Патологічна анатомія:
Генералізоване збільшення лімфовузлів,селезінки,печінки
Ангіна з набряком глоточного кільця і геморагічним діатезом
Лімфовузли соковиті з осередками некрозу
Мигдалики збільшені,набряклі,повнокровні,в плівці або некротизовані та з виразками
Печінка і селезінка збільшені
Мікроскопічно:
Структура лімфовузлів стерта ,складається з макрофагальних і атипових лімфоїдних клітин,зустрічаються багатоядерні гігантські клітини.
В селезінці набряк і інфільтрація мононуклеарами капсули,що може призвести до її розриву та смерті від кровотечі.
В кістковому мозку острівці гіперплазії лімфоїдних та моноцитарних клітин.
Типовою ознакою хвороби є зміни печінки-інфільтрати лімфоїдних,плазматичних та мононуклеарних клітин в портальні тракти.Але архітектоніка часточок зберігається.
Ураження нервової системи проявляється менінгоенцефалітом -набряк,крововиливи,дистрофія гангліозних клітин,проліферація лімфоцитів,гістіоцитів та мононуклеарів в тканинах мозку.
При прояві ураження нервової системи у вигляді полірадикулоневриту виникає набряк нервових корінців,пошкодження мієлінових оболонок,інфільтрація клітинами.В спинномозкових гангліях –вакуолізація і хроматоліз гангліозних клітин,крововиливи.
Смерть настає від розриву селезінки або периферичного паралічу дихання(наслідок полірадикулоневриту)



Вітряна віспа: етіологія, патоморфологія, ускладнення. Причини смерті.
Вітряна віспа-гостре інфекційне захворювання дітей з характерним:
Плямисто-везикулярним висипом на шкірі і слизових оболонках.
Етіологія: Збудником є ДНК-вірус герпесу(елементарні тільця Араго)
Джерело захворювання-хвора людина.
Передається повітряно-крапельним шляхом.
Рідко трансплацентарно з розвитком фетопатії.
Патогенез:
Вірус потрапляє в дихальні шляхи
Проникає в кров і там розмножується
Зосереджується в епідермісі шкіри і слизових.
Патологічна анатомія:
Поява на шкірі червоних сверблячих плям з везикулою в центрі(заповнена рідиною).
Коли вона підсихає,утворюється чорна кірка. Везикули розташовані переважно на тулубі і волосяній частині голови,слизовій ротової порожнини,гортані. При мацерації везикул утворюються ерозії.
Генералізовані осередки некрозу та ерозії в легенях,печінці,нирках,підшлунковій,слиз осли ШКТ,ССШ,ВДШ
Макроскопічно: осередки пошкодження сірого кольору з чорно-червоним вінчиком ,представлені ділянками коагуляційного некрозу.По периферії знаходяться вірусні включення.
Мікроскопічно:
Процес утворення везикул
Балонна дистрофія остеоподібного шару епідермісу
Поява гігантських багатоядерних клітин
Загибель епідермісу з утворенням порожнин
Сполучення порожнин у везикулу,що заповнена рідиною
Ускладнення:
Стафілококовий сепсис(приєднана інфекція)
Смерть:
Від приєднаного стаф.сепсису
Від генералізованого ураження внутрішніх органів.

Протозойні інфекції: малярія патоморфологія, ускладнення. Причини смерті.
МАЛЯРІЯ
МАЛЯРІЯ-гостре або хронічне рецидивне інфекційне захворювання,яке має різні клінічні форми в залежності від терміну дозрівання збудника.
Етіологія:Збудником є плазмодій малярії
Носієм збудника є комарі роду Анофелес.
Патогенез:
Укус комара і плазмодій потрапляє в кров
Паразитування плазмодію в еритроцитах і його розмноження безстатевим шляхом-шизогонія.
Шизонти накопичують в цитоплазмі гемомеланін.
Гемоліз:вивільнення пігменту і паразиту з еритроцитів.Макрофаги фагоцитують пігмент,а шизонти знову потрапляють в еритроцити.
Розвиток гемолітичної жовтяниці,гемо меланоз,гемо сидероз ретикулоендотеліальної системи---склероз
!!!В періоди гемолізу виникають стаз,діапедезні крововиливи.
Поява в крові токсичних імунних комплексів(вражають мікроциркуляторне русло-геморагії+гломерулонефрит)
Патологічна анатомія:
Розрізняють 3 форми малярії:
1.Триденна
Анемія(плазмодій спричиняє гемоліз,вміє оселятися в ретикулоцитах)
Малярійна гепатоспленомегалія(макрофаги фагоцитують гемомеланін)
Гіперплазія чкм(те саме)
Органи стають темно-сіримиабо чорними(гемомеланін)
Гемолітична жовтяниця
2.Чотириденна-потібна до триденної
3.Тропічна-подібна до триденної,але:
Паразитарні стази( ці шизонти скупчуються в термінальних ділянках кров’яного русла)—це небезпечно для головного мозку---малярійна кома
Головний мозок димчастого забарвлення з крапковими крововиливами(аглютиновані еритроцити з паразитом в цитоплазмі) або гіаліновими тромбами
Осередки некрозу в головному мозку
На межі некрозу і крововиливу через 2 доби після початку коми розростається глія ,утворюються вузли-гранульоми Дюрка
Ускладнення:
Гломерулонефрит
Виснаження
Амілоїдоз
Смерть настає переважно при тропічній формі внаслідок коми

Протозойні інфекції: токсоплазмоз патоморфологія, ускладнення. Причини смерті.
ТОКСОПЛАЗМОЗ
ТОКСОПЛАЗМОЗ-хронічне набуте або вроджене паразитарне захворювання,з пошкодженням головного мозку і очей.
Етіологія:Збудник-токсоплазма.
При розмноженні в клітинах хазяїна утворює псевдо цисти,у випадках носійства справжні цист.
Джерелом зараження людини є собаки і кішки,також фаховий контакт з тваринами і птахами,вживання недостатньо обробленого м’яса,яєць.Можливий трансплацентаний механізм.
Патогенез:
При уродженому
ембріон-тяжкі вади і смерть
ранній фетальний період-рання фетопатія(залишкові зміни мозку)
пізній фетальний період-пізня фетопатія(менінгоенцефаліт)
під час пологів-генералізоване інфекційне захворювання.
!!!при латентних формах у здорової жінки може народитись хвора дитина,тому важливим є вияв легких форм за допомогою серологічних реакцій(РЗК,шкірна алергічна проба з токсоплазмином,реакція з фарбником Себіна-Фельдмана).
При набутому
Вхідні ворота-слизова,пошкоджена шкіра
Цисти розчиняються в ШКТ
Паразит проникає в лімфотік або кровотік
Фіксація на лімфовузлах або інших органах
Запалення на місці або утворення цист.
Патологічна анатомія:
При уродженому
Рання фетопатія
Мікроцефалія
Численні кісти вздовж звивин
Гліоз(ущільнення мозкової тк)
Кальциноз мозкової тк
Гідроцефалія
Мікрофтальмія
Катаракта
Пізня фетопатія
Некроз(псевдоциста з паразитом)
Кальциноз
Продуктивний енцефаліт
Менінгіт
Епендимі
Гідроцефалія
Крововиливи
Некротичний ретиніт і увеїт
При генералізованій формі
Зміни головного мозку(без змін-вісцеральний токсоплазмоз)
Гепатоспленомегалія(мієлоеритробластоз,некроз,кальциноз,псевдоцисти,холестаз)
Жовтяниця
Виразки кишечника
Міокардит
Пневмонія
При набутому
Гіперплазія лімфовузлів з гранульомами і збудником
Некрози ,васкуліти вн.органів
Міокардит,гепатит-гранулематозне запалення
Пневмонія
Менінгоенцефаліт
Ускладнення
Виснаження,параліч,розумова відсталість,сліпота,гнійний менінгоенцефаліт,піоцефалія
Смерть від прогресуючого ураження головного мозку.

Особливості морфологічної діагностики малярії в залежності від стадії.
МАЛЯРІЯ
МАЛЯРІЯ-гостре або хронічне рецидивне інфекційне захворювання,яке має різні клінічні форми в залежності від терміну дозрівання збудника.
Етіологія:Збудником є плазмодій малярії
Носієм збудника є комарі роду Анофелес.
Патогенез:
Укус комара і плазмодій потрапляє в кров
Паразитування плазмодію в еритроцитах і його розмноження безстатевим шляхом-шизогонія.
Шизонти накопичують в цитоплазмі гемомеланін.
Гемоліз:вивільнення пігменту і паразиту з еритроцитів.Макрофаги фагоцитують пігмент,а шизонти знову потрапляють в еритроцити.
Розвиток гемолітичної жовтяниці,гемо меланоз,гемо сидероз ретикулоендотеліальної системи---склероз
!!!В періоди гемолізу виникають стаз,діапедезні крововиливи.
Поява в крові токсичних імунних комплексів(вражають мікроциркуляторне русло-геморагії+гломерулонефрит)
Патологічна анатомія:
Розрізняють 3 форми малярії:
1.Триденна
Анемія(плазмодій спричиняє гемоліз,вміє оселятися в ретикулоцитах)
Малярійна гепатоспленомегалія(макрофаги фагоцитують гемомеланін)
Гіперплазія чкм(те саме)
Органи стають темно-сіримиабо чорними(гемомеланін)
Гемолітична жовтяниця
2.Чотириденна-подібна до триденної
3.Тропічна-подібна до триденної,але:
Паразитарні стази( ці шизонти скупчуються в термінальних ділянках кров’яного русла)—це небезпечно для головного мозку---малярійна кома
Головний мозок димчастого забарвлення з крапковими крововиливами(аглютиновані еритроцити з паразитом в цитоплазмі) або гіаліновими тромбами
Осередки некрозу в головному мозку
На межі некрозу і крововиливу через 2 доби після початку коми розростається глія ,утворюються вузли-гранульоми Дюрка
Ускладнення:
Гломерулонефрит
Виснаження
Амілоїдоз
Смерть настає переважно при тропічній формі внаслідок коми

Натуральна віспа: етіологія, патоморфологія, ускладнення. Причини смерті.
НАТУРАЛЬНА ВІСПА-гостре контагіозне вірусне захворювання з ураженням легень,шкіри.
Етіологія:Збудник-ДНК-вірсу(елементарні тільця Пашена,тільця Гуарнієрі)
Джерело інфекції –хвора людина.
Передається повітряно-крапельним шляхом.
Патогенез:
Вхідні ворота-органи дихання,після чого наступає вірусемія і виникають множинні ураження,що особливо виражені в шкірі.
Патологічна анатомія:
Найбільш типовим є ураження шкіри і дихальних шляхів.
Розрізняють 3 форми натуральної віспи:
Папулопустульозна-характернийвисип на обличчі,волосяній частині голови,шиї,грудях,спині.Виникає гідро пічна дистрофія епідермісу—балонна дистрофія.
Балоноподібні клітини зливаються між собою і утворюють пухирці.Спочатку мають вигляд папул,а потім гноячків-пустул.
Геморагічна-приєднання до пустул і папул великоплямистих крововиливів,які зливаються між ---утв.кровоточиві дефекти шкіри «чорна віспа».
Варілоїд-легкаформа,з висипом або без
В трахеї і бронхах-везикули і пустули
В легенях-осередки некрозу
В слизовій ротової порожнини,стравоходу,кишечника,піхви-пустули і виразки
В яєчках-некротичний орхіт
В кістках-віспяний остеомієліт
Селезінка-збільшена,повнокровна,мієлоз.
Лімфовузли-гіперплазія фолікулів,фокуси некрозу.
Ускладнення:
Віспяні гнояки ока-руйнування рогівки і сліпота
Пошкодження слизової середнього вуха-глухота
Пустули---флегмона шкіри
Легені---абсцеси і гангрена
Смерть через:віспяний токсикоз,сепсис,приєднання бак.інфекції.




Протозойні інфекції: амебіаз патоморфологія, ускладнення. Причини смерті.
АМЕБІАЗ
АМЕБІАЗ-хронічне протозойне захворювання,в основі якого лежить хронічний рецидивуючий виразковий коліт.
Етіологія і патогенез :
Збудник Entamoeba hystolitica
Зараження відбувається аліментарним шляхом інцистованими амебами(захищені оболонкою,що розплавляється аж в сліпій кишці).
Патологічна анатомія:
В товстому кишечнику амеба викликає набряк і гістоліз,некроз слизової,утворення виразок.
Морф.зміни найбільш характерні в сліпій кишці-хронічний виразковий коліт.
Ділянки некрозу забарвлені в сіро-зелений колір.(поширюється в підслизовий і м’язовий шари)
Амеби знаходяться на межі некрозу і здорової тканини.
При приєднанні вторинної інфекції,виникає лейкоцитарна реакція і утворюється гній.
Іноді розвивається гангренозна і флегмонозна форма коліту.
Виразки загоюються рубцем.
Регіонарні лімфовузли збільшені.
Ускладнення:
1.Кишкові:прорив виразки,кровотеча,утворення рубців,розвиток інфільтратів навколо зони ураження.
2.Позакишкові:абсцес печінки.



Вроджена краснуха – визначення, клініко-морфологічна характеристика.
КРАСНУХА
Краснуха-гостре інфекційне захворювання,що характеризуються :
пятнистими висипами на шкірі
незначним катаральним запаленням ВДШ і кон’юктиви
збільшенням лімфовузлів потиличних та латеральних шийних
Етіологія:Збудник краснухи РНК-ВІРУС (Рубівірус)
Джерелом захворювання є людина
Патогенез:
Передається повітряно-крапельним шляхом.
Вхідні ворота-слизова ВДШ.
Проникнення вірусу через слизову.
Розмноження в регінарних(потиличних і шийних) лімфовузлах
Розвиток лімфаденіту---вірусемія
!Вірус має тропність до ендотелію судин,нервової і ембріональної тканини.Тому виникає:
Риніт,тонзиліт,конюктивіт
Субфебрильна лихорадка
Вогнещева запальна реакція-висипання
(на розгинах кінцівок,спині,ягодицях)
Як і в кору є енантеми та екзантеми.
Класифікація краснухи:
Набута форма
Вроджена форма-ураження НС,пороки серця,слуху,зору.
Патологічна анатомія(те саме,що і кір)
Набута форма майже завжди завершується
виздоровленням,тому гістологічні особливості вивчені мало. Найбільше значення має вроджена форма(під час вагітності вірус проникає через плаценту).Наслідки:
-Самостійний аборт
-Внутрішньоутробна загибель плода
-Порушення ембріогенезу(блок.мітозу)
Характерною є класична тріада Грега(синдром вродженої краснухи):
Порок серця
Катаракта
Глухота
Якщо зараження відбувається після завершення органогенезу,то розвиваються фетопатії:
Гемолітична анемія
Тромбоцитопенічна пурпура
Гепатоспленомегалія
Гепатит
Ускладнення:
При набутій формі виникають рідко:
артрит,тромбоцитопенія,енцефаліт,енцефаломієліт

Краснуха – гостре вірусне інфекційне захворювання, що характеризується помірним катаральним синдромом, екзантемою та лімфаденопатією.
Збудник – РНК-вмісний вірус родини Togaviridae. Краснуха є антропонозом. Механізм передачі – повітряно-крапельний. Вхідними воротами для збудника є респіраторний епітелій носової частини горла. Після періоду віремії збудник поширюється до лімфатичних вузлів.
Клінічний перебіг краснухи. Набута форма захворювання починається із появи висипу (червоно-рожевих плям) та збільшення лімфатичних вузлів (патогномонічно для краснухи – двобічне збільшення задньошийних лімфатичних вузлів); характерні також ринорея та кон’юнктивіт. Вроджена краснуха характеризується порушенням слуху, катарактою, глаукомою, вадами серця (відкрита артеріальна протока, стеноз легеневої артерії), тощо.
Реплікація віруса краснухи у лімфоїдній тканині призводить до появи у крові клітин Тюрка (лімфоцитів-плазмоцитів).
Протозойні інфекції: лейшманіоз патоморфологія, ускладнення.
Причини смерті.
Лейшманіоз вісцеральний - трансмісивна протозойная хвороба, що характеризується переважно хронічним перебігом, хвилеподібною лихоманкою, сплено- і гепатомегалією, прогресуючою анемією, лейкопенією, тромбоцитопенією і кахексією.
Етіологія
Збудник середземноморсько-середньоазіатського вісцерального лейшманіозу - L. infantum.
Ведучий механізм передачі інфекції - трансмісивний, через укус інвазованих переносників - москітів роду Phlebotomus. Можливі зараження при гемотрансфузіях від донорів з латентною інвазією і вертикальна передача лейшманій.
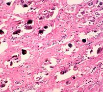
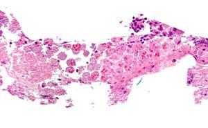
Патогенез і патологічна анатомія.
Промастіготи лейшманій захоплюються макрофагами, перетворюються в них в амастіготи і розмножуються. У місці проникнення паразита формується гранульома, що складається з макрофагів, що містять лейшманії, ретикулярні, епітеліоїдні і гігантських клітин (первинний афект). Через кілька тижнів гранульома має зворотний розвиток або рубцювання.