Материал: Лучевая диагностика органов дыхания Онкология

Внимание! Если размещение файла нарушает Ваши авторские права, то обязательно сообщите нам

новая 2,9 см. масса которую видно на КТ скане (А) и на ПЭТ (В) в виде тёмного пятна в левом лёгком.

Рис. 10. Корональное изображение пациента с мелко-клеточным раком лёгкого. Показано повреждение, представленное большим накоплением ФДГ в правом корне и средостении. Определяется нормальное накопление активности в печени, селезёнке, почках, уретре и мочевом пузыре.

Рис. 11. Корональные КТ (А) и ПЭТ (В) у пациента с лихорадкой и выраженной болью с левой стороны в грудной клетке с известным в анамнезе ингаляцией асбеста и диагностированной

мезотелиомой. Совмещённое ПЭТ/КТ изображение показывает точную локализацию интенсивности наопления ФДГ на анатомическом КТ скане.

АВ

Рис. 12. Оценка ответа на химиотерапию лимфомы. Скан А показывает интенсивность накопления активности перед терапией: множественные метастазы в средостение, надключичные лимфоузлы, селезёнку и левый бронх. После 5 месячной химиотерапии (снимок В) наблюдается полная ремиссия заболевания.

МАГНИТНО-РЕЗОНАНСНАЯ ТОМОГРАФИЯ

Преимущество МРТ в полной мере проявляется при оценке грудной стенки, плевры, корней легких, органов средостения. МРТ не дает возможность визуализировать паренхиму легких, однако можно оценить структуру опухолевидных образований в легких (распад, наличие жидкостных, жировых включений, васкуляризацию), проследить динамику процесса при проведении лечения.

Методика бесконтрастной МР-ангиографии дает представление о состоянии кровотока в малом круге

кровообращения. Эффективность МРТ возрастает в условиях внутривенного контрастного усиления, позволяющего выявить злокачественные опухолевые процессы, распространение их на соседние структуры.

МРТ изображения органов грудной полости представлены на рисунках 13-15. МРТ Исследование грудной полости проводят с ЭКГ-синхронизацией, чтобы избежать артефактов от движения сердца и пульсации сосудов. Обычно используют импульсную последовательность спин-эхо для получения Т1взвешенных изображений. Просветы сосудов и полости сердца при этом выглядят темными за счет потери МР - сигнала от движущейся крови (времяпролетный эффект). Степень потери сигнала напрямую связана со скоростью движения.

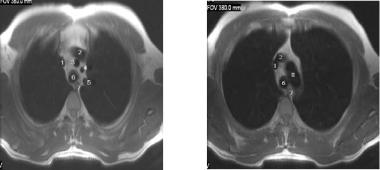
а

б

Рис. 13. Т1-ВИ органов средостения в аксиальной проекции на уровне верхнего этажа: а – уровень пяти сосудов; б – уровень дуги аорты.

1 – правый плечеголовной венозный ствол,

2 – левый плечеголовной венозный ствол,

3 – правый плечеголовной артериальный ствол,

4 – левая общая сонная артерия,

5 – левая подключичная артерия,

6 – трахея,

7 – пищевод,

8 – дуга аорты

Рис. 14. Т1-ВИ органов средостения

в аксиальной проекции на уровне восходящей аорты: 1 – восходящая аорта,

2 – ствол легочной артерии,

3 – правая легочная артерия,

4 – нисходящая часть аорты

5 – верхняя полая вена,

6 – ветвь левой легочной артерии, 7 – просвет правого

промежуточного бронха, 8 – просвет левого верхнедолевого бронха, 9 – непарная вена

Рис. 15. Т1-ВИ органов средостения

в аксиальной проекции на уровне корня аорты:

1 – корень аорты,

2 – выходной отдел правого желудочка, 3 – левое предсердие с

впадающими в него верхними легочными венами

Рис. 16. Т1-ВИ органов средостения в

коронарной проекции на уровне корня аорты:

1 – полость левого желудочка,

2 – полость правого желудочка, 3 – восходящая аорта с

отходящими от нее правым плечеголовным стволом и левой общей сонной артерией, 4 – ствол легочной артерии

Рис. 17. Т1-ВИ органов средостения

в коронарной проекции на уровне бифуркации трахеи:

1 – просвет трахеи,

2 – правый главный бронх,

3 – левый главный бронх

На МР томограммах органов грудной полости хорошо отображаются мягкие ткани. В области средостения в основном визуализируются полости сердца, просветы сосудов и просветы крупных бронхов. В области верхнего средостения сосудистые структуры окружены в той или иной степени выраженности жировой клетчаткой.

ЛУЧЕВАЯ АНАТОМИЯ ОРГАНОВ ГРУДНОЙ ПОЛОСТИ

Критерии правильности укладки при рентгенографии в прямой передней проекции: