Материал: Толстый кишечник (1)

Внимание! Если размещение файла нарушает Ваши авторские права, то обязательно сообщите нам

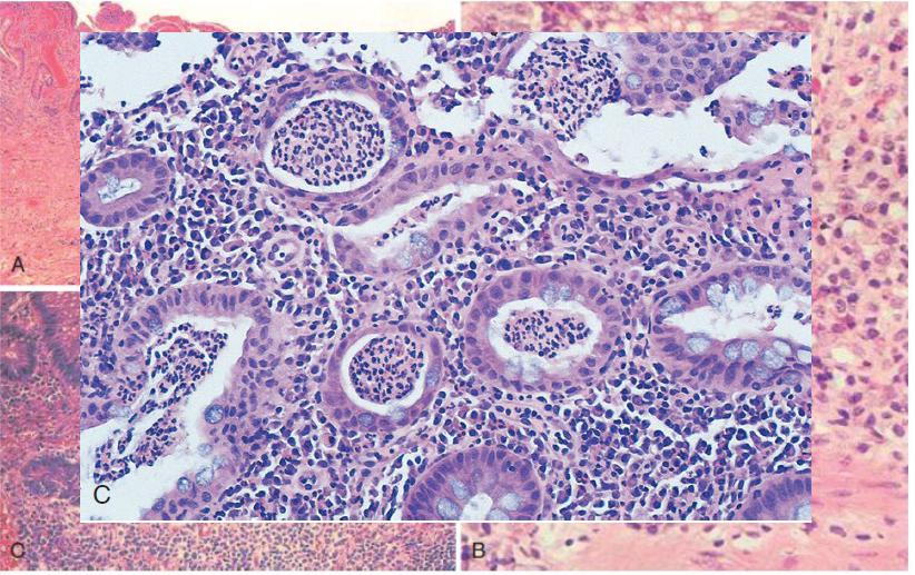
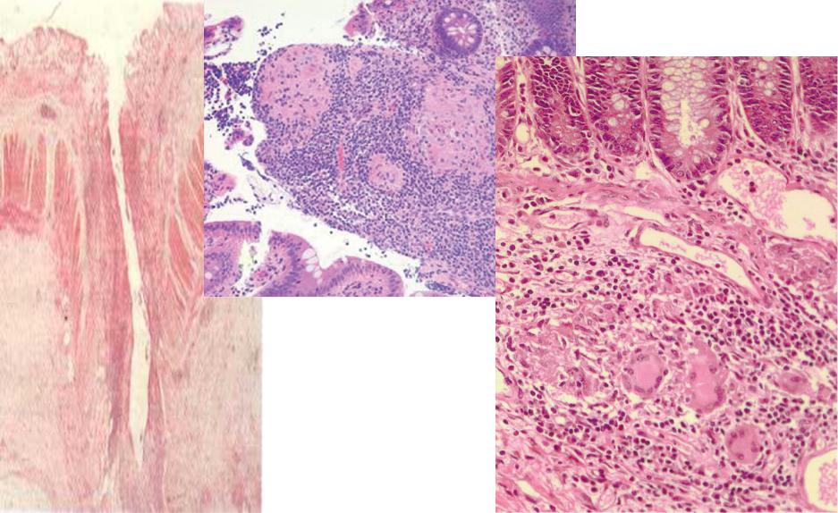
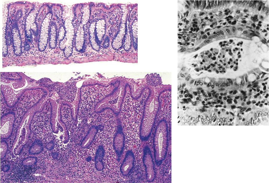
Болезнь Крона: морфологические признаки

Язвенный колит: морфологические признаки

Деформация крипт, «неровная» поверхность слизистой,

Уменьшение числа бокаловидных клеток,

Базальный плазмоцитоз, инфильтрация собственной пластинки слизистой оболочки

Наличие крипт-абсцессов и базальных лимфоидных скоплений

Степень инфильтрации уменьшается по мере удаления от прямой кишки

Язвенный колит: морфологические признаки

Язвенный колит: морфологические признаки

Болезнь Крона: классификация

 

 

Характеристика

Виды

 

 

 

Локализация поражения

Терминальный илеит (L1)

(Монреальская

Колит (L2)

классификация)

Илеоколит (L3)

 

• Поражение верхних отделов ЖКТ (L4)

Распространенность

Локализованная (протяженность <30 см)

поражения

Распространённая (суммарно >100 см)

Фенотип

Нестриктурирующая, непенетрирующая (B1)

 

• Стриктурующая (стенозирующая, B2)

 

• Пенетрирующая (свищевая, B3)

 

± Перианальные поражения (P)

Характер течения

Острое (<6 мес от дебюта)

 

Хроническое непрерывное

 

Хроническое рецидивирующее течение

 

Ремиссия (клиническая и эндосопическая)