Материал: Внутренние болезни., Князева Л. И, Князева Л. А, Горяйнов И.И

Внимание! Если размещение файла нарушает Ваши авторские права, то обязательно сообщите нам

Позднее развитие лѐгочной гипертензии, поражение ЖКТ, телангиэктазии, кальциноз (CREST-синдром: аббревиатура от Calcinosis

(кальциноз)Raynaudphenomenon

(феномен

Рейно)Esophagealdismotility

(эзофагит).

Sclerodactyly

(склеродактилит),

Telangiectasia

(телеангиоэктазия)).

 

 

 

Выявление антицентромерных AT.

 

 

Расширение капилляров

ногтевого

ложа без

выраженных

аваскулярных участков.

Склеродермия без склеродермы (sclerodermasinescleroderma).

Отсутствие уплотнения кожи. Феномен Рейно.

Признаки легочного фиброза, острой склеродермической почки, поражения сердца и ЖКТ.

Выявление антинуклеарных AT (Scl - 70, АСА, нуклеолярных).

Перекрѐстные формы.

Для перекрестных форм (overlap-syndromes) характерно сочетание клинических признаковССД и одного или нескольких системных заболеваний соединительной ткани (полимиозит, РА, СКВ, БШ).

Ювенильная склеродермия.

Начало болезни до 16 лет. Поражение кожи нередко по типуочаговой или линейной (гемиформа)склеродермии.Склонность к образованию контрактур. Возможны аномалии развитияконечностей.

Умеренная висцеральная патология(выявляется главным образом приинструментальном исследовании).

Пресклеродермия.

Выделяют такжетак называемую пресклеродермию, к ней относят больных с изолированным феноменом Рейно в сочетании с капилляроскопическими изменениями или иммунологическими нарушениями, характерными для ССД.

В отечественную классификацию (Н.Г. Гусева. Системная склеродермия – М.: Медицина, 1975-270 с.) включены также

вариантытечения и стадии развития ССД.

 

 

 

Варианты течения.

 

Острое,

быстропрогрессирующее

течение

характеризуется

развитием генерализованного

фиброза

кожи(диффузная форма) и

внутренних opганов (сердца, лѐгких, почек) в первые 2 года от начала заболевания; ранее нередко заканчивалось летальным исходом; современная адекватная терапия улучшила прогноз этой категории больных.

Подострое, умеренно прогрессирующее течение клинически и лабораторно характеризуется преобладаниемпризнаков иммунного воспаления(плотный отѐк кожи, артрит, миозит),нередки overlapсиндромы.

Хроническое, медленно прогрессирующее течение отличается преобладанием сосудистой патологии: в начале заболевания —

61

многолетний синдром Рейно с постепенным развитием умеренных кожных изменений (лимитированная форма), нарастанием сосудистых ишемических расстройств, висцеральной патологии (поражение ЖКТ, лѐгочная гипертензия).

Прогностические различия вариантов течения иллюстрирует 5 - и 10летняя выживаемость, которая при остром течении составляет 4 и 0%, при подостром 75 и 61%, а при хроническом - 88 и 84% соответственно. В настоящее время при более ранней диагностике и современной терапии прогноз больных ССД улучшился, но различия в дебюте, основных клинических проявлениях и эволюции сохраняются.

Стадии ССД.

I- начальная, когда выявляются 1-3 локализации болезни.

II-стадия генерализации, отражающая системный, полисиндромный характер процесса.

III-поздняя (терминальная), когда имеется уже недостаточность одного или более органов (сердца, лѐгких, почек). Все 3 параметра классификации ССД рекомендуется использовать при постановке диагноза, определении прогноза и выборе адекватной терапии.

Диагностика.

Диагноз ССД основывается главным образом на характерных клинических проявлениях заболевания. Клиническая кар тина ССД полиморфна и широко варьирует в зависимости от характера течения, клинической формы и преобладающей патологии.

Клиника.

Конституциональные симптомы- слабость, утомляемость, потеря веса, субфебрильная лихорадка и др. наблюдаются в дебюте болезни (в основном у больных диффузной формой) и представляют диагностические затруднения до появления характерных кожных и висцеральных признаков ССД.

Поражение сосудов.

Феномен Рейно- симметричный пароксизмальный спазм дигитальных артерий, кожных артериол и артериовенозных шунтов, индуцированный холодом или эмоциональным стрессом, характеризуется последовательным изменением окраски кожи пальцев (побледнение, цианоз, покраснение). Вазоспазм часто сопровождается онемением пальцев и болью. У многих больных ССД атаки Рейно имеют пролонгированный характер вследствие структурных изменений сосудов и перманентно сниженного кровотока.

Телеангиоэктазии— расширенные капилляры и венулы с характерной локализацией на пальцах кистей, ладонях и лице, в том числе на губах, являются поздним признаком болезни.

Дигитальные язвы— характерный признак ССД (включѐн в классификационные критерии), развивается на дистальных фалангах пальцев кистей; могут быть резко болезненными, отличаются торпидностью к лечению и рецидивирующим течением.

62

Язвенные поражения кожинаблюдаются и на участках, подвергающихся механическим воздействиям — над локтевыми и коленными суставами, в области лодыжек и пяток.

Сухая гангрена— некроз кожи и подкожных мягких тканей начинается с дистальных фаланг пальцев и может распространяться на средние фаланги с последующей демаркацией и самоампутацией.

Поражение кожи.

Уплотнение кожи(склеродермия всегда начинается с пальцев кистей (склеродактилия)(рис.5-1). Выраженность уплотнения кожи оценивается пальпаторно по 4-балльной системе: 0 - уплотнения нет; 1 — незначительное уплотнение; 2 — умеренное уплотнение; 3 — выраженное уплотнение (невозможно собрать в складку). Для объективизации поражения кожи определяется кожный счѐт, который представляет сумму балльной оценки выраженности уплотнения кожи в 17 анатомических областях: на лице, груди, животе и на симметричных отделах конечностей

— пальцах, кистях, предплечьях, плечах, бѐдрах, голенях и стопах. При ССД отмечается стадийность поражения кожи: отѐк, индурация, атрофия. Выраженность уплотнения кожи различается между отдельными больными и достигает максимума в первые 3 — 4 года болезни. Кожный счѐт коррелирует с висцеральной патологией и является одним из предикторов неблагоприятного исхода ССД.

Наличие зоны некроза, как следствие длительно существующего феномена Рейно

Рис. 5-1. Склеродактилия, сгибательные контрактуры пальцев.

Рис. 5-2. Симптом «кисета».

63

Симптом «кисета»(рис. 5-2) — уменьшение ротовой апертуры, истончение красной каймы губ, вокруг которых формируются радиальные складки.

Гиперпигментация— ограниченная или диффузная, с участками гипоили депигментации («соль с перцем»).

Дигитальные рубчики— точечные участки атрофии кожи дистальных фаланг пальцев кистей («крысиный укус»).

Вследствие атрофии волосяных фолликулов, потовых и сальных желѐз, кожа в местах уплотнения становится сухой и шершавой, исчезает волосяной покров.

Кальцинаты— небольших размеров подкожные отложения солей кальция, обычно появляются на пальцах кистей и на участках, часто подвергающихся травмам. Кальцинаты могут вскрываться с выделением творожистой массы (рис.5-3).

Рис. 5-3. Кальциноз мягких тканей.

Поражение слизистых оболочек.

Характерным признаком ССД является утолщение и укорочение уздечки языка.

Поражение суставов и кистей.

Полиартралгиии утренняя скованность являются частым проявлением ССД, особенно на ранних стадиях болезни.

Артритынехарактерны для ССД, в то же время у 20% больных выявляется эрозивная артропатия.

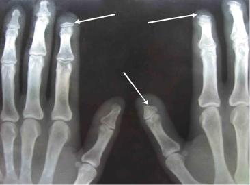
Акроостеолиз— резорбция концевых отделов дистальных фаланг кистей вследствие длительной ишемии, проявляется укорочением и деформацией пальцев. В некоторых случаях наблюдается рассасывание дистального отдела лучевых костей и отростков нижней че люсти (рис.5-4).

64

Рис. 5-4. Остеолиз дистальных фаланговых костей.

Симптом трения сухожилий— крепитация, определяемая пальпаторно у больных диффузной формой ССД при активных сгибательных и разгибательных движениях пальцев и кистей; является предиктором последующего диффузного поражения кожи.

Сгибательные контрактуры, преимущественно суставов кистей, являются следствием локального уплотнения кожи с вовлечением сухожилий и их оболочек. Встречаются чаще у больных с диф фузной формой ССД, при которой могут выявляться контр актуры и крупных суставов конечностей. Усиление контрактур ассоциируется с актив ностью и прогрессирующим течением заболевания.

Поражение мышц.

Вовлечение мышц проявляется двумя различными формами миопатии:

Невоспалительная непрогрессирующая фиброзная миопатия

является более частой формой поражения мышц при ССД, характеризуется незначительной слабостью проксимальных групп мышц и минимальным повышением уровня КФК.

Воспалительная миопатия — проявляется миалгиями,

проксимальной мышечной слабостью, значительным (в 2 раза и более) повышением КФК, воспалительными изменениями ЭМГ и биоптатов.

При диффузной форме ССД может развиваться атрофия мышц, связанная с нарушением подвижности и контрактурами.

Поражение желудочно-кишечного тракта (ЖКТ).

Гипотония пищевода — наиболее частая форма поражения пищевода и ЖКТ в целом; проявляется дисфагией, чувством кома за грудиной после еды, стойкой изжогой, усиливающейся в горизонтальном положении.

Стриктура— сужение просвета нижней трети пищевода, вследствие чего становится невозможным приѐм твердой пищи. Формирование стриктур приводит к значительному уменьшению выраженности изжоги.

65