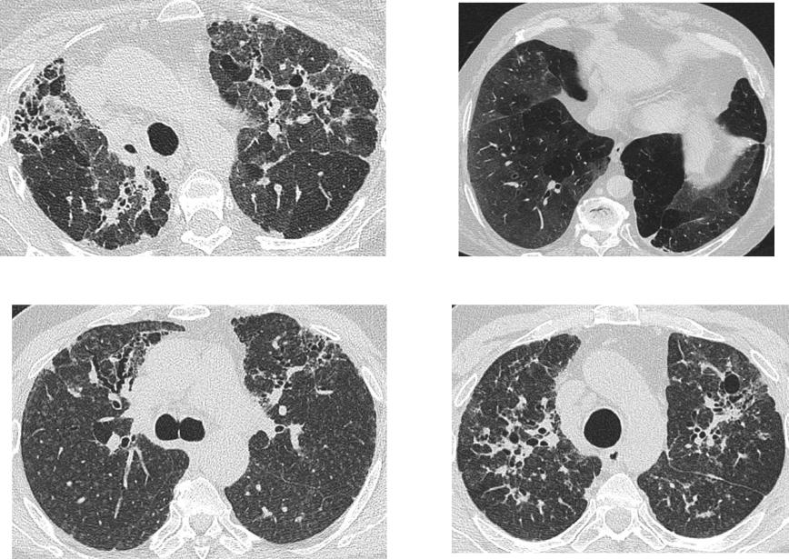
Материал: Идиопатический легочный фиброз

Внимание! Если размещение файла нарушает Ваши авторские права, то обязательно сообщите нам

Типичный КТ-паттерн ОИП

Распределение*

Базальное (иногда диффузное) и субплевральное предоминирование

Распределение часто гетерогенное

КТ-признаки

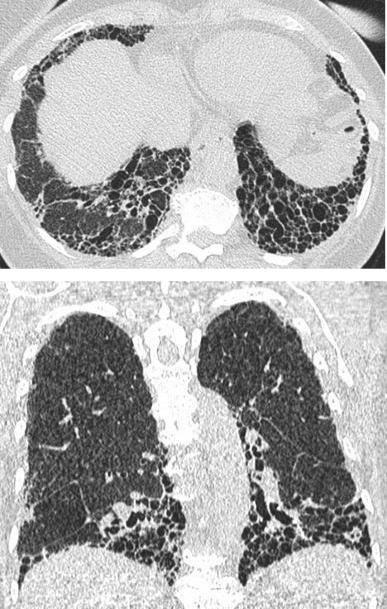
Сотовое легкое

Ретикулярные изменения

Тракционные бронхоэктазы/бронхиолоэктазы

Отсутствие признаков другого ИЗЛ (не-ИЛФ)

*Ассиметрия изменений - до 25: случаев

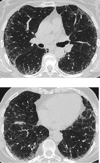
Вероятный КТ-паттерн ОИП

Распределение

Базальное и субплевральное предоминирование

Распределение часто гетерогенное

КТ-признаки

Ретикулярные изменения

Периферические тракционные бронхоэктазы/бронхиолоэктазы

Отсутствие сотового легкого

Отсутствие признаков другого ИЗЛ (неИЛФ)

Lynch D et al. Lancet Respir Med 2017; http://dx.doi.org/10.1016/S2213-2600(17)30433-2

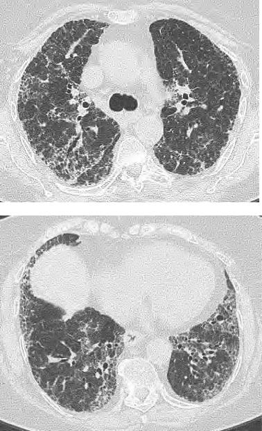
КТ-паттерн, неопределенный для ОИП

Распределение

Вариабельное или диффузное

КТ признаки

наличие фиброза с некоторыми чертами, характерными для паттерна «не-ОИП»

КТ-паттерн более характерный для диагноза «не-ИЛФ»

Распределение

КТ признаки

Фиброз с преобладанием в верхних

Любое из следующих:

и средних отделах

Преобладающая консолидация

Перибронховаскулярное

Протяженные поля чистого матового

предоминирование с сохранением

стекла (без обострения)

субплевральных отделов

Выраженное мозаичное уплотнение с

 

четкими признаками лобулярных

 

воздушных ловушек во время выдоха

 

Диффузные узелки или кисты

Lynch D et al. Lancet Respir Med 2017; http://dx.doi.org/10.1016/S2213-2600(17)30433-2

Мозаичное уплотнение

Профузные изменения по типу ‘чистого’

 

матового стекла

Узелки

Бронхоцентричность