Материал: Идиопатический легочный фиброз

Внимание! Если размещение файла нарушает Ваши авторские права, то обязательно сообщите нам

Ориентиры для выбора стартовой антифибротической терапии ИЛФ

 

Первый выбор

Первый выбор

 

Нинтеданиб

Пирфенидон

 

 

 

Анамнез тромбоэмболических осложнений/СС

 

+

заболеваний

 

 

 

 

 

Высокий риск кровотечений, прием

 

+

антикоагулянтов

 

 

 

 

 

Анамнез дерматологических проблем связанных с

+

 

солнцем

 

 

 

 

 

Обострения ИЛФ в анамнезе

+

 

 

 

 

Периоперационный период

 

+

 

 

 

Аллергия к сое или арахису

 

+

 

 

 

Частое воздействие интенсивного солнечного

+

 

излучения (связанного с работой или отдыхом)

 

 

 

 

 

Sköld CM et al. Treatment of idiopathic pulmonary fibrosis: a position paper from a Nordic expert group. J Intern Med 2017; 281:149-166

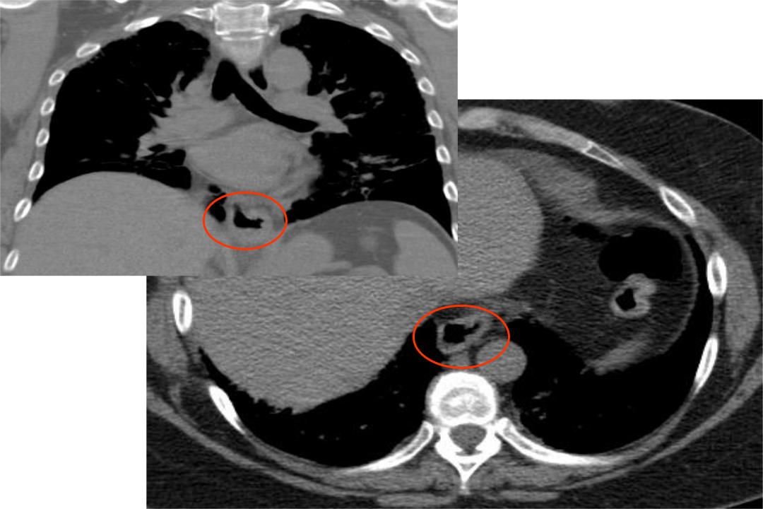
A. Коронарный срез: утолщение слизистой желудка на уровнем диафрагмы

B. Аксиальный срез

Noth et al. Eur Respir J 2012; 39: 344-51

N=242 (3 РКИ)

Lee et al. Lancet Respir Med 2013; 1: 369-76

N=624

Kreuter et al. Lancet Respir Med 2016 Published Online March 31, 2016 http://dx.doi.org/10.1016/S2213-2600(16)00067-

 

Wright et al. ERJ Open Res 2017; 3: 00100-2017