Материал: АКУШ. ПАТОЛОГИя-декабрь 2018 (полный)

Внимание! Если размещение файла нарушает Ваши авторские права, то обязательно сообщите нам

нарушенная трубная беременность;

повторная трубная беременность в ранее оперированной маточной трубе;

основной метод лечения при прогрессирующей трубной беременности при β-ХГЧ более

3000-5000 МЕ/л.

Хирургический доступ определяется состоянием пациентки, а также навыками

хирурга. При наличии геморрагического шока оптимальным доступом является лапаротомия, позволяющая наиболее быстро остановить кровотечение. При стабильной гемодинамике предпочтителен лапароскопический доступ.

Показания и условия к сальпинготомии:

отсутствие разрыва плодовместилища (прогрессирующая трубная беременность или нарушенная по типу трубного аборта);

отсутствие геморрагического шока;

необходимость сохранения репродуктивной функции;

у пациенток с нарушениями репродуктивной функции из-за трубно-перитонеального фактора – внематочная беременность в анамнезе, отсутствие или заболевание второй маточной трубы, предыдущие операции или воспалительные заболевания органов малого таза.

Этапы сальпинготомии: лапароскопия (предпочтительно) или лапаротомия (нижнесрединный продольный разрез или поперечный по Пфаненнштилю), продольное рассечение трубы (рис. 3), удаление плодного яйца, ушивание стенки трубы узловыми швами, туалет брюшной полости, послойное ушивание брюшной полости.

Рис. 3. Сальпинготомия.

При наличии здоровой контралатеральной маточной трубы предпочтительна сальпингэктомия, а не сальпинготомия.

Этапы сальпингэктомии: лапароскопия или лапаротомия, наложение зажимов на перешеек трубы, мезосальпингс, удаление трубы вместе с плодным яйцом, перитонизация за счет круглой связки матки, туалет брюшной полости, послойное ушивание брюшной полости

(рис. 4).

Хирургическое лечение внетубарной эктопической беременности.

При овариальной беременностипроводится овариоэктомия или резекция яичника (в зависимости от локализации и степени деструктивных изменений.

При беременности в рудиментарном роге или интерстициальном отделе трубы:

клиновидная резекция угла матки лапаротомическим или лапароскопическим доступом с последующей реконструкцией матки (иногда в сочетании с тубэктомией на пораженной стороне) либо удаление рудиментарного рога – при необходимости сохранения репродуктивной функции; при обширном повреждении матки – экстирпация матки.

21

Рис. 4. Этапы сальпингэктомии: наложение зажимов на перешеек трубы и мезосальпингс, отсечение трубы вместе с плодным яйцом, мобилизация круглой связки, перитонизация.

При интерстициальной беременности при отсутствии чрезмерного кровотечения возможна гистерорезектоскопия под контролем лапароскопии.

При беременности в рубце на матке: органосохраняющая операция (удаление плодовместилища с иссечением рубца, пластикой стенки матки) или гистерэктомия.

При абдоминальной беременности оперативное вмешательство представляет большие трудности. Вмешательство состоит в удалении плдовместилшца и гемостазе, который произвести бывает чрезвычайно трудно, особенно если плацента прикреплена к кишечнику, брыжейке, печени. В зависимости от срока и размеров плодного яйца проводится резекция органа (вылущивание плодного яйца), при беременности большого срока – абдоминальное родоразрешение с перевязкой пуповины поблизости от плаценты.

При указанных локализациях эктопической беременности для профилактики массивной кровопотери возможна предварительная эмболизация или перевязка сосудов.

Консервативное лечение – медикаментозная терапия метотрексатом или метотрексатом в сочетании с фолиевой кислотой. В РФ инструкцией по применению метотрексата не предусмотрены показания и схемы лечения внематочной беременности, его использование возможно только с информированного добровольного согласия пациентки в качестве альтернативы радикальному хирургическому лечению при необходимости сохранения репродуктивной функции.

Лечение метотрексатом может проводиться только при прогрессирующей внематочной беременности малого срока (диаметр плодного яйца не превышает 35 мм,

уровень β-ХГЧ в интервале 1500-5000 МЕ/л) у гемодинамически стабильных пациенток без выраженного болевого синдрома, после исключения маточной беременности по УЗИ. Препарат вводится внутримышечно в дозе 50 мг/м2, затем на 4-й и 7-й дни проводится контроль уровня сывороточного β-ХГЧ: при снижении показателя более, чем на 15% от исходного, повторяют исследование 1 раз в неделю до уровня менее 15 МЕ/л. При снижении β-ХГЧ менее, чем на 15% от исходного, повторно проводят ТВ-УЗИ и, при сохранении признаков внематочной беременности, вводят еще одну дозу метотрексата. На время лечения пациентка должна находиться под наблюдением врача, в случае появления признаков кровотечения проводится хирургическое лечение.

Комбинированное лечение – хирургическое и консервативное: при шеечной, интерстициальной, брюшной беременности.

У пациенток с резус-отрицательной кровью и прервавшейся внематочной беременностью высок риск аллоиммунизации, для профилактики которой необходимо вводить

22

анти-резус иммуноглобулин.

Реабилитация репродуктивной функции.

Этимероприятия осуществляются в предоперационном периоде, во время операции и в раннем послеоперационном периоде. Методы лечения и его результаты во многом зависят от времени, прошедшего от начала заболевания до операции. Доказано, что при позднем оперативном вмешательстве нарастают изменения воспалительного характера как в беременной, так и в другой трубе. Интраоперационно после выполнения основного объема оперативного вмешательства и санации в брюшную полость с целью профилактики спаечного процесса могут вводиться противоспаечные барьеры (ферментные препараты – гели с гиалуронидазой). В послеоперационном периоде после стабилизации клинического состояния целесообразно назначать противовоспалительную терапию, физиотерапевтическое лечение (УВЧ, магнито-, лазеротерапия, электрофорез с лидазой на область придатков). Второй курс физиотерапии следует назначать через месяц после операции: индуктотермия, рассасывающая терапия.

ПУЗЫРНЫЙ ЗАНОС

Пузырный занос – это вариант проявления патологии трофобласта, так называемой трофобластической болезни, или трофобластических опухолей. Понятие «трофобластическаяболезнь» обобщает несколько связанных между собой различных форм патологического состояния трофобласта: простой пузырный занос, инвазивный пузырный занос, хориокарцинома, опухоль плацентарного ложа и эпителиоидная трофобластическая опухоль.

Трофобластические опухоли составляют 1% от всех онкогинекологических опухолей и поражают женщин преимущественно репродуктивного возраста, характеризуются высокой злокачественностью, быстрым отдаленным метастазированием и, при этом, высокой частотой излечения только с помощью химиотерапии даже при наличии отдаленных метастазов. После излечения сохраняется репродуктивная функция у абсолютного большинства молодых женщин.

Частота возникновения различных форм трофобластической болезни: полный пузырный занос – 72,2%, частичный пузырный занос – 5%, хориокарцинома– 17,5%, другие формы – 5,3%. Трофобластические опухоли возникают в результате малигнизации различных элементов трофобласта (цито-, синцитиотрофобласта, промежуточных клеток), что обязательно ассоциируется с беременностью. Злокачественные трофобластические опухоли могут развиться во время беременности, после родов, аборта, внематочной беременности, но чаще всего– после пузырного заноса.

Этиопатогенез.

Пузырный занос, как и другие трофобластические опухоли, всегда является результатом генетических нарушений беременности.

Пузырный занос – это перерождение ворсинок хориона и превращение их в гроздевидные образования, состоящие из прозрачных пузырьков. В литературе описаны случаи пузырного заноса, пузырьки которого имели величину от просяного зерна до виноградин и больше. Пузырьки как бы сидят на тонких стебельках, между которыми можно обнаружить частицы децидуальной оболочки (рис. 5). Пузырный занос локализуется в матке (реже — в маточной трубе), чаще возникает у юных и пожилых беременных, в низкой социальноэкономической среде.

23

а) б)

Рис. 5. Пузырный занос (макропрепарат): а) матка при полном пузырном заносе; б) пузырьки (отечные ворсины) пузырного заноса (указаны стрелками).

Простой пузырный занос в большинстве случаев – процесс доброкачественный, не обладает инвазивным ростом, не метастазирует. Частота излечения — 100%. Выделяют два вида пузырных заносов: полный и частичный.

При полном пузырном заносе, который чаще развивается в первом триместре беременности, происходит полное перерождение плодного яйца и при этом плод погибает.Полный пузырный занос чаще выявляется в сроки 11-25 недель беременности, диплоидный, имеет набор хромосом 46ХХ или 46ХУ, при этом все хромосомы – отцовские; характеризуется отсутствием признаков зародышевого и эмбрионального развития. Злокачественная трансформация возникает в 20% случаев, при 46ХУ чаще развивается метастатическая опухоль. Первым клиническим признаком является несоответствие размеров матки сроку беременности: матка больше срока беременности. Макроскопически визуализируются отечные хориальные ворсинки, пузырьки.

При неполном (частичном) пузырном заносе перерождается только часть хориальной ткани, может диагностироваться в сроки от 9 до 34 недель, хотя чаще всего это бывает после 3- х месяцев беременности. Частичный пузырный занос всегда триплоидный, с одной материнской хромосомой (чаще – 69ХХУ, 69ХХХ, реже – 69ХУУ), имеют место фрагменты нормальной плаценты и плода. Частота малигнизации – около 5%. Клинически размеры матки меньше или соответствуют сроку, макроскопически определяются фрагменты плода, плаценты, отечные хориальные ворсины.

Наиболее частой формой является полный пузырный занос.

Характерной особенностью пузырного заноса является увеличение ХГЧ в 10-20 и даже в 100-200 раз по сравнению с нормой, повышенное содержание ХГЧ приводит к гиперстимуляции яичников, и они превращаются в текалютеиновые кисты, заполненные жидкостью. Эти кисты могут достигать размера головки новорожденного, после рождения пузырного заноса кисты подвергаются самостоятельно обратному развитию.

Особенностью инвазивного пузырного заноса является способность к быстрому и глубокому прорастанию (инвазии) в стенку матки (миометрий, периметрий), при этом может возникнуть тяжелое внутрибрюшное кровотечение. Инвазивный пузырный занос – это злокачественный процесс, склонен к метастазированию, преимущественно во влагалище, вульву, легкие, часто трансформируется в хориокарциному, хотя иногда возможна и спонтанная его регрессия. Морфологическое подтверждение инвазивного пузырного заноса возможно только в удаленной матке или метастатическом очаге. Прогноз – благоприятный, при своевременной диагностике излечение приближается к 100%.

Клиническая картина.

Пузырный занос чаще встречается у женщин в возрасте до 30 лет. Отмечаются симптомы, присущие беременности: прекращение менструаций, увеличение молочных желез и матки. Размеры матки, как правило, превышают ее размеры при данном сроке беременности (в 50%). После задержки менструации обычно появляются кровянистые выделения из половых

24

путей. У 50% больных образуются тека-лютеиновые кисты яичников, которые после удаления пузырного заноса могут подвергнуться обратному развитию. Резко увеличивается экскреция хорионического гонадотропина и его содержание в крови, выявляемое радиоиммунными методами.

Уже в первую половину беременности могут появиться осложнения различной степени выраженности: неукротимая рвота беременных, артериальная гипертензия, преэклампсия, явления гипертиреоза (теплая кожа, тахикардия, тремор, увеличение щитовидной железы). При разрыве текалютеиновых кист возможно внутрибрюшное кровотечение, инфекционные осложнения. У 2-3% пациенток возникает трофобластическая эмболизация с острыми дыхательными расстройствами (кашель, тахипноэ, цианоз) при размерах матки 20 недель и более; чаще развивается спустя 4 часа после эвакуации пузырного заноса. Серьезным осложнением пузырного заноса является ДВС-синдром.

Диагностикапузырного заноса на раннем сроке беременности может представлять значительные сложности в связи с отсутствием выраженных клинических признаков. За пузырный занос может говорить быстрый рост матки в первой половине беременности и наличие скудных кровянистых выделений, появление которых не сопровождается болями. Иногда в выделениях можно обнаружить мелкие пузырьки.

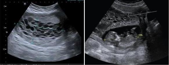
При ультразвуковом исследовании матки при полном пузырном заносе могут быть выявлены его элементы в виде гомогенной мелкоячеистой массы и отсутствие плода (рис. 6-а), а также наличие лютеиновых кист яичников.

а) б)

Рис. 6. Пузырный занос (сонограммы): а) полный (ячеистая масса в полости матки); б) частичный: между маркерами – погибший плод, стрелкой указан пузырный занос.

При частичном пузырном заносе на сонограммах могут выявляться деформированные элементы плода (эмбриона), оболочек, плаценты, амниотическая полость, ретрохориально определяется участок ячеистой структуры (пузырный занос), в котором при цветовом допплеровском картировании визуализируются области повышенной васкуляризации, а васкуляризация неизмененных ворсин хориона исчезает вслед за гибелью эмбриона (рис. 6-б).

Информативным является резкое увеличение уровня хорионического гонадотропина в

моче и крови. При нормальной беременности пик ХГЧ приходится на 9-10 недель, не превышает 150000 мМЕ/мл, в последующем снижается. При пузырном заносе уровень ХГЧ, как правило, в десятки раз выше, чем при нормальной беременности.

Лечение.

Пузырный занос следует незамедлительно удалить из полости матки. В настоящее время эвакуация пузырного заноса проводится с помощью вакуум-аспирации с последующим контрольным кюретажем (выскабливанием) матки. Ранее описывались методики пальцевого удаления пузырного заноса. Опорожнение матки должно быть тщательным, но бережным, поскольку при инвазивном пузырном заносе (прорастающим в миометрий) высок риск перфорации матки при выскабливании.

Обязательным является гистологическое исследование материала с целью

25