Материал: Лучевая диагностика органов дыхания Онкология

Внимание! Если размещение файла нарушает Ваши авторские права, то обязательно сообщите нам

определения скрытого нарушения бронхиальной проходимости, а также в выявлении небольшого количества жидкости в плевральной полости. На современном этапе для этих целей применяют УЗИ.

Флюорография органов грудной полости применяется для массовых проверочных исследований (скрининг) с целью выявления туберкулезных и онкологических поражений органов дыхания.

Достоинством флюорографии является большая пропускная способность, небольшая лучевая нагрузка на пациента, особенно при цифровой технологии. Цифровая флюорография в силу ее высокой разрешающей возможностью применяется и как первичная диагностическая методика.

Томография линейная в последнее время все больше вытесняется КТ и выполняется в тех случаях, когда нет возможности выполнить КТ. Однако она дает существенную дополнительную информацию по сравнению с рентгенографией, особенно со стороны структуры корней легких.

Линейная томография позволяет визуализировать просвет трахеи бронхов, вплоть до сегментарных, ветви легочных артерий, увеличенные лимфоузлы и опухоли средостения, уточнить характер и подробную рентгеновскую картину периферических патологических образований легких.

Рентгеновская компьютерная томография

эффективный метод в диагностике патологии легких и органов средостения. Пошаговая КТ выполняется последовательным сканированием от верхушек легких до нижних контуров плевральных синусов с задержкой дыхания на неглубоком вдохе.

Более существенными диагностическими возможностями обладает мультиспиральная

(мультислайсовая) компьютерная томография (МСКТ), позволяющая на одной задержке дыхания проводить сканирование от верхушек легких до куполов диафрагмы без пропуска деталей и возможным перекрытием томографических срезов.

Преимуществом МСКТ является возможность проводить разнообразную постпроцессорную обработку изображений: многоплоскостную реформацию, получать объемное изображение оттененных поверхностей, объемные изображения скелета грудной клетки, легких, воздухосодержащих структур, автоматически выделять очаговые образования легких с маркировкой последних, проводить виртуальную бронхоскопию.

Высокоразрешающая КТ, которая позволяет визуализировать тонкие интерстициальные изменения паренхимы легких, мельчайшие очаги, выполняется тонкими срезами (менее 2 мм) с возможной прицельной реконструкцией.

Функциональная КТ заключается в выполнении сканов легких на фоне глубокого вдоха и глубокого выдоха с последующим сопоставлением этих изображений. Главная цель такой методики заключается в выявлении обструктивных поражений мелких бронхов.

МСКТ пульмоноангиография показана для выявления сосудистой патологии, ТЭЛА, а также для дифференциальной диагностики образований легких на основании характерного динамического накопления контрастного препарат разными патологическими процессами легких. Кроме того, данная методика эффективна в диагностике образований средостения, дифференциации сосудистых структур и мягкотканных образований.

Бронхография - методика искусственного контрастирования бронхиального дерева йодсодержащими

водорастворимыми (урографин, ультравист, омнипак и т.п.) ранее жирорастворимыми рентгеноконтрастными препаратами (йодолипол, липойодол).

Методика может выполняться в двух вариантах: под общим наркозом, что используется у детей или под местной анестезией назотрахеобронхиальным зондом.

Показанием для бронхографии значительно ограничены: аномалии развития бронхов, бронхопульмональные свищи, внутрибронхиальные опухоли. В настоящее время бронхография все больше вытесняется мультиспиральной (или мультислайсовая) компьютерной томографией.

Ангиопульмонография – искусственное контра-

стирование сосудов малого круга кровообращения с помощью катетера, проведенного в верхнюю полую вену через локтевую вену.

Для контрастирования сосудов должны использоваться только неионные рентгеноконтрастные препараты. Показаниями для ангиопульмонографии служат подозрения на ТЭЛА, артерио-венозные мальформации.

Данная диагностическая методика может сочетаться с лечебными манипуляциями: селективное введение тромболитических препаратов при ТЭЛА, устранение артерио-венозных фистул. При проведении катетера из верхней в нижнюю полую вену возможно установление кава-фильтра для улавливания тромбов из вен системы нижней полой вены и предотвращения тромбоэмболий легочной артерии.

В настоящее время ангиопульмонография назначается весьма избирательно.

УЛЬТРАЗВУКОВОЙ МЕТОД

Для визуализации ультразвуковым методом доступны мягкие ткани грудной стенки, сердце, грудная аорта и ее ветви, главные ветви легочной артерии, вилочковая железа, лимфатические узлы средостения, ребернодиафрагмальные синусы. Для акустического доступа используются межреберные промежутки, яремная вырезка, подреберья.

Весьма эффективной методикой ультразвуковой диагностики является использование трансэзофагеального датчика. Применение цветного доплеровского картирования повышает диагностическую ценность ультразвукового метода в дифференцировке доброкачественных и злокачественных новообразований. Собственная сосудистая сеть в структуре новообразования свидетельствует в пользу злокачественности. При доброкачественных новообразованиях сосудистая сеть, как правило, определяется по периферии образования.

Показаниями для выполнения ультразвукового исследования служат:

-определение наличия, объема и характера жидкости

вплевральной полости;

-изучение характера пристеночных новообразований грудной стенки;

-изучение патологических процессов легких, расположенных субплеврально (воспалительные инфильтраты, опухоли, нагноительные процессы, ателектазы, пневмосклерозы);

-оценка мягкотканых структур средостения при наличии акустического доступа.

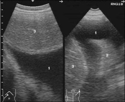
Наиболее частым показанием для ультразвукового исследования грудной полости является определение наличия жидкости в плевральной полости (рис. 1).

а

б

Рис. 1. Сонограммы грудной стенки доступом из подреберья (а) и через межреберный промежуток (б).

1 – жидкость в плевральной полости;

2– поджатое легкое;

3- печень

РАДИОНУКЛИДНЫЙ МЕТОД

Радионуклидные методики исследования легких проводят в основном в двух вариантах:

- перфузионная сцинтиграфия для оценки состояния кровотока в малом круге кровообращения;