Материал: Итог1

Внимание! Если размещение файла нарушает Ваши авторские права, то обязательно сообщите нам

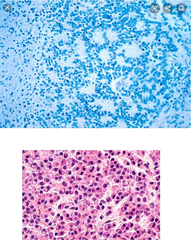
Мікропрепарат: Пухлина побудована з дрібних низькодиференційованних клітин з вузьким обідком цитоплазми. Клітини пухлини утворюють псевдорозетки біля ділянок нейрогліальної речовини,в пухлині багато тонкостінних судин.

Саркома Юінга

Мікропрепарат: Пухлина складається з солідних полів дрібних круглих або злегка овальних мономорфних клітин з вузьким обідком цитоплазми, клітинна маса розділена на нерівномірні поля вузькими сполучнотканинними прошарками, видно значну кількість судин. В осередках некрозу життєздатні пухлинні клітини іноді формують периваскулярні муфти.

Макропрепарат: пухлина білого або біло-сірого кольору, з множинними ділянками крововиливів, некрозів і кістами, що характеризують часткову резорбцію некротичного детриту. Пухлина досить інтенсивно проростає в м'які тканини, даючи локальні ускладнення в вигляді проростання в судини з кровотечею, тромбозів і вторинних васкулярних некрозів.

57.Кістковий мозок при апластичній анемії

Мікропрепарат:

Ап лазія кісткового мозку із заміщенням кровотворної тканини жировою.

Тканина не щільна, містить великі прогалини, збіднілі зони еритропоезу. Зменшення числа мієлокаріоцитів

Макропрепарат. Кістковий мозок діафіза стегнової кістки при апластичній анемії. Кістковий мозок стегнової кістки жовтого кольору (без вогнищ кровотворення)

Кістковий мозок в нормі

Кістковий мозок при гострому мієлобластному лейкозі

На мікро - Тільця Ауера позначені червоними стрілками, інфільтрація км клітинами мієлобластного ряду

За романовськимгімзою, Поліморфні бластні клітини у пунктаті кісткового мозку .

Ядра бластів із ніжносітчастим хроматином, із ядерцями.Бластів у кістковому мозку >30 %

На макро Гематоксилін і еозин*400

У гістопрепараті грудини дифузна інфільтрація кісткового мозку бластними клітинами, зменшення кількості жирових клітин

До гострих лейкозів відносять пухлини, клітинний субстрат яких представленими бластами. Комплекс патологічний змін при гострому лейкозі свідчать просистемний характер ураження:лейкемічна інфільтрація

визначається не тільки в кістковому мозку, але й у селезінці, лімфатичних вузлах, печінці нирках, і інших органах і тканинах.

Дифузна лейкемічна проліферація супроводжується також геморагічними проявами, некротично-виразковими процесами, загостренням супутніх процесів.

60) Лімфогранулематоз(Лімфома Ходжкіна)