Материал: Толстый кишечник (1)

Внимание! Если размещение файла нарушает Ваши авторские права, то обязательно сообщите нам

Болезнь Крона: эндоскопические признаки

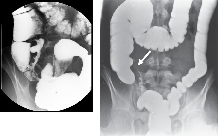
Болезнь Крона: рентгенологические признаки

Болезнь Крона: рентгенологические признаки

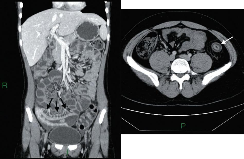
Болезнь Крона: рентгенологические признаки

Болезнь Крона: рентгенологические признаки