Материал: Итог1

Внимание! Если размещение файла нарушает Ваши авторские права, то обязательно сообщите нам

15. Гострий флегмонозно-виразковий апендицит

Червоподібний відросток збільшений у розмірах,

Виражена лейкоцитарна інфільтрація всіх шарів

червонувато-синюшного кольору, серозна

апендикса

оболонка тьмяна, повнокровна, виразкована, на її

Атрофія лімфоїдної тканини

поверхні фібринозні накладення. На розтині

Некроз і відшарування слизової оболонки

стінка потовщена, просвіт заповнений гноєм.

 

Етіологія: ангіоневротичне /ентерогенне аутоінфекційне захворювання(УПО стає патогенними)

Ускладнення: деструкція відростка і розповсюдження гною(перфорація – перитоніт, гнійний тромбофлебіт брижі і тд)

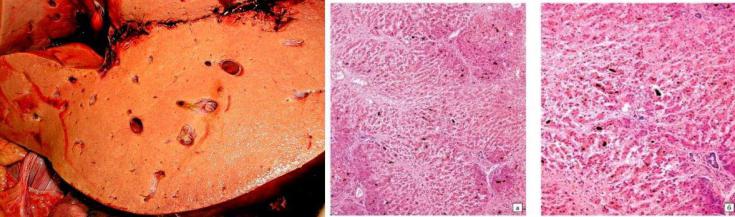
16. Токсична дистрофія печінки (масивний прогресуючий некроз печінки)

Печінка дещо збільшена, щільна або

В центра часточок некроз гепатоцитів з аутолітичним розпадом і

дрябла, глиняста

утворенням жиробілкового детриту, в складі якого знах. кристали

 

лейцину та тирозину. На периферії – вузькі полоси гепатоцитів з в

 

стані жирової дистрофії.

Етіологія: екзота ендогенні інтоксикації, інфекційні хвороби(вірусний гепатит), алергічні та аутоалергічні фактори Ускладнення: хронічна токсична дистрофія, гепаторенальний синдром, постнекротичний цироз печінки, некробіотичні зміни в ПШЗ, міокарді та ЦНС.

17. Мікронодулярний (дрібновузликовий) цироз печінки

Печінка малих розмірів, щільна,

Дрібні мономорфні вузли-регенерати (несправжні часточки), які

дрібнобугриста. Вузли регенерації

розділені вузькими прошарками сполучної тканини – порто-портальні,

однакових розмірів, діаметром близько 1

порто-центральні, центро-центральні сполучно-тканинні септи.

см

Сполучна тканина з дифузною лімфо-макрофагальною інфільтрацією.

 

Радіальна структура псевдо-часточок відсутня, центральні вени не

 

виявляються. У цитоплазмі гепатоцитів містяться поліморфні жирові

 

вакуолі. Гепатоцити розташовані хаотично.

Етіологія:

 

 

1)

Інфекційний

4)

Обмінно-аліментарний

2)

Токсичний та токсико-алергічний

5)

Циркуляторний

3)

Біліарний

6)

криптогенний

Ускладнення:печінкова кома, кровотечі з розширених вен стравоходу або шлунка, асцит-перитоніт, тромбоз ворітної вени, розвиток раку

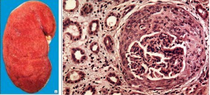
18. Підгострий (швидкопрогресуючий, екстракапілярний проліферативний) гломерулонефрит

Нирки збільшені, дряблі,

Спостерігаються півмісяцеві новоутворення (внаслідок проліферації

кірковий шар широкий,

ендотелію, подоцитів та макрофагів), які здавлюють клубочок.

тьмяний, з червоним крапом

капілярні петлі підлягають некрозу, в їх просвіті утворюються

«велика пістрява нирка»/

фібринові тромби.

«велика червона нирка»

Склероз та гіаліноз клубочків, атрофія канальців і фіброз строми

 

нирок

Етіологія: бактеріальний і небактеріальний Ускладнення: гостра ниркова недостатність, серцево-судинна недостатність

19. Некротичний нефроз (гострий тубулонекроз нирок)

Нирка збільшена, щільна, в’яла.

Спостеріг дистрофічні зміни канальців. Видимі ділянки

Ниркова капсула легко знімається.

некрозу. Клітини ендотелію звивистих канальців позбавлені

Виявляється знекровлення кори

ядер (каріолізис) з нечіткими межами і набряком цитоплазми.

нирок на тлі переповнення кров’ю

Часто зі зруйнованим апікальним полюсом. Канал заповнений

мозкової речовини. Відзначається

циліндрами з фрагментів злущених клітин епітелія. Місцями

пошкодження ниркових канальців

видно розрив базальної мембрани канальців (тубулорексис).

 

Набряк строми.

Етіологія: інтоксикація хімічними речовинами та токсинами при інфекційних хворобах Ускладнення: сегментарний/тотальний некроз кіркового шару нирок