Каков диагноз?
Какие дополнительные методы исследования необходимо провести больной?
Какие дополнительные клинико-биохимические анализы необходимо провести?
Каковы этиопатогенетические предпосылки этого заболевания?
Какова тактика хирурга при этом заболевании?
Назначьте лечение больной.
Какие операции применяют при этом заболевании?
Как осуществлять контроль за ходом лечебных мероприятий?
Какие осложнения возможны у больной?
Какие способы профилактики этого заболевания Вы знаете?
Каков прогноз заболевания у данной больной?
Какая реабилитационная терапия показана больной?
Больная 67 лет поступила в клинику с жалобами на желтуху, кожный зуд, боли в эпигастральной области. Больна 2 недели. Моча темного цвета, кал обесцвечен. Живот мягкий, при пальпации в эпигастральной области болезненный. Количество общего билирубина – 212, прямого – 100 мкмоль/л, щелочной фосфатазы – 6, АлАТ – 0,65 ммоль/(ч.л), количество лейкоцитов – 5 • 109/л. При ультразвуковом сканировании отмечается увеличение желчного пузыря, расширение внутрипеченочных желчных протоков и холедоха. Больной выполнена чрескожная микрохолецистостомия и фистулохолангиография.

О каком заболевании идёт речь?
На основании обмена билирубина объясните клинические, лабораторные изменения?
Какие изменения выявлены при фистулохолангиографии?
Определите характер желтухи?
С какими заболеваниями следует дифференцировать данное состояние?
Назовите дополнительные методы исследования, применяемые при синдроме холестаза?
Какие лекарственные препараты Вы назначите для лечения больного?
Необходима ли операция, и если необходима, то в каком объеме?
Какие осложнения могут встретиться при хирургическом лечении заболеваний желчевыводящих путей?
Что включает в себя программа послеоперационного ведения больных с заболеваниями желчевыводящих путей.
Какие операции выполняются при желчнокаменной болезни, холедохолитиазе?
Назовите показания для диагностической холедохотомии?
У больной 26 лет отмечаются периодические приступы головокружения, слабости, дрожания во все теле. Указанные симптомы купируются после приема сладкого чая или внутривенного введения 40% раствора глюкозы. По поводу данного состояния была обследована. Объективно: больная повышенного питания, кожные покровы обычной окраски, со стороны сердца и легких патологии не обнаружено. Живот симметричен, не вздут, мягкий, безболезненный. Опухолевидные образования не определяются. В анализах крови и мочи, биохимических анализах отклонений от нормы нет; концентрация сахара крови на фоне приема сладкого колеблется от 4,4 до 6,6 ммоль/л, на фоне возникающей слабости снижение сахара до 2,5 – 3 ммоль/л. При проведении аортоцелиакографии (см. рис.) обнаружена зона гиперваскуляризации в области головки поджелудочной железы.

Какие заболевания можно заподозрить у данной больной?
Какие функциональные пробы можно использовать для верификации диагноза?
Перечислите методы инструментального обследования для клинической диагностики?
Какие признаки при целиакографии характерны для данного заболевания?
С какими заболеваниями следует провести дифференциальную диагностику?
Опишите возможные внеорганные места локализации морфологического субстрата.
Чем клинически проявляются гастринома, глюкогонома?
Почему поджелудочную железу относят к железам смешанной секреции?
Какие гормоны вырабатывает поджелудочная железа?
Влияние инсулина на углеводный и жировой обмен.
Способы хирургического лечения в зависимости от локализации опухоли.
Какие осложнения возможны в послеоперационном периоде?
У больного 60 лет через 3 года после резекции желудка по поводу каллезной язвы желудка диагностирована пептическая язва гастроэнтероанастомоза с выраженным болевым синдромом с иррадиацией в область левого реберно-позвоночного угла. Признаков стеноза анастомоза и кровотечения из язвы нет.
Сопутствующей патологии у пациента не выявлено.
На рентгенограмме в области гастроэнтероанастомоза имеется глубокая ниша диаметром до 4 см (рис.). При исследовании желудочной секреции отмечена высокая кислотность. При введении атропина на фоне интрагастральной рН-метрии отмечено резкое снижение секреции. Провокационный кальциевый тест не приводит к повышению желудочной секреции, что указывает на вероятное отсутствие гастриноклеточной гиперплазии.

Пептическая язва в области гастроэнтероанастомоза (1). Культя желудка (2) небольших размеров, нарушения эвакуации из культи желудка нет, проходимость анастомоза хорошая. Нормальная скорость продвижения контрастной взвеси по тонкой кишке
Каков клинический диагноз?
Какова причина образования пептической язвы?
Какие функциональные отделы желудка Вы знаете?
С какими заболеваниями следует проводить дифференциальный диагноз?
Опишите рентгенограмму желудка?
Какой метод инструментальной диагностики следует назначить для уточнения диагноза?
С чем связана иррадиация болей в левый реберно-позвоночный угол?
На что указывает резкое торможение секреции после введения атропина?
Какие методы тонической визуализации можно использовать для исключения гастриномы?
Какие лекарственные средства назначите?
Показано ли хирургическое лечение?
Какую операцию можно выполнить у данного больного?
Какие патологические синдромы встречаются после резекции желудка?
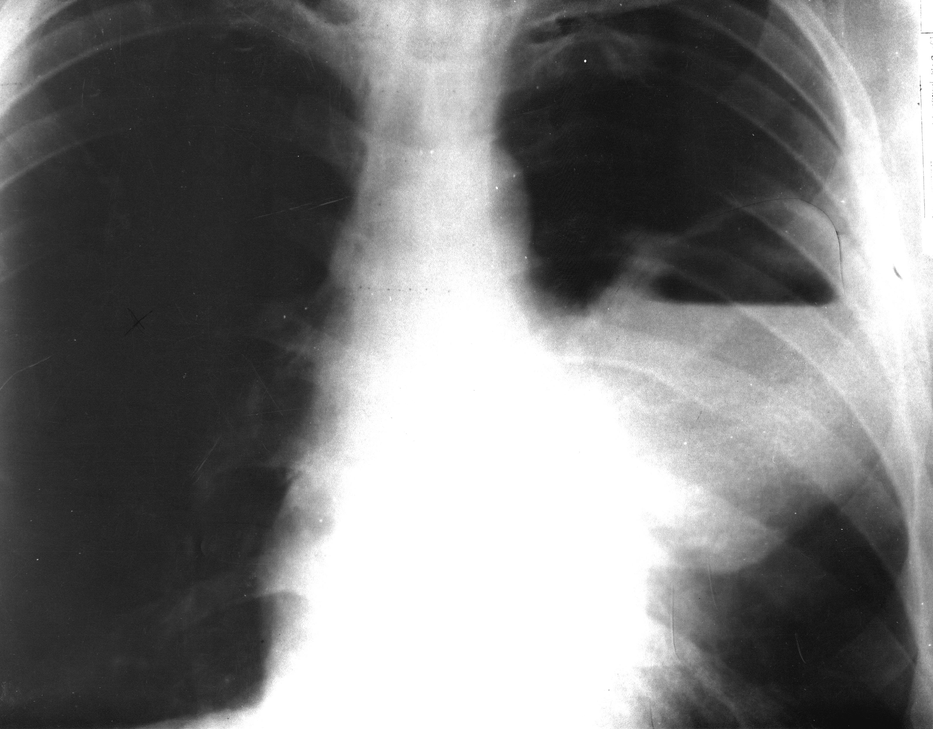
У больного в возрасте 50 лет после переохлаждения температура тела повысилась до 39,5°С, появились боли в груди слева, усиливающиеся при дыхании, отмечено отхождение скудной слизистой мокроты. Высокая температура наблюдалась в течение недели. Затем количество выделяемой мокроты с неприятным запахом увеличилось до 200 мл в сутки, общее состояние больного улучшилось, температура снизилась до нормы. При обследовании в левой подлопаточной области определялись укорочение перкуторного звука, ослабленное дыхание. Сделана рентгенограмма грудной клетки в прямой проекции.

Опишите рентгенограмму легких.
О каком заболевании следует думать? Поставьте предварительный диагноз.
Какие пути попадания инфекции Вы можете назвать?
Опишите хирургическую анатомию легких.
Перечислите патогенетические факторы данного заболевания.
Какие фазы течения заболевания выделяют?
Перечислите исходы заболевания.
Какие дополнительные методы исследования необходимы в данном клиническом случае?
Какие антибактериальные препараты Вы назначите? Обоснуйте свой выбор.
Показано ли хирургическое лечение? Если да, то каков объём вмешательства.
Перечислите возможные осложнения в течении заболевания.
С какими заболеваниями необходимо провести дифференциальный диагноз?
Больной М., 51 года, поступил на плановое лечение в гастроэнтерологический стационар с предварительным диагнозом: «Хронический панкреатит, обострение». Болен в течение 2-х месяцев. В анамнезе: 20 лет назад оперирован по поводу двусторонней косой паховой грыжи. Послеоперационных осложнений не было. В течение 3-х лет страдает бедренной грыжей. Назначены спазмолитики, ферментные препараты, гастрофарм, М-холиноблокаторы. Через 12 дней от начала лечения появились резкие боли в животе схваткообразного характера, вздутие живота, многократная рвота.
При осмотре хирургом: состояние средней тяжести. Сознание ясное. Конституция нормостеническая. Кожные покровы обычной окраски. Костно-суставная система без патологии. Аускультативно дыхание везикулярное, хрипов нет. Границы сердца в пределах нормы. Тоны сердца ясные, ритм правильный, частота сердечных сокращений 88 ударов в минуту. Артериальное давление 110 и 70 мм рт. ст. Язык обложен белым налетом. Живот умеренно вздут, асимметричный, мягкий, болезненный в эпигастрии и в околопупочной области. В обеих паховых областях рубцы от грыжесечений. Ниже рубца в проекции бедренного кольца опухолевидное образование до 5 см в диаметре, не вправимое в брюшную полость, резко болезненное, отрицательный симптом кашлевого толчка. Симптомы раздражения брюшины отрицательные. Аускультативно перистальтика кишечника усилена, звонкая. Положительный симптом Склярова. Симптом поколачивания по поясничной области отрицательный с обеих сторон.
|
|
При ректальном исследовании – ампула свободная, стенки ее безболезненные. При обзорной рентгенографии органов брюшной полости выявлены множественные чаши Клойбера и Керкринговы складки в тонкой кишке (см. рисунок). Анализ крови: гемоглобин – 132 г/л, гематокрит – 40%, количество эритроцитов – 3,8•1012/л, лейкоцитов – 13,4•109/л, б – 1%, п – 39%, с – 56%, л –4%. Биохимические анализы в пределах нормы.
Обзорная рентгенограмма органов брюшной полости
|
Сформулируйте клинический диагноз.
Дайте классификацию заболевания.
Приведите предрасполагающие и производящие факторы заболеваний.
Опишите хирургическую анатомию бедренного канала.
Какие осложнения наружных грыж Вы знаете?
С какими заболеваниями следует дифференцировать данное заболевание?
Охарактеризуйте патофизиологические изменения при данном заболевании.
Показано ли хирургическое вмешательство в случае спонтанного вправления грыжи? Если да, то почему?
Приведите признаки жизнеспособности кишки.
Существуют ли особенности выполнения операции у данного больного?
Какую послеоперационную терапию Вы назначите?
Какие осложнения могут встретиться после операции?
Больная А., 49 лет, инженер-химик, поступила в хирургическую клинику через 23 часа с момента заболевания с жалобами на схваткообразные боли в животе, тошноту, многократную рвоту, сухость во рту. В анамнезе хронический гастрит, хроническая железодефицитная анемия, гипертоническая болезнь. Проходила неоднократное лечение по поводу анемии. Отмечала извращение вкуса в виде желания есть мел. Один год назад проходила обследование. Патологии со стороны желудка, двенадцатиперстной и тонкой кишок по данным эндоскопического и рентгенологического методов исследования выявлено не было. Операций на органах брюшной полости не проводилось.
При поступлении состояние средней тяжести, в сознании. Кожные покровы обычной окраски. Костно-суставная и мышечная система без патологии. В легких дыхание везикулярное, хрипы не выслушиваются. Границы сердца в пределах нормы. Тоны приглушены, ритм правильный, пульс 82 удара в минуту. Артериальное давление 190 и 100 мм рт. ст. Язык суховат, обложен белым налетом. Живот округлой формы, симметричный, умеренно вздут, при пальпации мягкий, болезненный в эпигастрии и в околопупочной области. Положительный симптом Склярова. Симптомов раздражения брюшины нет. Печень не увеличена, край ее мягкий, безболезненный. Симптом поколачивания по поясничной области отрицательный.
Общий анализ крови: Hb 96 г/л, лейкоцитов крови 18,2•109/л, п – 4%, с – 85%, л – 7%, м – 4%, СОЭ – 23 мм/час; общий анализ мочи: белок 132 мг/л, лейкоцитов 1–2 в п/зрения, эпителия – 3–5 в п/зрения, бактерии. При ультразвуковом исследовании патологии со стороны печени, желчных путей, поджелудочной железы, селезенки, почек не обнаружено. При обзорной рентгенографии органов брюшной полости выявляются множественные чаши Клойбера и Керкринговы складки в тонкой кишке.
|
Обзорная рентгенограмма органов брюшной полости
|
В правой подвздошной области нечетко определяется интенсивное гомогенное образование до 5 см в диаметре. Назначена консервативная терапия, на фоне которой улучшение не наступило. Отмечено появление защитного напряжения мышц передней брюшной стенки в эпи– и мезогастрии, положительный симптом Щеткина-Блюмберга. «Шум плеска» стал более выраженным.
|
Какова вероятная причина заболевания?
Сформулируйте и обоснуйте клинический диагноз.
Дайте классификацию заболевания.
Приведите предрасполагающие и производящие факторы заболеваний.
С какими заболеваниями следует дифференцировать данное заболевание?
Охарактеризуйте патофизиологические изменения при данном заболевании.
Какую консервативную терапию Вы назначите до операции?
Какие дополнительные методы диагностики Вы назначите для уточнения диагноза?
Приведите признаки жизнеспособности кишки.
Существуют ли особенности выполнения операции у данного больного?
Какую послеоперационную терапию Вы назначите?
Какие осложнения могут встретиться после операции?
У больной 75 лет с желчнокаменной болезнью после очередного приступа появилась желтушность склер и кожи. При обследовании выявлен увеличенный болезненный желчный пузырь, симптомы раздражения брюшины отсутствуют. Сопутствующие заболевания: ИБС, гипертония, мерцательная аритмия. При УЗИ выявлен калькулез желчного пузыря и холедоха. Диаметр печеночно-желчного протока 15 мм. Больной выполнена чрескожная чреспеченочная микрохолецистостомия под контролем УЗИ с последующей фистулохолангиографией.
Холедох Симптом
«клешни» Фистулохолангиограмма


Каков вероятный диагноз у этого больного?
Причина расширения холедоха и каков диаметр его в норме?
Опишите хирургическую анатомию внепеченочных желчных путей?
Какие эндоскопические лечебно-диагностические вмешательства можно использовать?
Перечислите вероятные изменения в лабораторных показателях и в чем заключается их диагностическое значение?
Определите объем операции с учетом сопутствующей патологии?
Какие методы интраоперационного исследования используются в хирургии желчных путей?
Каков объём предполагаемого хирургического вмешательства?
Назначьте предоперационное лечение с учетом ИБС с нарушением ритма?
Опишите макроскопическую картину печени при механической желтухе?
Назовите способы наружного дренирования холедоха?
Каковы причины образования камней в желчных протоках после холецистэктомии?
Больной К., 64 лет, поступил в стационар через 16 часов после возникновения схваткообразных болей внизу живота с жалобами на задержку стула и газов, тошноту, однократную рвоту. Страдает запорами в течение 8 лет.
Общее состояние средней степени тяжести. Сознание ясное, положение пассивное. Кожные покровы бледно-розовые. В легких дыхание везикулярное, хрипов нет, ЧДД 20 в минуту. Тоны сердца приглушены, ритм правильный с частотой 90 ударов в минуту. Пульс напряженный, хорошего наполнения. Артериальное давление 160 и 90 мм рт. ст.
Живот вздут, ассиметричен за счет выбухания его верхних отделов справа. При пальпации мягкий, не напряженный, болезненный по ходу толстой кишки. Левая подвздошная область «пустая». Симптомы Склярова и «Обуховской больницы» положительны. Определяется «шум плеска».
Произведена обзорная рентгенография органов брюшной полости (см. рисунок).

Каков предварительный диагноз?
Какие дополнительные методы обследования помогут в постановке диагноза?
С какими заболеваниями следует дифференцировать данную патологию?
Какой должна быть тактика хирурга в данной ситуации?
Приведите классификацию острой кишечной непроходимости?
О каком виде кишечной непроходимости можно думать у данного больного?
Перечислите признаки жизнеспособности кишки.
В чем особенности строения и кровоснабжения толстой кишки?
В каких отделах кишечника чаще случаются завороты?
Перечислите причины заворота кишечника?
Какие особенности послеоперационного ведения больного, если была выполнена операция Гартмана?
Какой прогноз?