Материал: Итог1

Внимание! Если размещение файла нарушает Ваши авторские права, то обязательно сообщите нам

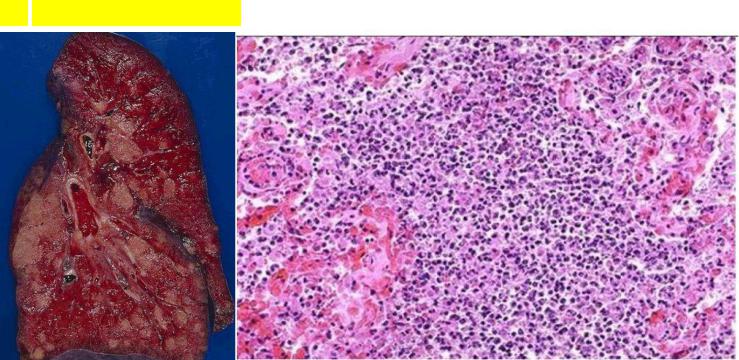
10. Крупозна пневмонія (4-6 день хвороби)

Стадія сірого опечінкування. Ушкоджена частка

Запалення займає весь гістологічний зріз тканини легені. Просвіт

збільшена, щільна, важка, на плеврі значні фібринозні

альвеоли заповнений ексудатом. Нитки фібрину проникають через

плівки, з зернистої поверхні зрізу стікає каламутна

міжальвеолярні пори з однієї пори в іншу, к-ть гемолізованих

рідина

еритроцитів зменшується

Етіологія: пневмококи І, ІІ, ІІІ і IV типів, у рідких випадках – диплобацила Фрідлендера

Ускладнення:

Легеневі (поруш фібринолітичної ф-ї нейтрофілів)– карніфікація, абсцес/гангрена легені, емпієма плеври

Позалегеневі – медіастеніт, перитоніт, перикардит, метастатичні абсцеси в ГМ, гнійний менінгіт, гострий поліпозний/поліпозно-виразковий ендокардит, гнійний артрит

11. Вогнищева пневмонія

Легені збільшені, сіро-червоні, щільні. Осередки

В альвеолах і бронхіолах ексудат з нейтроф., що

запалення різних розмірів, мають зернистий

розташовані нерівномірно. Міжальвеолярні

вигляд, щільної консистенції, сірувато-жовтого

перетинки дифузно пронизані клітинним

кольору виступають над поверхнею розрізу. В

інфільтратом. Серед незміненої тканини легень

просвіті бронхів слизово-гнійний вміст, стінки

вогнище з запальними змінами.

бронхів потовщені.

 

Етіологія: інфекційні агенти (бакт - пневмококи (56,2%), гемофільна паличка (16,7%), золотистий стафілокок (10,4%), гноячковий стафілокок (12,5%) та умовно-патогенна флора (4,2%))

Ускладнення:абсцес/гангрена легені, серцево-легенева недостатність….

12. Емфізема легень

Легені збільшені, бліді, м*якої

 

Розшир альвеолярних ходів і бронхіол

консистенції, не спадаються, розрізаються

 

Стонш міжальвеолярних перегородок

із хрускотом. В бронхах густі слизові

 

Інтракапілярний склероз

маси.

Альтерація легень, яка хар-ся патологічним розширенням

Бульозний, субплевральний і стільниковий

респіраторних відділів, розташ. дистальніше термінальних

фіброз

бронхіол і супроводжується деструктивними змінами

 

альвеолярної стінки. Збільшення об*єму альвеол при

 

зменшенні площі газообміну

Етіологія: хрон дифузна обструктивна – хрон бронхіт, брохіоліт, бронхоектази; хрон осередкова – виникає навкруги туберкульозних осередків/постінфарктних рубців; вікарна – після видалення частини або другої легені Ускладнення: дифузний пневмофіброз, вторинна легенева гіпертензія-гіпертрофія правого шлуночка-серцево-легенева недостатність

13. Хронічна пептична виразка шлунка

Хрон. виразка з пенетрацією в

Дефект стінки шлунка захоплює слизову, підслизову і

підшлункову залозу; округлої форми

м*язову оболонку.

дефект слиз. оболонки і стінки шлунка з

На дні дефекту 4 шари:

валикоподібними ущільненими проявами;

1)

Фібринозно-гнійний ексудат

кардіальний край виразки підритий,

2)

Фібриноїдний некроз

звисає, а край обернений до пілоричного

3)

Грануляційна тканина

відділу пологий, має вигляд тераси,

4)

Рубцева тканина зі склерозом і гіалінозом

сходинки якої утворені шарами шлунка

 

судин

Етіологія: хронічні гастрити, хелікобактер

 

 

Ускладнення:

 

 

1.

Виразково-деструктивні

4.

Малігнізація

2.

Запальні

5.

комбіновані

3.

Виразково-рубцеві

 

 

14. Перстенеподібний рак шлунку

Виразкова інфільтрація пухлини. На

Пухлина побудована з атипових залозистих

поверхні слизової оболонки темно-

комплексів, що складаються з клітин з

коричневий інфільтрат, стінка

вираженим клітинним поліморфізмом. Строма

набрякла

не виражена

Етіологія: хронічні пептичні виразки, вплив канцерогенів Ускладнення: метастазування і вростання раку в сусідні органи і тканини, вторинні некротичні і запальні зміни пухлини