Материал: Идиопатический легочный фиброз

Внимание! Если размещение файла нарушает Ваши авторские права, то обязательно сообщите нам

Пути к «уверенному» диагнозу ИЛФ

Когда можно поставить уверенный диагноз ИЛФ без биопсии?

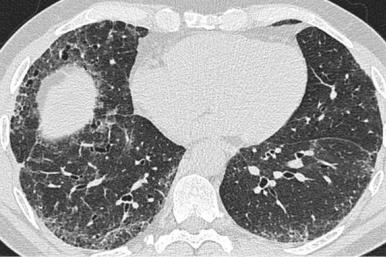
Клиническая картина ИЛФ, КТ-паттерн типичной или вероятной ОИП

Когда необходима биопсия легких?

Клиническая картина ИЛФ с КИ-паттеном, либо неопределенным для ОИП, либо предполагающим альтернативный диагноз

Клиническая картина, не характерная для ИЛФ (возможная экспозиция)

Lynch D et al. Lancet Respir Med 2017; http://dx.doi.org/10.1016/S2213-2600(17)30433-2

Значение возраста при паттерне ‘возможный ОИП’

В случае идиопатической фиброзирующей болезни легких, повышение возраста увеличивает вероятность диагноза ОИП/ИЛФ

>75 лет – PPV 100%

Fell CD et al. Am J Respir Crit Care Med 2010;181:832-837

Возраст > 60 лет, ретикулярные изменения >1/3 от общей площади легких

Вероятность ОИП >80% Специфичность для ОИП 96%

Salisbury ML et al. Respir Med 2016;118:88-95

Диагностический алгоритм ИЛФ

Подозрение на ИЛФ

Анамнез Физикальное исследование

ФВД

 

да

 

 

 

Выявленные причины ИЗЛ?

 

 

 

 

 

 

 

 

 

 

 

положительные

нет

 

 

 

 

 

Маркеры СЗСТ

 

 

 

 

 

 

 

 

 

 

 

 

 

 

 

Не ОИП

 

отрицательные

Определенная ОИП

 

 

 

 

 

ВРКТ

 

 

 

 

 

 

 

 

 

 

 

 

 

 

 

 

 

 

Возможная ОИП

 

Не ОИП

 

ОИП

 

Хирургическая биопсия легких

 

 

 

 

 

 

 

 

 

 

 

 

 

не ИЛФ

 

 

 

ИЛФ

 

 

 

 

 

Raghu G et al. Am J Respir Crit Care Med 2011; 183: 788-824 Flaherty KR, Khanna D. Thorax 2014; 69: 205-206

Криобиопсия: техника

Общее время – около 20 минут!

Криобиопсия: образцы