Больная 67 лет поступила в отделение через 20 часов от начала заболевания с жалобами на боли в правом подреберье, рвоту, лихорадку.
В анамнезе желчнокаменная болезнь, ИБС, стенокардия напряжения, II ФК, НК 0–1 ст. Артериальная гипертензия II стадия. Ранее неоднократно были подобные приступы, купированные консервативными средствами, а также неоднократно получала курсы лечения в кардиологических стационарах.
При объективном исследовании: кожные покровы обычной окраски, склеры иктеричные. Пациентка умеренного питания. АД 180 / 100 мм рт. ст. Пульс 88 в мин., ритм правильный. Язык сухой, покрыт налетом. Живот не вздут, защитное напряжение мышц в правых отделах, здесь же резкая болезненность, положительные симптомы Щеткина–Блюмберга, Образцова, френикус-симптом.
Количество лейкоцитов – 12 • 109/л, температура тела – 38,3 оС.


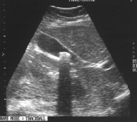
Эхограмма
желчного пузыря. В шейке желчного пузыря
визуализируется гиперэхогенная
структура до 1,5 см в диаметре (показана
стрелкой), дающая широкую акустическую
тень.
Каков предварительный диагноз?
Приведите необходимый предоперационный объем диагностических исследований?
В чем будет заключаться предоперационная подготовка?
Какова хирургическая тактика у данной больной?
Расскажите хирургическую анатомию внепеченочных желчных путей.
Приведите методы интраоперационного исследования желчевыводящих путей.
Дайте определение постхолецистэктомическому синдрому.
Перечислите осложнения желчнокаменной болезни.
Какие медикаментозный средства Вы назначите после операции?
Перечислите заболевания при которых может наблюдаться механическая желтуха?
Назовите местные противопоказания к лапароскопической холецистэктомии?
Назовите основные клинические признаки холангита и приведите триаду Шарко.
Больной В., 49 лет поступил с жалобами на боли в правой половине грудной клетки при кашле и глубоком дыхании, кашель с незначительным количеством трудноотходящей мокроты желтого цвета, похудание, общую слабость, повышение температуры тела до 37,8° С.
Больным себя считает в течение 2х недель, когда появился кашель, общая слабость. В то же время, снижение веса отмечает в последние 6 месяцев (похудел на 8 кг). Ухудшение состояния наступило за 3 дня до поступления в стационар, когда возникли боли в грудной клетке и повышение температуры.
Объективно: общее состояние удовлетворительное. Питание пониженное, кожный покров бледно-розовый. Периферические лимфатические узлы не увеличены. Грудная клетка конической формы, участвует в акте дыхания. Частота дыхания – 22 в мин. При пальпации безболезненная, перкуторно определяется легочный звук по всем легочным полям, при аускультации выслушивается ослабленное везикулярное дыхание по всем легочным полям. Тоны сердца ясные, ритмичные. Частота сердечных сокращений – 80 уд. в мин. Артериальное давление – 130 и 80 мм рт. ст. Язык влажный, чистый. Живот не вздут, участвует в акте дыхания, при пальпации мягкий, безболезненный во всех отделах.
Общий анализ крови: гемоглобин – 110 г/л, лейкоциты–5,6109/л, СОЭ – 28 мм/ч. Общий белок – 55 г/л, сахар крови – 6,6 ммоль/л. Общий анализ мочи без изменений. При ультразвуковом исследовании органов грудной клетки обнаружено гомогенное, гипоэхогенное образование правого легкого, овальной формы, размерами 67 см, расположенное по среднеподмышечной линии на уровне IV–VI ребер. Обнаруженное образование не смещается при глубоком дыхании (фиксировано к грудной клетке). Выполнена флюорография грудной клетки в прямой и правой боковой проекциях (см. снимок).

Какое заболевание можно заподозрить у данного больного?
Топографическая анатомия легких.
Какие дополнительные методы диагностики показаны для уточнения диагноза?
Назовите морфологические методы верификации диагноза.
Классификация данного заболевания.
Опишите пути диссеминации процесса.
Проведите дифференциальную диагностику данного заболевания с обоснованием предварительного диагноза.
Чем, по Вашему мнению, обусловлен болевой синдром у данного больного?
Перечислите возможные осложнения.
Какие методы лечения Вы примените у данного больного?
Каковы принципы предоперационной подготовки.
Какой объем операций используется при данной патологии?
Женщина 34 лет больна 2 года. При клиническом исследовании выявлены признаки тиреотоксического зоба в легкой форме. Щитовидная железа увеличена до 2-й степени. В правой доле определяется узел до 4 см. Результаты сканирования показали наличие в правой доле «горячего узла» размером 4 х 5 см. Функция остальной ткани повышена. Отмечается снижение уровня ТТГ и увеличение тиреогормонов.
Радиоизотопная
сканограмма щитовидной железы
Сформулируйте клинический диагноз.
Приведите классификацию зоба. Что такое аберрантный зоб?
Какие специальные методы исследования используются при заболеваниях щитовидной железы?
Какие методы морфологической верификации диагноза можно использовать?
Опишите клиническую картину тиреотоксикоза.
Какую тактику лечения Вы предложите? Обоснуйте ее.
Показания к хирургическому лечению больных зобом.
Каковы особенности предоперационной подготовки больных с тиреотоксическим зобом?
Какие немедикаментозные способы предоперационной подготовки Вы можете назвать?
Перечислите возможные специфические осложнения при хирургическом лечении зоба.
Какова патофизиологическая причина возникновения судорог при удалении паращитовидных желез? Какие препараты вводятся в такой ситуации?
Перечислите и назовите причину возникновения глазных симптомов при токсическом зобе.
Больная К., 21 года, поступила в приемное отделение с жалобами на распирающие боли в правой молочной железе, повышение температуры тела до 39ºС. Больна в течение трех дней. За месяц до обращения родила девочку. Общее состояние средней тяжести, сознание ясное. Кожный покров, вне левой молочной железы, бледный. В легких дыхание везикулярное, хрипы не выслушиваются, частота дыхательных движений 18 в минуту. Тоны сердца ясные, ритм правильный с частотой сердечных сокращений 96 в минуту. Пульс удовлетворительного наполнения, артериальное давление 130 и 80 мм рт. ст. При осмотре молочных желез выявлено, что правая молочная железа значительно больше левой, отечная, кожный покров в области верхне-внутреннего квадранта резко гиперемированы, а при пальпации там же определяется плотный резко болезненный инфильтрат размером 74 см (см. рисунок). Симптом флюктуации положительный. Общий анализ крови: гемоглобин – 102 г/л, лейкоциты – 12,6109/л, СОЭ – 32 мм/ч. Общий анализ мочи без изменений.
