Вірусні інфекції. Грип – визначення, етіологія, патогенез, клініко-морфологічна характеристика, ускладнення.
Грип (від франц. grippe - схоплювати) - ГРВІ, що викликається вірусами грипу. Окрім людини, їм хворіють багато ссавців (коні, свині, собаки, рогата худоба) і птахи.
•Джерелом захворювання людей є тільки хвора людина. Можлива гібридизація вірусів тварин і людини, що веде до мінливості збудника і появи пандемічно небезпечних штамів.
Етіологія
•Збудники - пневмотропні РНК- віруси трьох антигенних обумовлених серологічних варіантів: А, В і С, що відносяться до сімейства Orthomyxoviridae. Частинки вірусу грипу (віріони) округлої форми, діаметром 80-100 нм, складаються з молекули РНК, оточеною оболонкою (капсидом). Віруси грипу містять гемагглютиніни, які міцно з'єднуються з карбогідратом зовнішньої мембрани епітеліальних клітин і, таким чином, пригнічують дію війчастого епітелію.
Патогенез грипу.
•Інфекція розповсюджується повітряно-краплинним шляхом. Інкубаційний період триває 2-4 дні.
•Первинна адсорбція, впровадження і розмноження вірусу відбуваються в клітках бронхіолярного і альвеолярного епітелію, в ендотелії капілярів, що веде до первинної вірусемії.
• За допомогою нейрамінідази вірус розчиняє оболонку і проникає всередину клітини господаря. рнк-полімераза активує репродукцію вірусу.
•Репродукція вірусу в епітеліальних клітках бронхіол і легенів супроводжується їх загибеллю і вивільненням збудника, який заселяє епітелій бронхів і трахеї.
•Гострий бронхіт і трахеїт є першими клінічними ознаками початку захворювання.
•Вплив вірусу грипу: цитопатична дія на епітелій бронхів і трахеї, викликає його дистрофію, некроз, десквамацію; вазопатична (вазопаралітична) дія (повнокров'я, стази, плазмо- і геморрагія); імунодепресивна дія: пригнічення активності нейтрофілів (пригнічення фагоцитозу), моноцитарних фагоцитів
(пригнічення хемотаксису і фагоцитозу), імунної системи (розвиток алергії).
•Вазопатична і імунодепресивна дія вірусу грипу визначають приєднання вторинної інфекції, характер місцевих (риніт, фарингіт, трахеїт, бронхіт, пневмонія) і загальних (дисциркуляторні розлади, дистрофія паренхіматозних елементів, запалення) змін. Можливі латентні (безсимптомні) і хронічні форми хвороби, які мають велике значення, особливо в перинатальній патології.
Патологічна анатомія грипу
•залежить від тяжкості, яка визначається типом збудника (наприклад, грип А2 завжди перебігає важче) • сили дії збудника, •стану макроорганізму • приєднання вторинної інфекції.
Розрізняють форми грипу:
•легку (амбулаторну);
•середньої тяжкості;
•важку форми грипу.
Легка форма грипу характеризується:
• ураження слизової оболонки верхніх дихальних шляхів з розвитком гострого катарального рино-ларинго-трахеобронхіту.
•Макросопічно: Слизова оболонка - гіперемія, набряк, серозно-слизові маси.
•Мікроскопічно: гідропічна дистрофія клітин миготливого епітелію, втрата ними вій, повнокрів'я, набряк, інфільтрація лімфоцитами субепітеліального шару, десквамація епітеліальних клітин. У келихоподібних клітинах і в клітинах серознослизових залоз велика кількість ШИК - позитивного секрету. Дрібними базофільними включеннями є мікроколонії вірусу грипу, що підтверджується методом флюоресцуючих антитіл. Оксифільне включення - це продукт реакції клітин на впровадження вірусу і осередкової деструкції її органели. Перебіг сприятливий, закінчується через 5-6 днів повним відновленням слизової оболонки верхніх дихальних шляхів і одужанням.
Грип середньої тяжкості протікає із залученням до патологічного процесу слизової оболонки :
• верхніх дихальних шляхів,
• дрібних бронхів,
• бронхіол,
• легеневої паренхіми.
•У трахеї і бронхах розвивається серозно-геморагічне запалення, іноді з вогнищами некрозу слизової оболонки. У цитоплазмі бронхіального і альвеолярного епітелію є включення вірусу.
•Мікроскопічно в легенях: повнокрів'я, в альвеолах видно серозний, іноді геморагічний ексудат, десквамовані клітини альвеолярного епітелію, поодинокі нейтрофіли, еритроцити, ділянки ателектазу і гострої емфіземи; міжальвеолярні перегородки потовщені за рахунок набряку і інфільтрації лімфоїдними клітинами, іноді виявляються гіалінові мембрани.
•Перебіг грипу середньої тяжкості в цілому сприятливий: одужання наступає через 3-4 тижнів. У ослаблених людей, людей похилого віку, дітей, а також хворих серцево-судинними захворюваннями пневмонія може мати хронічний перебіг, явитися причиною серцево-легеневої недостатності і смерті.
Важка форма грипу має 2 варіанти:
грипозний токсикоз;
грип з переважно легеневими ускладненнями.
1)При важкому грипозному токсикозі на перший план виступає виражена загальна інтоксикація, обумовлена цито- і вазопатичною дією вірусу. У трахеї і бронхах виникають серозно-геморагічне запалення і некроз. У легенях на тлі розладів кровообігу і масивних крововиливів є безліч дрібних (ацинозних, часточкових) вогнищ серозно-геморагічної пневмонії, що чергуються з фокусами гострої емфіземи і ателектаза.
•У випадках блискавичного перебігу грипу можливий токсичний геморагічний набряк легенів. Дрібні крововиливи в головному мозку, внутрішніх органах, серозних і слизових оболонках, шкірі. Нерідко такі хворі помирають на 4-5-й день захворювання від крововиливів у життєво важливі центри або дихальної недостатності.
2)грип з легеневими ускладненнями обумовлений приєднанням вторинної інфекції (стафілокок, стрептокок, пневмокок, синьогнійна паличка).
•Ступінь запальних і деструктивних змін наростає від трахеї до бронхів і тканини легень. У найбільш важких випадках в гортані і трахеї знаходять фібринозно-геморагічне запалення з великими ділянками некрозу в слизовій оболонці і утворенням виразок. Розвивається деструктивний панбронхіт з послідовним формування гострих бронхоектазів, ателектазів та емфіземи. Характерна бронхопневмонія з нахилом до розвитку абсцесів, некрозу та крововиливів. В епітеліальних клітинах знаходять цитоплазматичні включення та АГ вірусу, в гістологічних зрізах легень – колонії мікробів. При розтині: легені збільшені в розмірах, мають пістрявий вигляд – « великі пістряві грипозні легені». В патологічний процес часто втягується плевра ( серозний або фібринозний плеврит, можлива емпієма плеври, яка може ускладнитись гнійним перикардитом або медіастинітом.)
Позалегеневі зміни при грипі
Внутрішні органи: дистрофічні та запальні процеси із розладами гемоциркуляції .
В серці, печінці, нирках: гіперемії, петехіальні крововиливи, білкова і жирова дистрофія паренхіми, запальні зміни рідко. Дистрофічні зміни інтрамуральних ганглії серця.
В головному мозку: при тяжкій формі – набухання, вклинювання мигдаликів мозочка у великий потиличний отвір, веде до смерті. Іноді – серозний менінгіт, може поєднуватись з енцефалітом.
Нерви: дистрофічні і запальні зміни у вузлах блукаючого та симпатичних нервів, у стовбурах периферичних нервів.
Вени: запальні зміни + утворення тромбів ( тромбофлебіт)
Артерії: осередковий лізис внутрішньої еластичної мембрани з потовщенням інтими і пристінковими тромбами – тромбоартеріїт.
Ускладнення грипу – головним чином з боку легень. Карніфікація ексудату, облітеруючий бронхіт і бронхіоліт, склероз стінки бронхів призводить до:
-бронхоектазів
-пневмофіброзу
-хронічної обструктивної емфіземи
-хронічної пневмонії
-легенево-серцевої недостатності
Ускладнення у нервовій системі ( енцефаліт, арахноїдит, неврит) спричиняють інвалідизацію хворих.
Особливості перебігу грипу у дітей.
У дітей раннього віку захворювання протікає важче
• часто розвиваються легеневі і позалегеневі ускладнення
•загальна інтоксикація
• ураження нервової системи
•велика кількість петехій у внутрішніх органах, серозних і слизистих оболонках.
•Місцеві зміни іноді супроводжуються катаральним запаленням і набряком слизистої оболонки гортані, звуженням її просвіту (несправжній круп) і асфіксією.
Особливості клінічного перебігу та морфологічних особливостей грипу А.
Захворювання найчастіше зумовлюють віруси типу А. Епідемії грипу, викликані вірусом цього типу, виникають через кожні 1-2 роки. Вірус грипу А більш вірулентний та контагіозний, ніж віруси грипу В і С. Це зумовлено тим, що вірус грипу А людини містить 2 різновиди N (N1, N2) і 3 різновиди H (H1, H2, H3). Останнім часом циркулюють переважно віруси A(H1N1) і A(H3N2). Після грипу, спричиненого вірусом типу А, імунітет зберігається не більше 2 років.
Особливості клінічного перебігу та морфологічних особливостей грипу В.
Цей серотип вірусу грипу майже виключно уражає людей і є менш поширений, ніж серотип A. Він мутує в 2-3 рази повільніше, ніж серотип A і, отже, менш генетично різноманітний. Тим не менш, серотип B здатний до мутацій, що призводить до зміни циркулючих штамів кожні 3-5 років, а це призводить до відповідних епідемій, яких спричинює цей серотип. Невеликий мутагенний потенціал в поєднанні з обмеженим колом носіїв вірусу, призводить до того, що пандемій грипу В не зафіксовано в природі.
Епідемії грипу, викликані вірусом цього типу, виникають через кожні 3-4 роки. Вірус В містить по одному різновиду H і N, тому він має лише різні серотипи усередині самого виду. Після грипу, спричиненого вірусом типу В, імунітет зберігається до 3-4 років.
Особливості клінічного перебігу та морфологічних особливостей грипу С.
Вірус грипу C заражає людей, собак і свиней. грип C зустрічається рідше, ніж інші типи, і зазвичай зумовлює тільки легке захворювання у дітей. Вірус С містить тільки H і не містить N, але він має рецептор, що руйнує ензим. Вірусу С не властива мінливість. Відсутність мутацій призводить до того, що людина хворіє на грип С практично один раз за життя. Після грипу, спричиненого вірусом типу С, імунітет зберігається протягом усього життя.
Вірусні інфекції. Парагрип – визначення, етіологія, патогенез, клініко-морфологічна характеристика, ускладнення.
Парагрип (від грец. раrа - біля ) - грипоподібне гостре інфекційне захворювання, що викликається вірусами парагрипу.
•Характеризується переважним ураженням дихальних шляхів і помірною інтоксикацією. Джерело інфекції – хвора людина або носій. Шлях передачі: повітряно-крапельний.
•Поширений повсюдно, складає близько 20% від загального числа ГРВІ. Під час епідемії грипу перебігає у вигляді супутнього захворювання.
•Хворіють люди різного віку, але переважно діти. Для дітей раннього віку особливо небезпечний у зв’язку з ризиком генералізації інфекції.
Етіологія
Збудники парагрипу- пневмотропні РНК- віруси типів 1-4, відносяться до сімейства Раrаmyхоviridаe. Віруси мають форму неправильних сфер діаметром 150-300 нм або довгих спіралей. Капсид вірусу містить чинник, що викликає
утворення багатоядерних клітинних симпластів.
Патогенез парагрипу схожий з таким при грипі, проте, інтоксикація виражена менше і перебіг захворювання більш легкий.
Парагрип, викликаний вірусами типів 1 і 2, протікає як легка форма грипу, проте при цьому часто виникають гострий ларингіт і набряк гортані, що ускладнюються несправжнім крупом і асфіксією.
Вірус парагрипу типу 3 веде до ураження нижніх дихальних шляхів,
а вірус типу 4 викликає інтоксикацію.
Клініко-морфологічна характеристика
Клінічно парагрип відрізняє поступовий початок та помірний інтоксикаційний синдром, субфебрильна температура, сухий («гавкаючий») кашель, сиплість голосу.
Патологічна анатомія. Характерною є проліферація епітелію трахеї і бронхів з появою поліморфних клітин, що мають одне або декілька пікнотичних ядер. Такі клітини утворюють подушкоподібні розростання. У легенях в серозно-десквамативному ексудаті зустрічаються такі ж багатоядерні клітини.
Інтерстиційна клітинна реакція в легенях виражена помірно, крововиливи -рідко.
Ускладнення виникають у разі приєднання вторинної інфекції. Найчастіше це:
• бронхопневмонія,
• ангіна,
• синусити,
• отит,
• євстахеїт,
• менінгоенцефаліт.
Причини смерті
При неускладненому парагрипі: асфіксія, обумовлена несправжнім крупом або вірусною пневмонією.
При приєднанні вторинної інфекції - легеневі ускладнення.
Вірусні інфекції. Респіраторно-синцитіальна інфекція – етіологія, патогенез, патоморфологія. Наслідки.
• Вірусні інфекції - це патологічний процес, що виникає через діяльність вірусів, викликаючи дистрофію та некроз клітин в яких він здійснює свою репродукцію.
• Респіраторно-синцитіальна інфекція (РС- інфекція) - гостре респіраторне інфекційне захворювання, яке сприченене респіраторно-синцитіальеим вірусом, який має високу контагіозність та носить епідемічний х-р.
• Етіологія - РС-вірус, РНК-вмісний, має властивість утворювати у культурі клітин гігантські клітини, синцитій, має діаметр 90-120 нм.
• Патогенез:
Інфекція розповсюджується повітряно-крапельним шляхом
Інкубаційний період 2-4 діб
Первична адсорбція з подальшим піноцитозом у клітини епітелію легень.
Відбувається реплікація вірусу. РНК вірусу транспортується на рибосоми ЕПР, де відбувається трансляція вірусного геному, потім у КГ відбувається дозрівання та збирання віріону.
АГ структура вірусу на поверхні уражених клітин з’єднує сусідні клітини утворюючи синцитій.
Репродукція в клітинах призводить до загибелі клітини та вивільненням новосформованих віріонів віруса
Віріони заселюють епітелій верхні дихальні шляхи
Викликаючи їх дистрофію, некроз та десквамацію клітин ВДШ.
Розвивається вторинна вірусемія, що супроводжуються вазопаралітичною (геморагії, стаз..) та імуносупремивною (зм. хемотаксис, фагоцитоз, виникають алергії) діями.
• Патоморфологія:
Проліферація епітелію трахеї, бронхів, бронхіол, альвеолярних ходів у вигляді сосочків або пластів з декількох клітин
Епітеліальні проліферати та ексудат призводять до обструкції бронхіального дерева утворюються вогнища гострої емфіземи та ателектаз легень
Клітина інфільтрація інтерстиціальної тканини легень виражена та поеднується с деструкцією стікок альвеол
При бронхопневмонії у запальному ексудаті наявна велика к-ть крупних клітин, що утворюють симпласти
Методом імунофлюорисценції можно виявити РС-антиген у клітинах альвеоляхних симпластив
При генералізації інвекції виявляються зміни у внутрішніх органах: кишківник, підшлункова залоза, печінка, нирки, що супроводжуються клітинною інфільтрацією, яка поєднана з сосочковими розростаннями епітелію. В ЦНС - очагова проліферація.
• Наслідки - у тяжких випадках смерть від пневмонії, що обумовлена вториннною інфекцією та генерацізацією інфекції або ускладненя через приєднання вторинної інфекції
Респіраторно-синцитіальна інфекція – це ГРВІ, збудником якої є РНК(-)вмісний респіраторно-синцитіальний вірус (RSV) родини Paramyxoviridae.
Це найчастіший збудник респіраторних інфекцій у дітей до 2 років. Смертельний вихід можливий при захворюванні малюків віком 1-6 місяців.
У старших дітей та дорослих інфекція протікає легко та елімінується самостійно.
Патогенез. Інфекція передається повітряно-крапельним шляхом під час кашлю та чхання. Репродукція відбувається в епітеліальних клітинах слизової оболонки верхніх і нижніх дихальних шляхів. Маніфестує в основному як бронхіоліт.
Патоморфологія:
ураження епітелію дрібних бронхіол, пневмоцитів 1го та 2го типів;
навколо артеріол – гостре запалення із нейтрофілами, моноцитами, Т-клітинами;
виражена обструкція дихальних шляхів за рахунок: решток запальних клітин, змішаних з фібрином та слизом, набряку міжальвеолярних перегородок і компресії їх гуперплазованими лімфоїдними фолікулами;
наявність гігантських клітин з ледь помітними рожевими цитоплазматичними включеннями.
Ускладнення: бронхіоліт, трехеобронхіт, пневмонія.


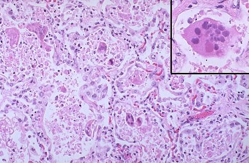
Вірусні інфекції. Аденовірусна інфекція –– визначення, етіологія, патогенез, клініко-морфологічна характеристика, ускладнення.
Аденовірусна інфекция - гостре респіраторне захворювання, спричинене аденовірусом, який пошкоджує дихальні шляхи, коньюктиву, лімфоїдну тканину.
• Етіологія - ДНК-вмісні (двонитчасті) віруси, що утворюють внутнішньоклітинні включення, діаметр віріона 70-90 нм.
• Патогенез:
Інфекція передається повітряно-крапельним шляхом
Адсорбція та піноцитоз у епітеліальні клітини
ДНК-вірусу транспортується у ядро, де відбувається репродукція вірусу
Цитопатична дія вірусу проявляється у формуванні внутрішньоядерних включень, що складаються з вірусних частин
Під час виходу віріонів з клітин відбувається лізис, що призводить до інтоксикації
Можлива подальша генералізація та приєднання вторинних інфекцій
• Патоморфологія:
Легка форма - гостре катаральне запалення ВДШ, глотки, регіональних лімфатичних вузлів, гострий коньюктивіт.
Слизова оолонка ВДШ гіперемована, набрякла, з петихіальними крововиливами, лімфогістоцитарною інфільтрацією та вираженою десквамацією епітеліальних клітин
У цитоплазмі фуксинові включення, ядро збільшене
В ексудаті, що складається з білкових мас з незначною к-тю макрофагів, лімфоїдних клітин, нейтрофілів та альвеолярного епітелію наявні аденовірусні клітини
В міжальвеолярних перегородках зустрічаються аденовірусні клітини, іноді у альвеолах утворюються гіалінові мембрани.
Тяжка форма - обумовлена генералізацією інфекції або приєднанням вторичних інфекцій
При генералізації розмножуються в епітеліальних клітинах кишківника, печінки, нирок, підшлункової залози, гангліозних клітинах головного мозку утворюючи аденовірусні клітини
У цих органах виникають розлади кровопостачання та виникає некроз
Приєднянна вторинних інфекцій викликає некроз та нагноєння.