|
|
МИНИСТЕРСТВО ОБРАЗОВАНИЯ И НАУКИ РОССИЙСКОЙ ФЕДЕРАЦИИ ФЕДЕРАЛЬНОЕ ГОСУДАРСТВЕННОЕ АВТОНОМНОЕ ОБРАЗОВАТЕЛЬНОЕ УЧРЕЖДЕНИЕ ВЫСШЕГО ОБРАЗОВАНИЯ «Национальный исследовательский ядерный университет «МИФИ» Обнинский институт атомной энергетики (ИАТЭ НИЯУ МИФИ) Медицинский факультет Государственная итоговая аттестация Специальность: 31.05.01 - «Лечебное дело» |
|
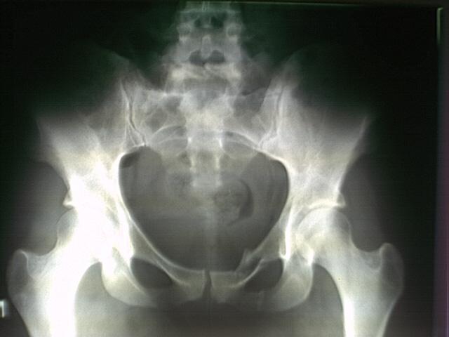
Больной П., 81 года, со слов родственников и больного, упал со стула. Сразу почувствовал резкую боль в правом тазобедренном суставе, самостоятельно встать не смог. Больной предъявляет жалобы на боль в области тазобедренного сустава, которая локализуется под пупартовой связкой. Боль усиливается при пальпации.
Из анамнеза выявлено, что больной страдает гипертонической болезнью. Объективно: лежит в постели, правая нижняя конечность ротирована кнаружи. Больной не в состоянии поднять и удержать выпрямленную в коленном суставе ногу. При попытке поднять поврежденную конечность пятка скользит по поверхности кровати (положительный симптом «прилипшей пятки»), нога отечна, несколько укорочена по сравнению с другой.
П
ри
попытке произвести пассивные и активные
движения, а так же при осевой нагрузке
бедра или шейки (поколачивание по пятке
выпрямленной конечности или по области
большого вертела) боль резко усиливается.
Отмечается усиление пульсации бедренной
артерии под пупартовой связкой
(положительный симптом С. С. Гирголава).
Большой вертел находится выше линии
Розер-Нелатона, выявляется нарушение
равнобедренности треугольника Бриана.
АД 180/90 мм. рт. ст., тоны сердца глухие,
экстрасистолия. Со стороны органов
брюшной полости изменений нет.
Рентгенограмма тазобедренного сустава прямая проекция
Провести дифференциальную диагностику.
Сформулируйте диагноз.
Каковы ваши действия в условиях домашнего режима?
Предложите план лечения в стационаре.
Каковы осложнения, возникающие при данном виде травмы?
Анатомическое строение тазобедренного сустава.
Приведите классификацию переломов бедренной кости.
Назовите симптомы, характерные для данной патологии.
Перечислите принципы лечения данной травмы.
Назовите способы хирургического лечения данной патологии.
Ваш план реабилитации.
Решите вопросы транспортной и лечебной иммобилизации.
Больной С., 41 года, работает длительное время грузчиком мясокомбината. При опросе предъявляет жалобы на боли в нижних конечностях, иррадиирущие в бедра, голени, боли усиливаются во второй половине дня, к вечеру отмечается умеренная отечность мягких тканей тыла стопы. При осмотре: выраженные отклонения первых пальцев обеих стоп кнаружи, боли при ходьбе и в положении стоя, припухлость передних отделов стоп, на подошвенной поверхности стоп – натоптыши. Имеются сгибательные и разгибательные контрактуры суставов пальцев. Носит широкую обувь, на 1-2 размера больше обычной, боли усиливаются к смене погоды, сезона, смене обуви, при прыжках и беге. Иннервация и кровоснабжение конечностей не нарушены.

Проведите дифференциальную диагностику.
Какова частота данной патологии?
Расскажите о классификации.
Ваш план лечебных мероприятий в амбулаторных и стационарных условиях.
Виды оперативных вмешательств при данной патологии, показания.
Возможные осложнения при данном заболевании.
Анатомическое строение стопы, особенности.
Доставлен машиной скорой помощи больной М. из травмпункта через 1,5 часа после получения травмы, падение с высоты 3-х метров. Бледен АД 105/65 мм рт. ст., пульс 100 в минуту, левая голень фиксирована двумя шинами Крамера.
П
ри
осмотре: после снятия иммобилизации в
средней трети голени отек, резкая
болезненность, нарушение оси конечности.
Имеется воронкообразное втяжение
(умбиликация) кожи над местом перелома,
искривление
оси голени под углом, открытым кнаружи
и кпереди, острый конец верхнего отломка
виден и легко прощупывается под кожей,
определяется ненормальная подвижность
и крепитация костных отломков при
осторожном давлении на место перелома,
местная болезненность при надавливании
на переднюю поверхность и по оси голени.
Деформация голени увеличивается при
поднимании ноги, невозможность опоры
на конечность. При
попытке произвести пассивные и активные
движения, а так же при осевой нагрузке
на голень (поколачивание по пятке
выпрямленной конечности) боль резко
усиливается. Иннервация и кровоснабжение
конечностей не нарушено.
Рентгенограмма голени в прямой проекции
Какова частота данной патологии.
Расскажите о классификации.
Объем помощи в условиях «Скорой помощи».
Укажите, какое лечение необходимо провести в стационаре.
Расскажите о дополнительных методах исследования данной патологии.
Сформулируйте показания для оперативного вмешательства.
Какие осложнения возможны при данной травме?
Каковы ваши рекомендации для предупреждения осложнений?
Каковы сроки потери трудоспособности при данной патологии?
Решите вопросы реабилитации больного и трудоустройства.
Транспортная и лечебная иммобилизация.
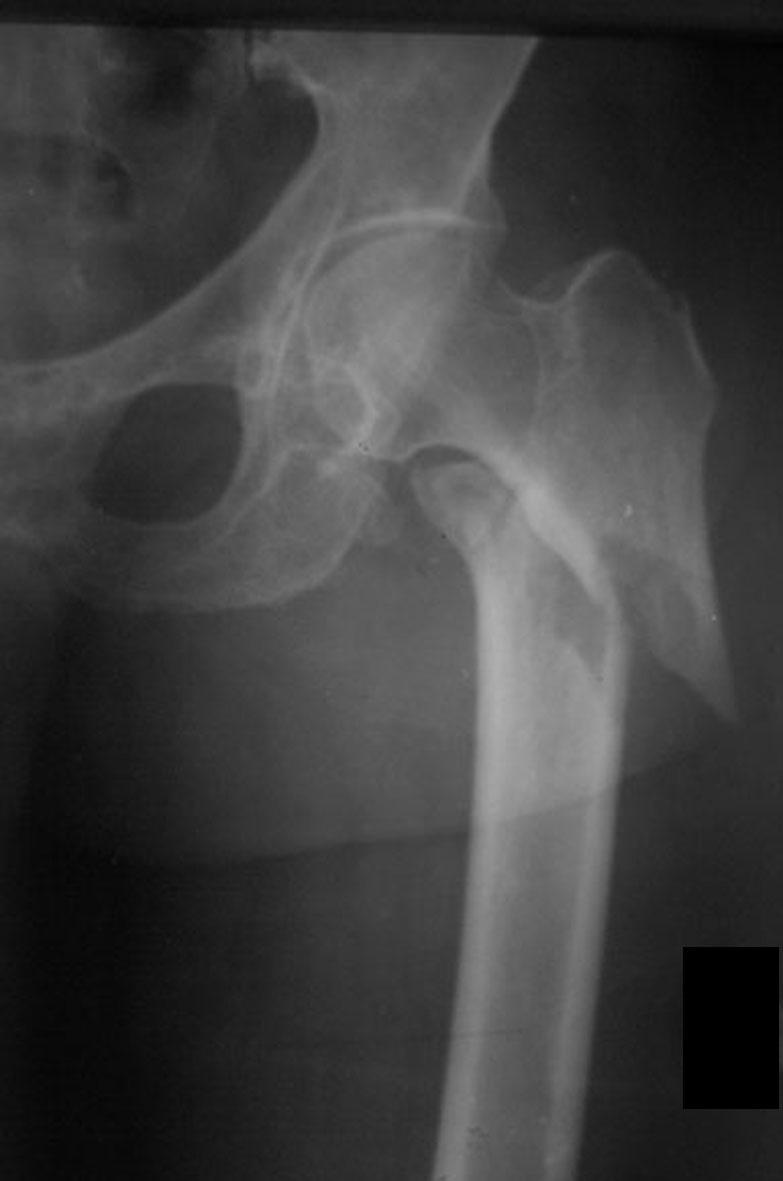
Доставлен больной Ц. В приемное отделение больницы через 1 час после автотравмы. Жалобы на слабость, головокружение, боли в области правого бедра, невозможность пользоваться конечностью, которая значительно ротирована кнаружи.
П
ри
осмотре: сознание сохранено, но больной
заторможен, кожные покровы бледные, на
лице капли холодного пота. Имеется
угловая деформация верхней трети правого
бедра, конечность фиксирована ремнем
к левой ноге, укорочение
бедра по сравнению со здоровой конечностью
достигает 8 см. Мягкие ткани на уровне
перелома напряжены из-за большого
кровоизлияния. Вследствие укорочения
конечности появились складки кожи над
надколенником, тонус мышц понижен,
выражена патологическая подвижность.
АД 90/70 мм рт. ст., пульс слабый, 120 в
минуту. Иннервация и кровоснабжение
конечностей не нарушено.
Рентгенограмма тазобедренного сустава в прямой проекции
Какова частота данной патологии.
Расскажите о классификации.
Объем помощи в условиях «Скорой помощи».
Укажите, какое лечение необходимо провести в стационаре.
Расскажите о дополнительных методах исследования данной патологии.
Сформулируйте показания для оперативного вмешательства.
Какие осложнения возможны при данной травме?
Каковы ваши рекомендации для предупреждения осложнений?
Каковы сроки потери трудоспособности при данной патологии?
Решите вопросы реабилитации больного и трудоустройства.
Транспортная и лечебная иммобилизация.
Мужчина 42 лет сбит автомобилем. Жалобы на боли в области левой половины таза. Объективно: вынужденное положение пострадавшего - лежа с полусогнутыми в коленных и тазобедренных суставах ногами с отведением и наружной ротацией бедер (симптом Волковича), подкожные кровоизлияния в области промежности, мошонки, лобкового симфиза. Боли усиливаются при попытке больного поднять ноги, повернуться или сесть. Положительные симптомы Вернея и Ларрея. Определяется отечность в левой паховой области. Сдавливающая и разводящая нагрузка на крылья подвздошных костей болезненна, крепитации нет. В лежачем положении не может оторвать левую ногу от кушетки (положительный симптом «прилипшей пятки»). Иннервация и кровоснабжение конечностей не нарушено.

Рентгенограмма таза в прямой проекции
Какова частота данной патологии.
Расскажите о классификации.
Объем помощи в условиях «Скорой помощи».
Укажите, какое лечение необходимо провести в стационаре.
Расскажите о дополнительных методах исследования данной патологии.
Сформулируйте показания для оперативного вмешательства.
Какие осложнения возможны при данной травме?
Каковы ваши рекомендации для предупреждения осложнений?
Каковы сроки потери трудоспособности при данной патологии?
Решите вопросы реабилитации больного и трудоустройства.
Транспортная и лечебная иммобилизация.
Больной С., 46 лет, страдает варикозным расширением вен нижних конечностей. За 3 дня до госпитализации появились боли в левой голени, усиливающиеся при движении, температура тела повысилась до 37,8ºС. Такие жалобы появились впервые.
Общее состояние средней степени тяжести. Сознание ясное. Кожные покровы, вне левой голени, бледно-розовые. В легких дыхание везикулярное, хрипов нет. Частота дыхательных движений 18 в минуту. Тоны сердца приглушены, ритм правильный с частотой 82 удара в минуту. Пульс удовлетворительного напряжения и наполнения. Артериальное давление 130 и 80 мм рт. ст. Живот не вздут, симметричный, участвует в акте дыхания, при пальпации мягкий, не напряженный, безболезненный. Симптомов раздражения брюшины нет.
Н
а
левой нижней конечности, по ходу большой
подкожной вены имеются варикозно
расширенные вены по смешанному типу
(см. рисунок). По ходу основной магистрали
в области голени определяется резкая
гиперемия. Вена утолщена, местами
четкообразно, пальпируется в виде резко
болезненного шнура. Кожа инфильтрирована,
гиперемирована, болезненная. Отека на
стопе и голени нет. Пульсация артерий
на обеих нижних конечностях
удовлетворительная на всех уровнях.
Вопросы
Каков предварительный диагноз?
Какие дополнительные методы обследования помогут в верификации диагноза?
Перечислите причины данного заболевания?
С какими заболеваниями следует дифференцировать данную патологию?
Приведите классификацию острого тромбофлебита?
Опишите строение венозного русла нижних конечностей?
Почему варикозным расширением вен преимущественно болеют женщины?
Что способствует оттоку крови от нижних конечностей?
Перечислите триаду Вирхова. Какой компонент повлиял на развитие заболевания в данном случае?
Какая особенность венозного кровотока позволяет удалять систему поверхностных вен нижних конечностей с отличными послеоперационными результатами?
Какой должна быть тактика хирурга в этой ситуации?
В чем заключается предоперационная подготовка при данном заболевании?
С какой целью необходимо проводить функциональные пробы на проходимость глубоких вен и определение коммуникантных вен?
Почему при непроходимости глубоких вен противопоказано удаление большой подкожной вены?