Материал: Черешнев ВА, Шилов, Черешнева. Экспериментальные модели в патологии

Внимание! Если размещение файла нарушает Ваши авторские права, то обязательно сообщите нам

ванных к стенкам и свободно циркулирующих тромбоцитарных, фиб­ риновых и тромбоцитарно-фибриновых тромбов.

Увеличение вязкости крови и лимфы наблюдается при диарее, продолжительной рвоте, обширных ожогах, миеломной болезни, пара­ протеинемиях, снижении температуры тела, полицитемии.

Белки плазмы адсорбируются на поверхности мембраны эрит­ роцитов, изменяя ее вязко-эластические свойства и деформабильность

(деформируемость) эритроцитов.

Деформабильность является важнейшим свойством эритроци­ тов, обусловливающим их способность выполнять транспортную функцию. В норме эритроциты способны существенно деформиро­ ваться при прохождении через капилляры, не меняя при этом своего объема и площади. Эритроциты легко проникают через капилляры с диаметром меньше 3 мкм, хотя имеют диаметр от 7 до 8 мкм. Это спо­ собствует поддержанию диффузии газов на высоком уровне на протя­ жении всего микроциркуляторного русла.

Деформабильность эритроцитов обусловлена следующими факторами:

внутренней вязкостью (концентрацией внутриклеточного гемоглобина),

деформируемостью цитоскелета,

поддержанием формы двояковогнутого диска,

свойствами мембраны, которые обеспечивают форму и эла­ стичность эритроцитов.

К факторам, снижающим деформабильность эритроцитов,

относятся:

образование стойких соединений гемоглобина с глюкозой,

повышение концентрации холестерина в эритроцитах,

увеличение концентрации свободного Са2+ ,

уменьшение содержания АТФ в эритроцитах,

изменение липидного спектра мембран (нарушение соотно­ шения холестерин/фосфолипиды),

абсорбция на поверхности эритроцитарных мембран белков плазмы и, прежде всего, фибриногена,

активация перекисного окисления липидов (ПОЛ),

генетические аномалии белков цитоскелета (вследствие чего образуются эритроциты измененной формы – сфероциты, овалоциты и др.).

При ухудшении деформабильности поступление кислорода в клетки резко снижается, развивается гипоксия.

70

Нарушение суспензионной стабильности крови

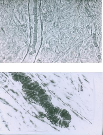
Суспензионная стабильность клеток крови обеспечивается величиной отрицательного заряда этих клеток (и, прежде всего, эрит­ роцитов), который зависит от нормального соотношения белковых фракций плазмы крови (глобулины + фибриноген/альбумин) и доста­ точной скоростью кровотока. Если наблюдается увеличение содержа­ ния положительно заряженных макромолекул глобулинов и/или фиб­ риногена, либо они адсорбируются на поверхности эритроцитов, эрит­ роциты и другие клетки крови легко агрегируют. Вязкость крови при этом повышается. Уменьшение скорости кровотока ещё больше спо­ собствует агрегации клеток крови. Феномен резко выраженной агрега­ ции и агглютинации форменных элементов крови (преимущественно эритроцитов) называют сладж (англ. sludge – густая грязь, тина) (рис. 8, 9).

Причинами развития сладжа являются:

расстройство центральной и регионарной гемодинамики,

повышение вязкости крови,

повреждение стенок сосудов микроциркуляторного русла. К основным механизмам сладжа относятся:

активация клеток крови и тканей с высвобождением медиа­ торов, обладающих проагрегантным действием, – АДФ, тромбоксана А2, гистамина, прстагландинов, серотонина и др.,

уменьшение отрицательного заряда клеток в результате фик­ сации на их поверхности положительно заряженных макромолекул беков (фибриногена, белков острой фазы),

избыток катионов (К+, Са2+, Na+, Mg2+ и др.), выходящих из по­

врежденныхклетокиизменяющихзарядэритроцитов,

– фиксация на поверхности клеток крови белков острой фазы, спо­ собствующихгравитационномуоседаниюклеток.

Последствия сладжа. В результате внутрисосудистого обра­ зования необратимых агрегатов клеток крови (преимущественно эрит­ роцитов) нарушаются реологические свойства крови, снижается ее текучесть, происходит сепарация кровотока, повреждение эндотелия, возникают расстройства микроциркуляции и развивается капилляротрофическая недостаточность. При капилляро-трофической недоста­ точности формируются выраженные нарушения метаболизма и функ­ ций органов и тканей, а также недостаточный уровень трофического обеспечения. Капилляро-трофическая недостаточность может быть неспецифическим звеном патогенеза хронических воспалительных, склеротических и дистрофических процессов в любых органах.

71

Рис. 9. Сладж (по В.К. Хугаевой и А.В. Ардасенову, 2012)

уменьшением притока артериальной крови, увеличением кровотока через артерио-венулярные шунты.

Увеличение скорости кровотока наблюдается при артериаль­ ной гиперемии.

Увеличение юкстакапиллярного тока крови

Артериоло-венулярные анастомозы (шунты) – кровеносные сосуды, соединяющие артериолы с венулами (рис. 10). Они способст­ вуют преодолению сопротивления току крови в капиллярах, минуя зоны местного застоя. При нарушении юкста-капиллярного кровотока могут развиться следующие виды расстройства микроциркуляции: артериальная гиперемия (в случае закрытия всех шунтов при увели­ ченном притоке крови), ишемия и венозная гиперемия (при чрезмер­ ном раскрытии анастомозов кровь сбрасывается из артериол в вену­ лы).

2. Трансваскулярные (чрессосудистые, трансмуральные) нарушения микроциркуляции

Важным звеном патогенеза многих заболеваний и патологиче­ ских процессов является повышение проницаемости стенки микросо­ судов (транскапиллярного обмена). Причинами могут служить воспа­ ление, аллергические реакции, заболевания инфекционной природы,

73