Материал: Итог1

Внимание! Если размещение файла нарушает Ваши авторские права, то обязательно сообщите нам

Макропрепарат. В правій півкулі головного мозку виявляється велика порожнина заповнена кров’ю із руйнуванням стінки шлуночка і розповсюдженням на ліву півкулю. Форма органу збережена, розміри збільшені. Мозок блідно-жовтого кольору, виражені кордони між білою і сірою речовиною. На розрізі видно маленькі включення бурого кольору. Ділянки темно-бурого кольору з розмитими межами чергуються з більш світлими.

Мікропрепарат. Вогнище крововиливу темно-червоного кольору представлене еритроцитами. Периваскулярний набряк, перицелюлярний набряк прилеглої тканини мозку.

Ішемічний інфаркт головного мозку

МАКРО:Вогища сірого кольору розм`як шені, різних розмірів,і різних ділянках ГМ. Також спостерігаємо омертвіння мозкових тканин внаслідок ішемії.

МІКРО: Спостерігається великих розмірів зона некрозу з великою к-тю в ній макрофагів («зернисті шари») і формування «псевдо кісти». В тканинні що збереглися видимі повнокровні Судини мікроциркуляторного русла. Загиблі нейрони і нейрогліальні клітини, нейтрофільна і нфільтрація.

Гострий бородавчастий ревматичний ендокардит

Макро : Розміри і маса серця не змінені, стулки мітрального клапану помірно потовщені, набряклі, з мілкими темно-червоного кольору, тьмяними тромботчними нашаруваннями (у вигляді бородавок), що легко відділяються та кришаться, по вільному краю (в осередках пошкодження ендотелію)

Мікро : Стулка клапана тонка, судин немає. Наявні ділянки дезорганізації ендотелію з нашаруванням тромботичних мас. Розвиток фіброзу, некрозу, дифузної гістолімфоцитарної інфільтрації.

А – нашарування тромбот.мас Б – лімфоцитарні інфільтрати В – повнокровні судини

Етіологія: ревматизм(β-гемолітичний стрептокок групи А)

Ускладнення: розвиток пороків серця, тромбоемболія судин ВКК, склероз органів, спайкові процеси

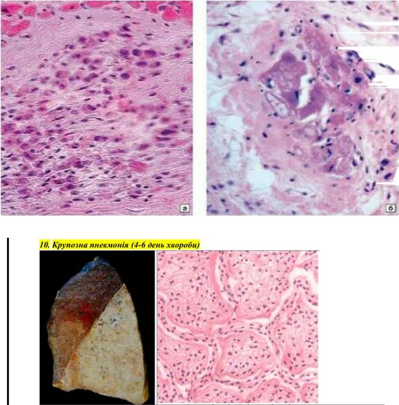
67. Ревматичний ендоміокардит (гранулематозний міокардит, вузликовий продуктивний міокардит)

Макропрепарат: стінки порожнин серця набряклі, темно-коричневого забарвлення. На макропрепараті в периваскулярній сполучній тканині міокарда ревматичні гранульоми, які розпізнаються лише при мікроскопічному дослідженні, розташовані по всьому міокарду, найбільша їх кількість – у вушку лівого передсердя, міжшлуночковій перегородці та задній стінці лівого шлуночка. Спостерігаються ділянки периваскулярного склерозу.

Мікропрепарати (а, б). Продуктивний (гранулематозний) ревматичнийміокардит. ГранульомиАшоффа-Талалаєва в строміміокарду (периваскулярний) з крупнимигіперхромними макрофагами, лімфоцитами і фібріноїдним некрозом в центрі.

Крупозна пневмонія (4-6 день хвороби) Стадія сірого спечінкування/опечінкування

Стадія сірого опеченения. Пошкоджена частина збільшена, щільна, важка, на плеврі значні фібринозні плівки, з зернистою поверхні зрізу стікає каламутна рідина. Запалення займає весь гістологічний зріз тканини легені. Просвіт альвеоли заповнений ексудатом.

Нитки фібрину проникають через міжальвеолярні пори з однієї пори в іншу, кількість гемолізованих еритроцитів зменшується

Еmioлогія: пневмококи I, II, IIl i IV типів, в рідкісних випадках діплобацила Фрідлендера Ускладнення :.

Легеневі (поруш фібринолітичної ф-ї нейтрофілів) - карніфікація, абсцес / гангрена легені, емпієма плеври.

Позалегеневі медіастеніт, перитоніт, перикардит, метастатичні абсцеси в ГМ, гнійний менінгіт,

гострий поліпозний / поліпозно-виразковий ендокардит, гнійний артрит

Вогнищева пневмонія із абсцедуванням