские права, то обязательно сообщите нам

20. Діабетичний гломерулосклероз

Никрки зменшені, щільні,

Дифузне потовщення Базальної мембрани

дрібнозернисті на розрізі. Розростання

капілярів, розш мезангія, нагромадження

жирової тканини в області воріт +

мас гіаліну. Склероз строми. Поширений

стоншений кірковий шар

гіаліноз і склероз клубочків. Дистрофічні

 

зміни епітелію канальців.

Етіологія: ЦД Ускладнення: хз, якась ниркова недостатність

21. Багатовузловий колоїдний зоб

Щитоподібна залоза збільшена в

Фолікули різної величини, округлої

розмірах, має горбисту поверхню, з

форми, зі сплощеним епітелієм,

вузлами різної величини, консистенція

щільним еозинота базофільним

щільна. Капсула гладенька, крізь неї

колоїдом без ознак резорбції;

просвічуються осередки крововиливів,

вогнищевий склероз строми

склероза

 

Етіологія: ?нестача вживання екзогенного йоду Ускладнення: некрози та обвапнення, розростання сполучної тканини

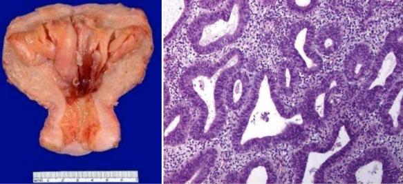
22. Залозиста гіперплазія ендометрію

Ендометрій різко потовщений, з

Ендометрій потовщений за рахунок

поліпозними виростами, якими

гіперплазії залоз і розростання строми.

вистелена порожнина матки.

К-ть залоз збільшена, вони звивисті,

Матка збільшена, щільна, стінка

близько розташовані одна до одної,

потовщена

деякі пилковидні, кістозно розширені

Етіологія: порушення гормонального балансу і надходження в організм надмірної кількості фолікуліну/прогестерону Ускладнення: (передраковий стан) послідовний склероз слизової оболонки, розвиток раку тіла матки

23. Нодулярна гіперплазія передміхурової залози

Збільшена у розмірах

Збільшення к-ті з-з епітелію, при цьому к-ть і величина часток різні

передміхурова залоза м*яка та

Збільшена к-ть м’язових волокон, серед яких є атрофовані з-зи,

еластична. На вигляд бугриста,

часточковість залози порушується.

внаслідок розростання вузлів,

Серед добре розвиненої фіброзно-м’язової строми – різнокаліберні

великої к-ті вузлів різного

залозисті структури, що побудовані з гіперплазованого епітелію зі

розміру

збереженням сосочків.

 

Одиночні залози з кістозною трансформацією

Етіологія: дисгормональні розлади Ускладнення: здавлювання і деформації сечовивідного каналу та шийки сечового міхура, порушення виведенняя сечі,

компенсаторна гіпертрофія стінки сечового міхура, цистит пієліт, пієлонефрит, уросепсис

24. Міхурцевий занесок

Збільшення розмірів плаценти з розвитком

Різкий набряк ворсин, з утворенням у центрі

набряку ворсин, що набувають вигляд пухирців,

цистерн, заповнених рідиною. Ступінь

заповнених прозорою рідиною. Матка

проліферації трофобласта може бути різна.

збільшена, порожнина її містить

Гідропічне та кістозне перетворення ворсин

пухирчастоподібні ворсини, скупчення яких

хоріону, що супроводжується проліферацією

нагадують грона винограду типу Шасла.

епітелію та синцитію ворсин, різким збільшенням

 

їх к-ті та перетворенням в конгломерат кіст, яккі

 

нагадують грона винограду

Етіологія: «причина виникнення міхурового заносу невідома»(ст. 536 підр. Струков, Сєров, 1999) Ускладнення: плацентарна емболія легеневих судин