Тучная женщина, 66 лет, перенесшая за последние полтора года два инфаркта миокарда, вечером накануне дня поступления внезапно ощутила резкие схваткообразные боли в верхних отделах живота и тошноту. Нитроглицерин и но-шпа боли не купировали, была однократная рвота желудочным содержимым и скудный жидкий стул. Затем боли стали менее интенсивными и приняли постоянный характер. Всю ночь больная была беспокойна, не спала. Утром прибывший врач скорой помощи заподозрил острый инфаркт миокарда, доставил больную в кардиологический стационар, где острых нарушений коронарного кровотока по повторным электрокардиограммам не обнаружено.
Дежурный хирург расценил состояние как тяжелое. Она заторможена, неподвижна, любое движение и кашель усиливают разлитые боли в животе. У больной выраженная слабость, тошнота, икота, отрыжка с каловым запахом. Кожа землисто-серого цвета, губы цианотичны, одышка до 28 дыханий в минуту. Пульс 120 ударов в минуту, аритмичный, слабого наполнения и напряжения. Артериальное давление 100 и 60 мм рт. ст. Температура тела 36,7° С.
Живот увеличен в объеме, болезненный при пальпации во всех отделах, умеренно напряжен, симптом Щеткина–Блюмберга положительный. При перкуссии живота определяется тимпанит, в отлогих местах – притупление перкуторного звука. Перистальтика кишечника резко ослаблена, при пальцевом исследовании в ампуле прямой кишки слизь и темная кровь.

Сформулируйте клинический диагноз.
Какова связь данного заболевания и инфаркта миокарда?
Каков патогенез заболевания?
Перечислите стадии течения заболевания.
Нужны ли дополнительные методы исследования и какие?
Показана ли медикаментозная терапия и в каком объеме?
Чем Вы объясняете притупление перкуторного звука в отлогих местах и тимпанит?
Как можно объяснить наличие крови в прямой кишке?
Какое оперативное вмешательство предполагаете выполнить?
Перечислите признаки нежизнеспособности кишки.
Какие анатомические образования Вы видите на операции, представленной на рисунке?
Показана ли антикоагулянтная терапия после операции? Если да, то через какое время следует ее начать?
Какими лабораторными показателями контролируется эффективность антикоагулянтной терапии?
Пациентка Н., 43 лет, доставлена в больницу с жалобами на нестерпимые боли, преимущественно в эпигастральной области, опоясывающего характера, тошноту, многократную рвоту, не приносящую облегчения.
О
бщее
состояние тяжелое. Сознание ясное,
положение пассивное из-за болей. Кожные
покровы бледно-розовые. В легких дыхание
везикулярное, хрипы не выслушиваются,
ЧДД – 20 в минуту. Тоны сердца приглушены,
ритм правильный с частотой сердечных
сокращений 94 в минуту. Пульс
удовлетворительного наполнения,
артериальное давление 115 и 75 мм рт. ст.
Живот вздут, симметричен, участвует в
акте дыхания. При пальпации мягкий в
мезогастрии и гипогастрии, напряжен и
резко болезненный в эпигастральной
области. Симптом поколачивания по
поясничной области отрицательный с
обеих сторон. На рентгенограмме подкова
двенадцатиперстной кишки несколько
развернута. На электрокардиограмме
отмечены косвенные признаки инфаркта
миокарда. Диастаза мочи – 512 ед. Произведено
ультразвуковое исследование поджелудочной
железы (см. рисунок).
Каков предположительный диагноз?
Расскажите хирургическую анатомию пораженного органа?
Инкреторная и экскреторная функции данного органа?
Каков механизм развития боли в эпигастрии?
Какие еще симптомы характерны для данной патологии?
Какие дополнительные методы исследования помогут установить правильный диагноз?
С какими заболеваниями следует дифференцировать данную патологию?
Какова тактика хирурга?
Какова консервативная терапия?
Показано ли хирургическое вмешательство? В чем заключается оперативное лечение данной патологии?
Какова причина возникновения изменений на электрокардиограмме?
Каков прогноз данного заболевания?
Задача № 2.9.
Женщина, 73 лет, в прошлом отмечала периодические приступы болей в правом подреберье с иррадиацией в правую лопатку и область сердца. За сутки до поступления в больницу после приема жирной пищи появились сильные боли в правом подреберье, иррадиирущие в лопатку и надключичную область, тошнота. Повторная рвота не приносила облегчения. После инъекции платифиллина, сделанной врачом скорой помощи боли уменьшились, но рвота не прекратилась. Появились озноб, жажда, сухость во рту, слабость. Ночь больная провела дома, принимала но-шпу, пыталась промыть желудок.
Доставлена в состоянии средней тяжести – беспокойна, температура тела 38° С, язык сухой. Пульс 110 в минуту, аритмичный, артериальное давление 100 и 70 мм рт. ст.
Ж
ивот
умеренно вздут, резко болезненный в
правых отделах. Положительный симптом
Щеткина–Блюмберга в правом подреберье.
Желчный пузырь не прощупывается из-за
выраженного мышечного напряжения.
Произведено ультразвуковое исследование
(см. рисунок).
Ваш диагноз?
Опишите хирургическую анатомию внепеченочных желчных путей.
Расскажите патогенез желчной колики.
Опишите макроскопические изменения желчного пузыря при флегмонозном воспалении.
В чем состоит ошибки врача скорой помощи?
Какие миниинвазивные методы лечения приступа желчной колики Вы знаете?
Показаны ли инструментальные методы исследования?
Назначьте медикаментозную терапию для данной больной.
Показана ли операция? Какой объем хирургического вмешательства предполагаете выполнить?
Приведите методы интраоперационного обследования желчевыводящих путей.
Требуется ли ревизия холедоха?
Какие варианты билиодигестивных анастомозов Вы знаете?
При погрузке рабочий придавлен задним бортом машины к стене. Машина сразу же отъехала. Прибытие работников скорой помощи через 30 мин.
При осмотре: состояние пострадавшего средней степени тяжести, цианоз кожных покровов, одышка, левая половина грудной клетки резко отстает в акте дыхания, дыхание частое, поверхностное. Положительный симптом «прерывистого вдоха».
При перкуссии – в левой половине грудной клетки – тимпанит, границы сердца смещены вправо.
При аускультации - дыхание слева резко ослаблено, в нижних отделах не выслушивается.
При пальпации - подкожная эмфизема по левой половине груди, определяется болезненность, крепитация отломков, отек в проекции левых 8-9 ребер по средне-ключичной линии. Положительный симптом осевой нагрузки на левые 8-9 ребра.
Пульс 130 в 1 мин, АД 90/60 мм. рт. ст.
В анализах красной крови: гемоглобин – 125 г/л, эритроциты – 3,6*1012, гематокрит – 35%.
Раскройте полный объем первой врачебной помощи на месте происшествия и во время транспортировки больного в порядке очередности.
Расскажите о классификации данной патологии.
Укажите, какое лечение необходимо провести в стационаре.
Расскажите о дополнительных методах исследования данной патологии.
Консультации каких смежных специалистов необходимо назначить больному в приемном отделении больницы?
Сформулируйте показания для оперативного вмешательства.
Какие осложнения (ранние и поздние) возможны при данной травме?
Каковы ваши рекомендации для предупреждения осложнений?
Пункция плевральной полости, техника.
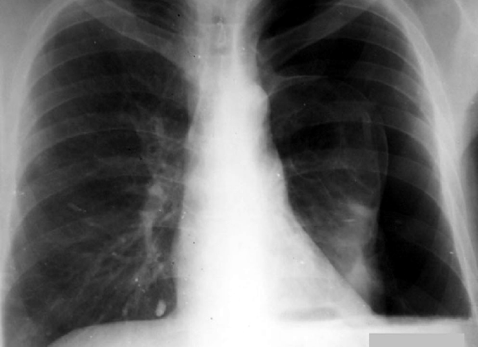
Опишите прилагаемую рентгенограмму.
Больной К., 50 лет, поступил с жалобами на схваткообразную боль в животе, тошноту, рвоту, неотхождение стула и газов. За 5 часов до госпитализации выполнял тяжелую физическую работу на заводе, появилось опухолевидное образование и резкие боли в правой паховой области. Обратился в медицинский пункт. Медицинская сестра здравпункта ввела внутримышечно раствор анальгина 50% 2 мл и раствор папаверина 2% 2 мл. Состояние больного не улучшилось. Бригадой «скорой помощи» доставлен в дежурную больницу.
При поступлении состояние средней степени тяжести. Кожный покров бледно-розовой окраски. В легких дыхание везикулярное, хрипов нет. Тоны сердца ясные, ритм правильный. Артериальное давление 120 и 80 мм рт. ст., пульс 91 удар в мин. Язык влажный обложен белым налетом. Живот умеренно равномерно вздут, при пальпации мягкий, безболезненный. При перкуссии определяется тимпанический звук. Симптом Щеткина-Блюмберга отрицательный. В правой паховой области имеется опухолевидное образование 68 см, при пальпации резко болезненное, плотно-эластической консистенции, не вправимое в брюшную полость, симптом «кашлевого толчка» отрицательный. Общий анализ крови: гемоглобин – 134 г/л, лейкоциты – 14,3109/л, СОЭ – 11 мм/ч. Общий анализ мочи без изменений.

Каков Ваш предварительный диагноз?
Какие исследования необходимо провести для уточнения диагноза?
Были ли в действиях медсестры ошибки?
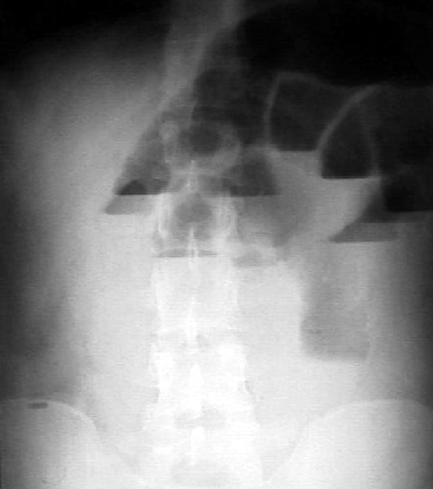
Опишите рентгенограмму органов брюшной полости.
Показана ли больному экстренная операция?
Будет ли учитываться возраст больного при проведении лечения?
В чем должно заключатся лечение?
Тактика хирурга при флегмоне грыжевого мешка.
Перечислите признаки нежизнеспособности кишечника на определенном участке.
Какой из способов наложения анастомоза при резекции кишки наиболее предпочтителен: а) конец в конец; б) конец в бок, и почему?
В чем заключается предоперационная подготовка больного?
Послеоперационное ведение больного.