Материал: Лучевая диагностика органов дыхания Онкология

Внимание! Если размещение файла нарушает Ваши авторские права, то обязательно сообщите нам

вену. В верхней доле правого легкого 3 сегмента, средней доле правого легкого 2 сегмента и нижней доле правого легкого 5 сегментов. В верхней доле левого легкого 5 сегментов, в нижней доле левого легкого 4 сегмента. Сегментам присвоены номера от 1-го до 10-го. В левом легком отсутствует 7-й сегмент за счет наличия сердечной вырезки. Четкое сегментарное строение легких визуализируется при КТ (рис. 22).

Рис. 22. Бронхолегочные сегменты при компьютерной томографии

КОМПЬЮТЕРНО-ТОМОГРАФИЧЕСКАЯ АНАТОМИЯ

ОРГАНОВ ГРУДНОЙ ПОЛОСТИ

Компьютерная томография позволяет дифференцированно получать изображения всех тканей, образующих грудную стенку, сосудистые структуры средостения, паренхиму легких.

На высокоразрешающих компьютерных томограммах паренхима представлена сосудистыми структурами и междольковыми перегородками. Наилучшая визуализация внутрилегочных структур получается в так называемом легочном электронном окне (-700…-800 HU). Анатомические структуры средостения получают более отчетливое отображение в средостенном окне (+40..+60 HU).

В грудной стенке на компьютерных томограммах получают четкую визуализацию костные структуры, мышцы, жировые прослойки, листки плевры. В области средостения визуализируются сосудистые структуры, жировая ткань, сердце, просветы трахеи, главных бронхов, пищевод.

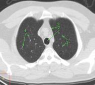
Рис. 23. КТ на уровне верхних

долей в легочном электронном окне: 1 – контур верхнего средостения; 2 – трахея;

3, 4 – легочный рисунок – различные сечения мелких веточек сосудов

Легкие отображаются темно-серыми полями, на фоне которых видны продольные и поперечные сечения кровеносных сосудов, а также просветы бронхов, форма которых зависит от соотношения плоскости сканировании и плоскости расположения бронха.

На высокоразрешающих компьютерных томограммах просветы бронхов можно проследить до V-го порядка. Основные анатомические элементы грудной полости обозначены на рисунках 23-30, где представлены компьютерные томограммы на верхнем, среднем и нижнем уровнях в легочном (рис. 23 -27) и средостенном режимах (рис. 2830).

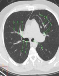
Рис. 24. КТ на уровне бифуркации

трахеи в легочном электронном окне: 1 – просвет правого главного бронха;

2 – правый верхнедолевой бронх; 3 – передний сегментарный

бронх верхней доли правого легкого; 4 – субсегментарный бронх;

5– просвет бронха V-го порядка;

6– левый главный бронх;

7– поперечные сечения сегментарных бронхов;

8– сечения сосудов в различных плоскостях

Рис. 25. КТ на уровне нижней части

корней легких в легочном электронном окне:

1 – поперечное сечение левой ЛА; 2 – поперечное сечение правой ЛА;

3 – левая нижняя легочная вена; 4 – правая нижняя легочная вена;

5 – поперечное сечение левого нижнедолевого бронха; 6 – поперечное сечение

промежуточного бронха правого легкого; 7 – грудная аорта

Рис. 26. КТ на уровне базальных

сегментов легких в легочном электронном окне:

1– сечения сосудов легких;

2– поперечные сечения сегментарных бронхов;

3– тонкая полоска листков плевры по ходу главной междолевой борозды