Материал: Толстый кишечник (1)

Внимание! Если размещение файла нарушает Ваши авторские права, то обязательно сообщите нам

Осложнения ВЗК

 

 

Болезнь Крона:

Язвенный колит:

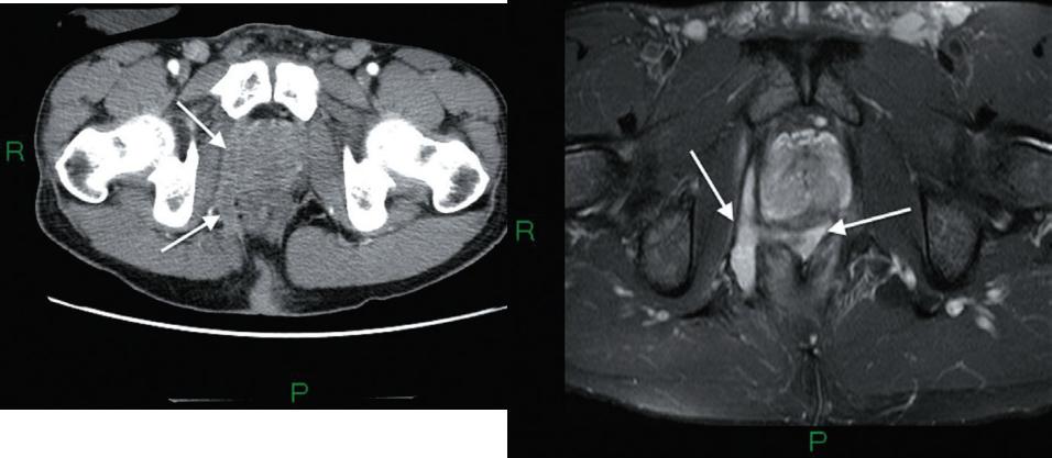
наружные свищи (кишечно-

кишечное кровотечение,

 

кожные)

токсическая дилатация

внутренние свищи

 

(мегаколон) – протяженная

 

(межкишечные и др.)

 

дилатация кишки с

инфильтрат

 

истончением стенки,

абсцессы брюшной полости,

 

склонностью к перфорации,

перфорация толстой кишки,

стриктуры ЖКТ (с кишечной

колоректальный рак.

 

непроходимостью и без нее),

анальные трещины,

парапроктит,

кишечное кровотечение (редко).

Осложнения ВЗК

Осложнения ВЗК

Осложнения ВЗК

Внекишечные проявления ВЗК

 

 

 

 

 

 

 

Аутоиммунные,

 

Аутоиммунные, не

 

Обусловленные

 

связанные с

 

связанные с

 

длительным

 

активностью

 

активностью

 

воспалением и

 

заболевания

 

заболевания

 

метаболическими

 

 

 

 

 

нарушениями

• Артропатии (артралгии,

Анкилозирующий

Холелитиаз,

 

артриты)

 

спондилит

 

стеатоз печени,

Поражение кожи

 

(сакроилеит)

 

стеатогепатит

 

(узловатая эритема,

Первичный

Тромбоз

 

гангренозная

 

склерозирующий

 

периферических

 

пиодермия)

 

холангит (особенно

 

вен,

Поражение слизистых

 

при ЯК)

 

тромбоэмболия

 

(афтозный стоматит)

Остеопороз,

 

легочной артерии

Поражение глаз (увеит,

 

остеомаляция

Амилоидоз

 

ирит, иридоциклит,

Псориаз

 

 

 

эписклерит)