Материал: Итог1

Внимание! Если размещение файла нарушает Ваши авторские права, то обязательно сообщите нам

химерних порожнин (каверн) різної величини та неправильної форми, розділені сполучно-тканинними проміжками. Порожнини вистелені шаром ендотеліальних клітин і заповнені кров’ю.

Гемангіома оточена сполучно-тканинною капсулою, що чітко відмежовує її від печінки.

Фарбування: гематоксилін-еозин (НЕ), збільшення: х50.

Макроопис гістологічного препарату:

В тканинах печінки інкапсульований, неправильної форми з чіткими межами вузол темно-червоного кольору за рахунок великої кількості крові, на розрізі – губчастого виду. Поряд ще декілька дрібних вузлів губчастого виду.

Складається з порожнин, стінки яких вистелені одним шаром ендотелію різних за розмірами та формою, і розмежовані тонкими прошарками сполучної тканини.

Кавернозна гемангіома найбільш часто розвивається в печінці, шкірі, губчастих кістках, м’язах, шлунково-кишковому тракті, іноді мозку.

Остеосаркома

Макропрепарат :класична (внутрішньокісткова) остеосаркома нижньої щелепи. Щелепа деформована розростяннями пухлиної тканини. Зуби в межах опухолі выдвинут, рухомі, їх корені піддалися резорбції.

Мікропрепарат: паренхіма опухолі представлена комплексами поліморфних клітин, не формуючих яких небуть тканинних структур, з поліморфними гіперхромними ядрами і крупними ядрищками (тканинний і клітинний атипізм). Зустрічаються гігінтські багатоядерні клітини, велика кількість фіруг патологічних мітозів. Строма слабо розвинута й представлена тонкими пучками колагенових волокон з множинними острівцями остеїда, і тонесинькими сосудами капілярного і синусоїдного типу.

53.Тератома яєчника (дермоїдна кіста)

Макропрепарат:Яєчники збільшені в розмірах,представлені кістозними утвореннями з щільними фіброзними стінками різної товщини.В просвіті кіст-залозоподібний склад:волосся,структура шкіри,секрет сальних залоз.

Мікропрепарат:виділяються диференційовані тканини всіх трьох зародкових листків (мезодерми,ентодерми,ектодерми). Також представлено фрагменти хрящя,жирової тканини,є включення шлункових залоз та фолікул щитовидної залози. Така особлива форма називаєтьсяструм яєчника.

Етіологія:феномен «ембріон в ембріоні»;порушення формування ембріона ,внаслідок цього проходить зміщення зародкових листків.

Ускладнення: в рідких випадках оваріальна струма є причиною гіпертиреоїдизма;розвиток злоякісної тератобластоми

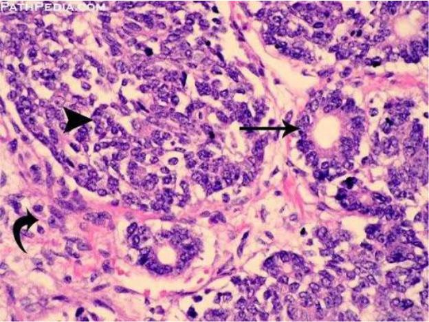
Нефробластма (пухлина Вільмса)

Макропрепарат: на розрізі видно великий пухлинний вузол з ділянками некрозу, чітко відмежований від ниркової паренхіми.

Мікропрепарат. Нефробластома (пухлина Вільмса). Пухлина представлена дрібними округлими і овальними недиференційованими клітинами з гіперхромними ядрами, вузькою цитоплазмою. Формуються трубчасті утворення, що нагадують ниркові канальці . Строма пухлини складається з колагенових волокон і фібробластів. Видно гангліозних клітини

Нейробластома

Макро-: будова тканини проста, з кістозними елементами.